GZMB
GZMB,即顆粒酶B,別名CCPI、CGL-1、CSP-B、CGL1、CTSGL1、HLP、SECT。GZMB是一種由細胞毒性T細胞(CTLs)和自然殺傷細胞(NK細胞)產生的絲氨酸蛋白酶,屬于細胞毒性淋巴細胞顆粒中的酶類。GZMB的作用機制包括其在細胞外環境中的作用,如導致炎癥、血管功能障礙和通透性、細胞粘附減少、基質隔離生長因子的釋放、受體激活和細胞外基質裂解。GZMB在多種病理狀態下發揮作用,包括心血管疾病、自身免疫性疾病、腫瘤免疫逃逸等。GZMB不僅參與細胞凋亡過程,還與炎癥反應、組織重塑和腫瘤免疫監視有關。GZMB的活性受到嚴格調控,其異常表達與多種疾病的發生發展相關,是一個有潛力的治療靶點和生物標志物。
熱銷產品
Recombinant Human Granzyme B (GZMB) (CSB-EP010082HU)
驗證數據
(Tris-Glycine gel) Discontinuous SDS-PAGE (reduced) with 5% enrichment gel and 15% separation gel.
GZMB Recombinant Monoclonal Antibody (CSB-RA010082MA1HU)
驗證數據
Western Blot Positive WB detected in:K562 whole cell lysate (20μg) All lanes: GZMB antibody at 1:1000 Secondary Goat polyclonal to mouse IgG at 1/50000 dilution Predicted band size:27.7 kDa Observed band size:28 kDa Exposure time:300s
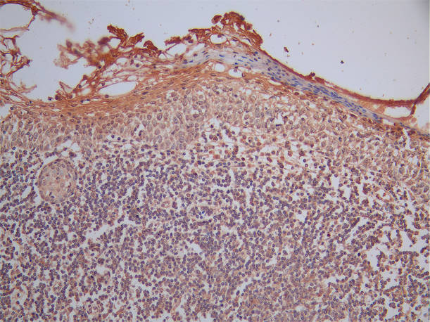
IHC image of CSB-RA010082MA1HU diluted at 1:50 and staining in paraffin-embedded human tonsil tissue performed on a Leica BondTM system. After dewaxing and hydration, antigen retrieval was mediated by high pressure in a citrate buffer (pH 6.0). Section was blocked with 10% normal goat serum 30min at RT. Then primary antibody (1% BSA) was incubated at 4°C overnight. The primary is detected by a Goat anti-Mouse IgG labeled by HRP and visualized using 0.05% DAB.
Overlay Peak curve showing THP-1 cells stained with CSB-RA010082MA1HU (red line) at 1:50. The cells were fixed in 4% formaldehyde and permeated by 0.2% TritonX-100. Then 10% normal goat serum to block non-specific protein-protein interactions followed by the antibody (1ug/1*106cells) for 45min at 4℃. The secondary antibody used was FITC-conjugated Goat Anti-Mouse IgG(H+L) at 1:200 dilution for 35min at 4℃.Control antibody (green line) was mouse IgG (1ug/1*106cells) used under the same conditions. Acquisition of >10,000 events was performed.
GZMB Antibodies
GZMB for Homo sapiens (Human)
| 產品貨號 | 產品名稱 | 種屬反應性 | 應用類型 |
|---|---|---|---|
| CSB-PA010082GA01HU | GZMB Antibody | Human | ELISA,WB,IHC,IF |
| CSB-PA010082LC01HU | GZMB Antibody, FITC conjugated | Human | |
| CSB-PA010082LA01HU | GZMB Antibody | Human | ELISA, IHC, IF |
| CSB-PA272248 | GZMB Antibody | Human,Mouse,Rat | ELISA,WB,IHC |
| CSB-PA108047 | GZMB Antibody | Human | ELISA,IHC |
| CSB-PA986806 | GZMB Antibody | Human | ELISA,IHC |
| CSB-RA794900A0HU | GZMB Recombinant Monoclonal Antibody | Human | ELISA, IHC, IF |
| CSB-RA010082MA1HU | GZMB Recombinant Monoclonal Antibody | Human | ELISA, WB, IHC, FC |
GZMB Proteins
GZMB Proteins for Homo sapiens (Human)
| 產品貨號 | 產品名稱 | 來源 |
|---|---|---|
| CSB-YP010082HU | Recombinant Human Granzyme B (GZMB) | Yeast |
| CSB-EP010082HU | Recombinant Human Granzyme B (GZMB) | E.coli |
| CSB-BP010082HU CSB-MP010082HU CSB-EP010082HU-B |
Recombinant Human Granzyme B (GZMB) | Baculovirus Mammalian cell In Vivo Biotinylation in E.coli |
| CSB-EP010082HUa6 | Recombinant Human Granzyme B (GZMB) | E.coli |
GZMB Proteins for Rattus norvegicus (Rat)
| 產品貨號 | 產品名稱 | 來源 |
|---|---|---|
| CSB-YP010082RA CSB-EP010082RA CSB-BP010082RA CSB-MP010082RA CSB-EP010082RA-B |
Recombinant Rat Granzyme B (Gzmb) | Yeast E.coli Baculovirus Mammalian cell In Vivo Biotinylation in E.coli |
GZMB Proteins for Mus musculus (Mouse)
| 產品貨號 | 產品名稱 | 來源 |
|---|---|---|
| CSB-YP010082MO CSB-EP010082MO CSB-BP010082MO CSB-MP010082MO CSB-EP010082MO-B |
Recombinant Mouse Granzyme B (G,H) (Gzmb) | Yeast E.coli Baculovirus Mammalian cell In Vivo Biotinylation in E.coli |
GZMB ELISA Kit
GZMB ELISA Kit for Homo sapiens (Human)
| 產品貨號 | 產品名稱 | 樣本類型 | 靈敏度 |
|---|---|---|---|
| CSB-E08718h | Human granzyme B (GZMB) ELISA Kit | serum, plasma, cell culture supernates, tissue homogenates. | 2.34 pg/ml. |
GZMB ELISA Kit for Mus musculus (Mouse)
| 產品貨號 | 產品名稱 | 樣本類型 | 靈敏度 |
|---|---|---|---|
| CSB-E08720m | Mouse granzyme B (GZMB) ELISA Kit | serum, plasma, tissue homogenates | 3.12 pg/mL |






