GRN
顆粒蛋白前體(GRN)是一種多功能的分泌型糖蛋白,由位于染色體17q21上的GRN基因編碼,屬于生長因子超家族成員。GRN在多種生物學過程中發揮作用,包括促進生長發育、組織修復、影響巨噬細胞功能以及調節免疫系統。它在胚胎發育早期廣泛表達于神經系統,促進神經元軸突生長與修復,增加突觸分支,是一種重要的神經營養因子。此外,GRN還能直接促進血管內皮細胞及成纖維細胞的增生、分化和遷移,加速傷口修復。在腫瘤的形成和侵襲方面,GRN的過表達促進了腫瘤生長,并且通過活化MAPK/ERK、PI3K/AKT、FAK等信號傳導途徑促進腫瘤細胞增殖。GRN還是腫瘤壞死因子(TNF-α)的潛在拮抗劑,能抑制TNF-α介導的炎癥反應,進而調控免疫炎癥反應。有研究指出,AGRN(與GRN相關)通過激活Notch信號通路促進肺腺癌進展,并可能作為治療靶點。這些功能和信號通路的參與表明GRN在多種疾病中具有重要的調節作用,并可能成為未來治療策略的新靶點。
熱銷產品
GRN Antibody (CSB-PA009939ESR2HU)
驗證數據
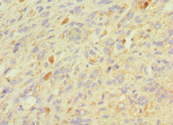
Immunohistochemistry of paraffin-embedded human colon cancer using CSB-PA009939ESR2HU at dilution of 1:100
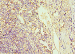
Immunohistochemistry of paraffin-embedded human melanoma using CSB-PA009939ESR2HU at dilution of 1:100
GRN Antibodies
GRN for Homo sapiens (Human)
| 產品貨號 | 產品名稱 | 種屬反應性 | 應用類型 |
|---|---|---|---|
| CSB-PA009939GA01HU | GRN Antibody | Human | ELISA,WB,IHC |
| CSB-PA009939ESR2HU | GRN Antibody | Human | ELISA, IHC |
GRN Proteins
GRN Proteins for Homo sapiens (Human)
| 產品貨號 | 產品名稱 | 來源 |
|---|---|---|
| CSB-YP009939HU CSB-EP009939HU CSB-BP009939HU CSB-MP009939HU CSB-EP009939HU-B |
Recombinant Human Granulins (GRN) | Yeast E.coli Baculovirus Mammalian cell In Vivo Biotinylation in E.coli |
GRN ELISA Kit
GRN ELISA Kit for Homo sapiens (Human)
| 產品貨號 | 產品名稱 | 樣本類型 | 靈敏度 |
|---|---|---|---|
| CSB-EL009939HU | Human Granulins(GRN) ELISA kit | serum, plasma, cell culture supernates | 1.95 pg/mL |






