HNF4A
HNF4A,即肝細胞核因子4α,別名NR2A1、TCF14、MODY1。HNF4A是一種核受體超家族成員,屬于配體依賴性轉錄因子,主要分布在肝臟中,在肝臟的發育和肝細胞分化成熟過程中起重要調控作用。HNF4A在轉錄水平上調控肝臟特異基因的表達,促進肝細胞的發育和分化,參與肝細胞極性的建立和維持,增強肝臟的合成、代謝及解毒功能。HNF4A通過抑制肝星狀細胞的活化、逆轉上皮間質細胞轉化、抑制肝癌細胞增殖、侵襲和轉移等機制,參與肝纖維化、肝硬化和肝細胞癌等疾病的發生和變化過程。HNF4A的表達異常與多種肝臟疾病相關,包括肝纖維化、肝硬化和肝癌。
熱銷產品
Recombinant Human Hepatocyte nuclear factor 4-alpha (HNF4A) (CSB-EP010594HU)
驗證數據
Based on the SEQUEST from database of E.coli host and target protein, the LC-MS/MS Analysis result of CSB-EP010594HU could indicate that this peptide derived from E.coli-expressed Homo sapiens (Human) HNF4A.
Based on the SEQUEST from database of E.coli host and target protein, the LC-MS/MS Analysis result of CSB-EP010594HU could indicate that this peptide derived from E.coli-expressed Homo sapiens (Human) HNF4A.
(Tris-Glycine gel) Discontinuous SDS-PAGE (reduced) with 5% enrichment gel and 15% separation gel.
HNF4A Recombinant Monoclonal Antibody (CSB-RA571090A0HU)
驗證數據
Western Blot
Positive WB detected in: HL-60 whole cell lysate, Rat Liver tissue lysate,
All lanes: HNF-4-alpha antibody at 1:1000
Secondary
Goat polyclonal to rabbit IgG at 1/50000 dilution
Predicted band size: 52 kDa
Observed band size: 52 kDa
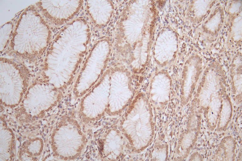
IHC image of CSB-RA571090A0HU diluted at 1:50 and staining in paraffin-embedded human gastric cancer performed on a Leica BondTM system. After dewaxing and hydration, antigen retrieval was mediated by high pressure in a citrate buffer (pH 6.0). Section was blocked with 10% normal goat serum 30min at RT. Then primary antibody (1% BSA) was incubated at 4°C overnight. The primary is detected by a Goat anti-rabbit polymer IgG labeled by HRP and visualized using 0.75% DAB.
Immunofluorescence staining of MCF-7 with CSB-RA571090A0HU at 1:20, counter-stained with DAPI. The cells were fixed in 4% formaldehyde and blocked in 10% normal Goat Serum. The cells were then incubated with the antibody overnight at 4°C. The secondary antibody was Alexa Fluor 526-congugated AffiniPure Goat Anti-Rabbit IgG(H+L).
Overlay Peak curve showing HepG2 cells stained with CSB-RA571090A0HU (red line) at 1:50. The cells were fixed in 4% formaldehyde and permeated by 0.2% TritonX-100. Then 10% normal goat serum to block non-specific protein-protein interactions followed by the antibody (1μg/1*106cells) for 45min at 4℃. The secondary antibody used was FITC-conjugated Goat Anti-rabbit IgG(H+L) at 1:200 dilution for 35min at 4℃.Control antibody (green line) was rabbit IgG (1μg/1*106cells) used under the same conditions. Acquisition of >10,000 events was performed.
HNF4A Antibodies
HNF4A for Homo sapiens (Human)
| 產品貨號 | 產品名稱 | 種屬反應性 | 應用類型 |
|---|---|---|---|
| CSB-PA443636 | Phospho-HNF4A (Ser304) Antibody | Human,Mouse,Rat | ELISA,WB |
| CSB-PA000743 | Phospho-HNF4A (S313) Antibody | Human,Mouse,Rat | WB, IHC, IF, ELISA |
| CSB-PA002939 | HNF4A Antibody | Human,Mouse,Rat | WB, IHC, ELISA |
| CSB-PA004803 | HNF4A Antibody | Human,Mouse,Rat | WB, ELISA |
| CSB-PA010594LA01HU | HNF4A Antibody | Human, Mouse | ELISA, WB |
| CSB-PA010594LB01HU | HNF4A Antibody, HRP conjugated | Human | ELISA |
| CSB-PA010594LC01HU | HNF4A Antibody, FITC conjugated | Human | |
| CSB-PA010594LD01HU | HNF4A Antibody, Biotin conjugated | Human | ELISA |
| CSB-PA727840 | Acetyl-HNF4A (Lys106) Antibody | Human,Mouse,Rat | WB,ELISA |
| CSB-RA571090A0HU | HNF4A Recombinant Monoclonal Antibody | Human, Rat | ELISA, WB, IHC, IF, FC |
HNF4A Proteins
HNF4A Proteins for Rattus norvegicus (Rat)
| 產品貨號 | 產品名稱 | 來源 |
|---|---|---|
| CSB-YP010594RA CSB-EP010594RA CSB-BP010594RA CSB-MP010594RA CSB-EP010594RA-B |
Recombinant Rat Hepatocyte nuclear factor 4-alpha (Hnf4a) | Yeast E.coli Baculovirus Mammalian cell In Vivo Biotinylation in E.coli |
HNF4A Proteins for Homo sapiens (Human)
| 產品貨號 | 產品名稱 | 來源 |
|---|---|---|
| CSB-YP010594HU CSB-BP010594HU CSB-MP010594HU CSB-EP010594HU-B |
Recombinant Human Hepatocyte nuclear factor 4-alpha (HNF4A) | Yeast Baculovirus Mammalian cell In Vivo Biotinylation in E.coli |
| CSB-EP010594HU | Recombinant Human Hepatocyte nuclear factor 4-alpha (HNF4A) | E.coli |
HNF4A Proteins for Mus musculus (Mouse)
| 產品貨號 | 產品名稱 | 來源 |
|---|---|---|
| CSB-YP010594MO CSB-EP010594MO CSB-BP010594MO CSB-MP010594MO CSB-EP010594MO-B |
Recombinant Mouse Hepatocyte nuclear factor 4-alpha (Hnf4a) | Yeast E.coli Baculovirus Mammalian cell In Vivo Biotinylation in E.coli |
HNF4A Proteins for Xenopus laevis (African clawed frog)
| 產品貨號 | 產品名稱 | 來源 |
|---|---|---|
| CSB-YP835521XBE CSB-EP835521XBE CSB-BP835521XBE CSB-MP835521XBE CSB-EP835521XBE-B |
Recombinant Xenopus laevis Hepatocyte nuclear factor 4-alpha (hnf4a) | Yeast E.coli Baculovirus Mammalian cell In Vivo Biotinylation in E.coli |






