GSDME
GSDME,別名DFNA5、ICERE-1。它來源于人體細胞,是一種具有膜穿孔活性的蛋白質。GSDME在細胞中的作用機制主要是通過被Caspase 3切割激活,誘導細胞從凋亡向細胞焦亡轉換。在生物學上,GSDME具有多重意義,包括參與神經退行性疾病的發生、調節炎癥反應,以及作為癌癥免疫療法的潛在靶點。它的發現和研究為理解細胞死亡機制、治療神經退行性疾病和癌癥提供了新的視角和策略。
熱銷產品
Recombinant Human Gasdermin-E (GSDME) (CSB-EP006766HU)
驗證數據
(Tris-Glycine gel) Discontinuous SDS-PAGE (reduced) with 5% enrichment gel and 15% separation gel.
GSDME Antibody (CSB-PA006766LA01HU)
驗證數據
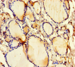
Immunohistochemistry of paraffin-embedded human thyroid tissue using CSB-PA006766LA01HU at dilution of 1:100
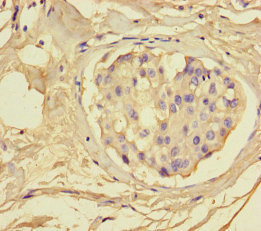
Immunohistochemistry of paraffin-embedded human breast cancer using CSB-PA006766LA01HU at dilution of 1:100
Immunofluorescent analysis of Hela cells using CSB-PA006766LA01HU at dilution of 1:100 and Alexa Fluor 488-congugated AffiniPure Goat Anti-Rabbit IgG(H+L)
GSDME Antibodies
GSDME for Homo sapiens (Human)
| 產品貨號 | 產品名稱 | 種屬反應性 | 應用類型 |
|---|---|---|---|
| CSB-PA006766LA01HU | GSDME Antibody | Human | ELISA, IHC, IF |
| CSB-PA006766GA01HU | DFNA5 Antibody | Human,Mouse | ELISA,WB |
| CSB-PA006766ESR1HU | GSDME Antibody | Human | ELISA, WB, IHC |
| CSB-PA006766ESR2HU | GSDME Antibody | Human | ELISA, IHC |
| CSB-PA004659 | DFNA5 Antibody | Human,Rat | WB, ELISA |
GSDME Proteins
GSDME Proteins for Homo sapiens (Human)
| 產品貨號 | 產品名稱 | 來源 |
|---|---|---|
| CSB-YP006766HU CSB-BP006766HU CSB-MP006766HU CSB-EP006766HU-B |
Recombinant Human Gasdermin-E (GSDME) | Yeast Baculovirus Mammalian cell In Vivo Biotinylation in E.coli |
| CSB-EP006766HU | Recombinant Human Gasdermin-E (GSDME) | E.coli |






