IRS2
IRS2,即胰島素受體底物2,別名IRS-2。IRS2由人類IRS2基因編碼,該基因位于19號染色體的q13.32區域。IRS2是一種細胞質信號分子,通過作為不同受體酪氨酸激酶和下游效應子之間的分子適配器,調節胰島素(INS)、胰島素樣生長因子1(IGF)和其他細胞因子的作用。IRS2在受體刺激后被胰島素受體酪氨酸激酶磷酸化,進而激活如PI3K等下游信號分子。IRS2在調節胰島素信號轉導中起著重要作用,影響細胞生長、生存和物質代謝過程,與2型糖尿病、肥胖癥和神經退行性疾病相關。IRS2的表達和活性變化與胰島素敏感性相關,其功能受損可能導致胰島素抵抗。
熱銷產品
IRS2 Antibody (CSB-PA011830LA01HU)
驗證數據
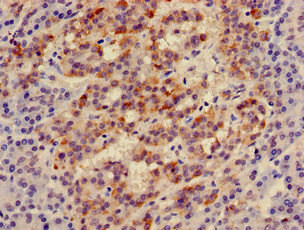
Immunohistochemistry of paraffin-embedded human pancreatic tissue using CSB-PA011830LA01HU at dilution of 1:100
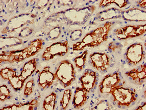
Immunohistochemistry of paraffin-embedded human kidney tissue using CSB-PA011830LA01HU at dilution of 1:100
Immunofluorescent analysis of Hela cells using CSB-PA011830LA01HU at dilution of 1:100 and Alexa Fluor 488-congugated AffiniPure Goat Anti-Rabbit IgG(H+L)
IRS2 Antibodies
IRS2 for Homo sapiens (Human)
| 產品貨號 | 產品名稱 | 種屬反應性 | 應用類型 |
|---|---|---|---|
| CSB-PA969280 | IRS2 Antibody | Human,Mouse | ELISA,IHC |
| CSB-PA036177 | IRS2 Antibody | Human,Mouse | ELISA,IHC |
| CSB-PA169603 | IRS2 Antibody | Human | WB,ELISA |
| CSB-PA011830LA01HU | IRS2 Antibody | Human | ELISA, IHC, IF |
| CSB-PA011830LB01HU | IRS2 Antibody, HRP conjugated | Human | ELISA |
| CSB-PA011830LC01HU | IRS2 Antibody, FITC conjugated | Human | |
| CSB-PA011830LD01HU | IRS2 Antibody, Biotin conjugated | Human | ELISA |
IRS2 Proteins
IRS2 Proteins for Mus musculus (Mouse)
| 產品貨號 | 產品名稱 | 來源 |
|---|---|---|
| CSB-YP011830MO CSB-EP011830MO CSB-BP011830MO CSB-MP011830MO CSB-EP011830MO-B |
Recombinant Mouse Insulin receptor substrate 2 (Irs2), partial | Yeast E.coli Baculovirus Mammalian cell In Vivo Biotinylation in E.coli |
IRS2 Proteins for Homo sapiens (Human)
| 產品貨號 | 產品名稱 | 來源 |
|---|---|---|
| CSB-YP011830HU CSB-EP011830HU CSB-BP011830HU CSB-MP011830HU CSB-EP011830HU-B |
Recombinant Human Insulin receptor substrate 2 (IRS2), partial | Yeast E.coli Baculovirus Mammalian cell In Vivo Biotinylation in E.coli |






