GPR55
GPR55,即G蛋白偶聯受體55,別名LPI1、GPR55、PSIGPR53。GPR55由人類GPR55基因編碼,該基因位于2號染色體的q37.1區域。GPR55是一種G蛋白偶聯受體,可能通過激活多種信號轉導通路參與多種生理和病理過程。它被激活的配體包括植物性大麻素、內源性大麻素以及溶血磷脂酰肌醇(LPI)。GPR55與情緒、運動、認知、學習和記憶等生理功能相關,同時也與大麻素的作用以及藥物濫用有關。GPR55還可能成為治療炎癥、疼痛、糖尿病、帕金森病、神經病理性疼痛和癌癥的新潛在藥物靶點。研究表明,GPR55在調節焦慮樣行為、海馬神經發生以及神經保護方面發揮作用。
熱銷產品
GPR55 Antibody (CSB-PA009820OA01HU)
驗證數據
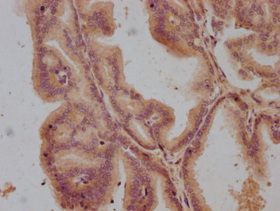
IHC image of CSB-PA009820OA01HU diluted at 1:100 and staining in paraffin-embedded human prostate tissue performed on a Leica BondTM system. After dewaxing and hydration, antigen retrieval was mediated by high pressure in a citrate buffer (pH 6.0). Section was blocked with 10% normal goat serum 30min at RT. Then primary antibody (1% BSA) was incubated at 4°C overnight. The primary is detected by a biotinylated secondary antibody and visualized using an HRP conjugated SP system.
GPR55 Antibodies
GPR55 for Homo sapiens (Human)
| 產品貨號 | 產品名稱 | 種屬反應性 | 應用類型 |
|---|---|---|---|
| CSB-PA009820OA01HU | GPR55 Antibody | Human | ELISA, IHC |
| CSB-PA009820OB01HU | GPR55 Antibody, HRP conjugated | Human | ELISA |
| CSB-PA009820OC01HU | GPR55 Antibody, FITC conjugated | Human | |
| CSB-PA009820OD01HU | GPR55 Antibody, Biotin conjugated | Human | ELISA |
GPR55 Proteins
GPR55 Proteins for Mus musculus (Mouse)
| 產品貨號 | 產品名稱 | 來源 |
|---|---|---|
| CSB-YP661042MO1 CSB-EP661042MO1 CSB-BP661042MO1 CSB-MP661042MO1 CSB-EP661042MO1-B |
Recombinant Mouse G-protein coupled receptor 55 (Gpr55), partial | Yeast E.coli Baculovirus Mammalian cell In Vivo Biotinylation in E.coli |
| CSB-CF661042MO | Recombinant Mouse G-protein coupled receptor 55 (Gpr55) | in vitro E.coli expression system |






