IGFBP2
IGFBP2,即胰島素樣生長因子結合蛋白2,別名IGFBP-2、IBP-2等。它是由IGFBP2基因編碼的蛋白質,在多種細胞和組織中廣泛表達。IGFBP2的主要作用機制是通過與胰島素樣生長因子(IGF)結合,調節IGF的生物可用性,影響細胞的生長、分化和凋亡。此外,IGFBP2還能通過影響細胞周期和抑制細胞增殖來發揮其生物學功能。它參與了細胞增殖、細胞遷移、組織修復和腫瘤發展等過程。IGFBP2的異常表達與多種疾病相關,尤其是在腫瘤生物學中,IGFBP2的高表達與腫瘤的侵襲性和預后不良有關。因此,IGFBP2是腫瘤治療研究中的一個潛在靶點。
熱銷產品
IGFBP2 Recombinant Monoclonal Antibody (CSB-RA225697A0HU)
驗證數據
Western Blot
Positive WB detected in: MCF-7 whole cell lysate
All lanes: IGFBP2 antibody at 1:1000
Secondary
Goat polyclonal to rabbit IgG at 1/50000 dilution
Predicted band size: 35 kDa
Observed band size: 35 kDa
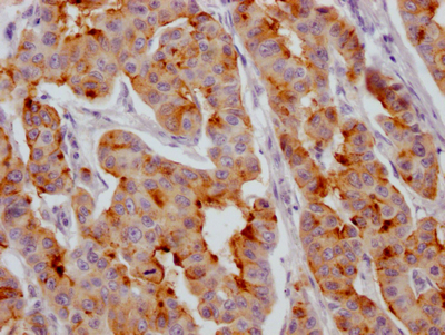
IHC image of CSB-RA225697A0HU diluted at 1:100 and staining in paraffin-embedded human breast cancer performed on a Leica BondTM system. After dewaxing and hydration, antigen retrieval was mediated by high pressure in a citrate buffer (pH 6.0). Section was blocked with 10% normal goat serum 30min at RT. Then primary antibody (1% BSA) was incubated at 4℃ overnight. The primary is detected by a Goat anti-rabbit IgG polymer labeled by HRP and visualized using 0.05% DAB.
IGFBP2 Antibodies
IGFBP2 for Homo sapiens (Human)
| 產品貨號 | 產品名稱 | 種屬反應性 | 應用類型 |
|---|---|---|---|
| CSB-PA011096GA01HU | IGFBP2 Antibody | Human,Mouse,Rat | ELISA,WB,IHC |
| CSB-RA225697A0HU | IGFBP2 Recombinant Monoclonal Antibody | Human | ELISA, WB, IHC |
IGFBP2 Proteins
IGFBP2 Proteins for Homo sapiens (Human)
| 產品貨號 | 產品名稱 | 來源 |
|---|---|---|
| CSB-YP011096HU CSB-EP011096HU CSB-BP011096HU CSB-MP011096HU CSB-EP011096HU-B |
Recombinant Human Insulin-like growth factor-binding protein 2 (IGFBP2) | Yeast E.coli Baculovirus Mammalian cell In Vivo Biotinylation in E.coli |
IGFBP2 ELISA Kit
IGFBP2 ELISA Kit for Homo sapiens (Human)
| 產品貨號 | 產品名稱 | 樣本類型 | 靈敏度 |
|---|---|---|---|
| CSB-E04588h | Human insulin-like growth factors binding protein 2,IGFBP-2 ELISA Kit | serum, plasma, tissue homogenates | 0.195 ng/mL |






