HBD
HBD,即δ-珠蛋白基因,是血紅蛋白HbA2中δ-鏈的編碼基因,位于人類第11號染色體上。HbA2是由兩個α-鏈和兩個δ-鏈組成的四聚體血紅蛋白,占成人血紅蛋白總量的一小部分,通常在2-3%左右。HBD基因在胎兒期表達活躍,與γ-鏈(由HBG1和HBG2基因編碼)一起參與形成胎兒血紅蛋白HbF,有助于在子宮內從母體向胎兒輸送氧氣。成人后,HBD基因的表達降低,而成人血紅蛋白HbA(由HBA1和HBB基因編碼)成為主要形式。HBD基因的突變或異常表達與某些類型的地中海貧血癥有關,這種遺傳性疾病影響血紅蛋白的合成和功能。因此,HBD在胎兒發育、氧氣運輸以及相關血液疾病的發生中具有重要的生物學意義。
熱銷產品
● Recombinant Human Hemoglobin subunit delta (HBD)
驗證數據
(Tris-Glycine gel) Discontinuous SDS-PAGE (reduced) with 5% enrichment gel and 15% separation gel.
驗證數據
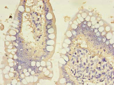
Immunohistochemistry of paraffin-embedded human small intestine tissue using CSB-PA010152LA01HU at dilution of 1:100
HBD Antibodies
HBD for Homo sapiens (Human)
| 產品貨號 | 產品名稱 | 種屬反應性 | 應用類型 |
|---|---|---|---|
| CSB-PA010152GA01HU | HBD Antibody | Human,Mouse,Rat | ELISA,WB,IHC |
| CSB-PA010152LA01HU | HBD Antibody | Human | ELISA, IHC |
HBD Proteins
HBD Proteins for Homo sapiens (Human)
| 產品貨號 | 產品名稱 | 來源 |
|---|---|---|
| CSB-YP010152HU CSB-BP010152HU CSB-MP010152HU CSB-EP010152HU-B |
Recombinant Human Hemoglobin subunit delta (HBD) | Yeast Baculovirus Mammalian cell In Vivo Biotinylation in E.coli |
| CSB-EP010152HU | Recombinant Human Hemoglobin subunit delta (HBD) | E.coli |
HBD ELISA Kit
HBD ELISA Kit for Homo sapiens (Human)
| 產品貨號 | 產品名稱 | 樣本類型 | 靈敏度 |
|---|---|---|---|
| CSB-EL010152HU | Human Hemoglobin subunit delta(HBD) ELISA kit | serum, plasma, lysate for RBC. | 0.007 ng/mL |






