HMOX1
HMOX1,血紅素加氧酶1,別名HO-1、HSP32、HMOX1D、bK286B10。HMOX1是一種在血紅素代謝過程中的重要酶,它將血紅素轉化為膽綠素,膽綠素隨后被還原為膽紅素和一氧化碳。
HMOX1具有抗氧化、抗炎、抗凋亡、信號傳導和免疫調節等多重生物學效應,對于保護細胞免受氧化和炎癥損傷、維持細胞穩態具有重要作用。HMOX1的表達可以在受到氧化應激和細胞損傷后上調,而Nrf2也可以直接調節HO-1啟動子活性。HMOX1的活性由其底物血紅素和各種非血紅素物質誘導,對多種刺激因子的強大適應性反應揭示了其在阻止炎癥過程和氧化性組織損傷中的潛在重要作用。
熱銷產品
Recombinant Human Heme oxygenase 1 (HMOX1), partial (CSB-EP010583HU)
驗證數據
(Tris-Glycine gel) Discontinuous SDS-PAGE (reduced) with 5% enrichment gel and 15% separation gel.
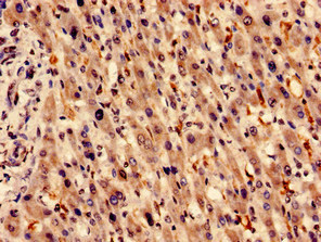
HMOX1 Antibody (CSB-PA010583LA01HU)
驗證數據
Immunocytochemistry analysis of human liver cancer using CSB-PA010583LA01HU at dilution of 1:100
Immunocytochemistry analysis of human colon cancer using CSB-PA010583LA01HU at dilution of 1:100
Immunofluorescent analysis of HepG2 cells using CSB-PA010583LA01HU at dilution of 1:100 and Alexa Fluor 488-congugated AffiniPure Goat Anti-Rabbit IgG(H+L)
HMOX1 Antibodies
HMOX1 for Homo sapiens (Human)
| 產品貨號 | 產品名稱 | 種屬反應性 | 應用類型 |
|---|---|---|---|
| CSB-PA010583GA01HU | HMOX1 Antibody | Human,Mouse,Rat | ELISA,WB |
| CSB-PA010583LC01HU | HMOX1 Antibody, FITC conjugated | Human | |
| CSB-PA010583LA01HU | HMOX1 Antibody | Human | ELISA, IHC, IF |
| CSB-PA010583LD01HU | HMOX1 Antibody, Biotin conjugated | Human | ELISA |
| CSB-PA097056 | HMOX1 Antibody | Human,Mouse,Rat | ELISA,IHC |
HMOX1 Proteins
HMOX1 Proteins for Mus musculus (Mouse)
| 產品貨號 | 產品名稱 | 來源 |
|---|---|---|
| CSB-YP010583MO | Recombinant Mouse Heme oxygenase 1 (Hmox1) | Yeast |
| CSB-EP010583MO | Recombinant Mouse Heme oxygenase 1 (Hmox1) | E.coli |
| CSB-BP010583MO CSB-MP010583MO CSB-EP010583MO-B |
Recombinant Mouse Heme oxygenase 1 (Hmox1) | Baculovirus Mammalian cell In Vivo Biotinylation in E.coli |
HMOX1 Proteins for Gallus gallus (Chicken)
| 產品貨號 | 產品名稱 | 來源 |
|---|---|---|
| CSB-YP010583CH CSB-EP010583CH CSB-BP010583CH CSB-MP010583CH CSB-EP010583CH-B |
Recombinant Chicken Heme oxygenase 1 (HMOX1) | Yeast E.coli Baculovirus Mammalian cell In Vivo Biotinylation in E.coli |
HMOX1 Proteins for Sus scrofa (Pig)
| 產品貨號 | 產品名稱 | 來源 |
|---|---|---|
| CSB-YP010583PI CSB-EP010583PI CSB-BP010583PI CSB-MP010583PI CSB-EP010583PI-B |
Recombinant Pig Heme oxygenase 1 (HMOX1) | Yeast E.coli Baculovirus Mammalian cell In Vivo Biotinylation in E.coli |
HMOX1 Proteins for Rattus norvegicus (Rat)
| 產品貨號 | 產品名稱 | 來源 |
|---|---|---|
| CSB-YP010583RA | Recombinant Rat Heme oxygenase 1 (Hmox1) | Yeast |
| CSB-EP010583RA CSB-BP010583RA CSB-MP010583RA CSB-EP010583RA-B |
Recombinant Rat Heme oxygenase 1 (Hmox1) | E.coli Baculovirus Mammalian cell In Vivo Biotinylation in E.coli |
HMOX1 Proteins for Homo sapiens (Human)
| 產品貨號 | 產品名稱 | 來源 |
|---|---|---|
| CSB-YP010583HU CSB-BP010583HU CSB-MP010583HU CSB-EP010583HU-B |
Recombinant Human Heme oxygenase 1 (HMOX1) | Yeast Baculovirus Mammalian cell In Vivo Biotinylation in E.coli |
| CSB-EP010583HU | Recombinant Human Heme oxygenase 1 (HMOX1), partial | E.coli |
HMOX1 Proteins for Bos taurus (Bovine)
| 產品貨號 | 產品名稱 | 來源 |
|---|---|---|
| CSB-YP688656BO CSB-EP688656BO CSB-BP688656BO CSB-MP688656BO CSB-EP688656BO-B |
Recombinant Bovine Heme oxygenase 1 (HMOX1) | Yeast E.coli Baculovirus Mammalian cell In Vivo Biotinylation in E.coli |
HMOX1 Proteins for Pongo abelii (Sumatran orangutan)
| 產品貨號 | 產品名稱 | 來源 |
|---|---|---|
| CSB-YP716080PYX CSB-EP716080PYX CSB-BP716080PYX CSB-MP716080PYX CSB-EP716080PYX-B |
Recombinant Pongo abelii Heme oxygenase 1 (HMOX1) | Yeast E.coli Baculovirus Mammalian cell In Vivo Biotinylation in E.coli |
HMOX1 ELISA Kit
HMOX1 ELISA Kit for Homo sapiens (Human)
| 產品貨號 | 產品名稱 | 樣本類型 | 靈敏度 |
|---|---|---|---|
| CSB-E08266h | Human heme oxygenase 1,HO-1 ELISA Kit | serum, plasma, tissue homogenates | 3.9 ng/mL |
HMOX1 ELISA Kit for Mus musculus (Mouse)
| 產品貨號 | 產品名稱 | 樣本類型 | 靈敏度 |
|---|---|---|---|
| CSB-E08268m | Mouse heme oxygenase 1,HO-1 ELISA Kit | serum, plasma, cell culture supernates, tissue homogenates | 7.8 pg/mL |
HMOX1 ELISA Kit for Rattus norvegicus (Rat)
| 產品貨號 | 產品名稱 | 樣本類型 | 靈敏度 |
|---|---|---|---|
| CSB-E08267r | Rat heme oxygenase 1,HO-1 ELISA Kit | serum, plasma, tissue homogenates | 0.078 ng/mL |






