HP
HP,即結合珠蛋白(Haptoglobin),是一種由肝臟合成的血漿糖蛋白。它通過與血紅蛋白結合,形成穩定的復合物,減少血紅蛋白在血管中的分解,防止鐵離子和血紅素的毒性作用,同時促進血紅蛋白的清除和鐵的循環利用。HP的作用機制包括抑制補體激活,減少炎癥反應,并在免疫調節中發揮作用。生物學意義上,HP有助于保護機體免受溶血后產生的有害物質的影響,維持鐵平衡,其基因多態性與多種疾病包括心血管疾病和腎臟疾病的風險有關,是重要的生物標志物,對臨床診斷和治療有指導作用。
熱銷產品
● Recombinant Mouse Haptoglobin (Hp)
驗證數據
(Tris-Glycine gel) Discontinuous SDS-PAGE (reduced) with 5% enrichment gel and 15% separation gel.
● HP Recombinant Monoclonal Antibody
驗證數據
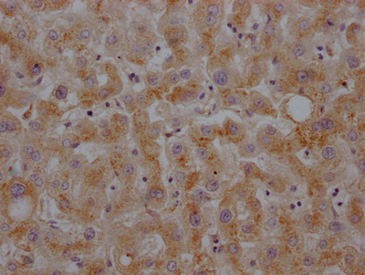
IHC image of CSB-RA224179A0HU diluted at 1:100 and staining in paraffin-embedded human placenta tissue performed on a Leica BondTM system. After dewaxing and hydration, antigen retrieval was mediated by high pressure in a citrate buffer (pH 6.0). Section was blocked with 10% normal goat serum 30min at RT. Then primary antibody (1% BSA) was incubated at 4℃ overnight. The primary is detected by a Goat anti-rabbit IgG polymer labeled by HRP and visualized using 0.05% DAB.
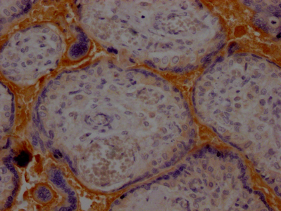
IHC image of CSB-RA224179A0HU diluted at 1:100 and staining in paraffin-embedded human placenta tissue performed on a Leica BondTM system. After dewaxing and hydration, antigen retrieval was mediated by high pressure in a citrate buffer (pH 6.0). Section was blocked with 10% normal goat serum 30min at RT. Then primary antibody (1% BSA) was incubated at 4℃ overnight. The primary is detected by a Goat anti-rabbit IgG polymer labeled by HRP and visualized using 0.05% DAB.
HP Antibodies
HP for Homo sapiens (Human)
| 產品貨號 | 產品名稱 | 種屬反應性 | 應用類型 |
|---|---|---|---|
| CSB-PA010691GA01HU | HP Antibody | Human,Mouse,Rat | ELISA,WB,IHC |
| CSB-PA14609A0Rb | HP Antibody | Human, Mouse | ELISA, WB, IHC |
| CSB-PA14609B0Rb | HP Antibody, HRP conjugated | Human | ELISA |
| CSB-PA14609C0Rb | HP Antibody, FITC conjugated | Human | |
| CSB-PA14609D0Rb | HP Antibody, Biotin conjugated | Human | ELISA |
| CSB-PA009255 | HP Antibody | Human | IHC, ELISA |
| CSB-PA698087 | HP Antibody | Human,Mouse,Rat | ELISA,IHC |
| CSB-PA568452 | HP Antibody | Human,Mouse,Rat | ELISA,WB,IHC |
| CSB-PA153691 | HP Antibody | Human | ELISA,IHC |
| CSB-PA790577 | HP Antibody | Human | ELISA,IHC |
| CSB-RA224179A0HU | HP Recombinant Monoclonal Antibody | Human | ELISA, IHC |
HP Proteins
HP Proteins for Homo sapiens (Human)
| 產品貨號 | 產品名稱 | 來源 |
|---|---|---|
| CSB-YP010691HU CSB-BP010691HU CSB-MP010691HU CSB-EP010691HU-B |
Recombinant Human Haptoglobin (HP) | Yeast Baculovirus Mammalian cell In Vivo Biotinylation in E.coli |
| CSB-EP010691HU | Recombinant Human Haptoglobin (HP) | E.coli |
| CSB-EP010691HUe1 | Recombinant Human Haptoglobin (HP) | E.coli |
| CSB-EP016091HU | Recombinant Human Haptoglobin (HP), partial | E.coli |
HP ELISA Kit
HP ELISA Kit for Homo sapiens (Human)
| 產品貨號 | 產品名稱 | 樣本類型 | 靈敏度 |
|---|---|---|---|
| CSB-E08584h | Human Haptoglobin,Hpt/HP ELISA KIT | serum, plasma, urine | 1.044 ng/mL |






