GOLM1
GOLM1,全稱為高爾基體膜蛋白1,也被稱為Golgi磷蛋白2或高爾基膜蛋白GP73。該蛋白在人體內由GOLM1基因編碼,主要功能是在高爾基體中參與蛋白質的排序和修飾。GOLM1蛋白在多種疾病中扮演重要角色,如前列腺癌和肺癌,其表達水平在患者血液中通常高于健康人。目前,針對GOLM1蛋白的藥物研發正在穩步推進,包括開發用于檢測和治療的生物標志物和藥物。
熱銷產品
Recombinant Human Golgi membrane protein 1 (GOLM1), partial (CSB-EP009666HU)
驗證數據
(Tris-Glycine gel) Discontinuous SDS-PAGE (reduced) with 5% enrichment gel and 15% separation gel.
GOLM1 Antibody (CSB-PA009666ESR1HU)
驗證數據
Western blot
All lanes: Golgi membrane protein 1 antibody at 7μg/ml + Hela whole cell lysate
Secondary
Goat polyclonal to rabbit IgG at 1/10000 dilution
Predicted band size: 46, 45 kDa
Observed band size: 46 kDa
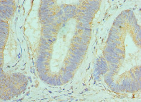
Immunohistochemistry of paraffin-embedded human colon tissue using CSB-PA009666ESR1HU at dilution of 1:100
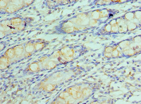
Immunohistochemistry of paraffin-embedded human colon cancer using CSB-PA009666ESR1HU at dilution of 1:100
Human golgi protein 73,GP-73 ELISA Kit (CSB-E11332h)
驗證數據
貨號:CSB-E11332h
規格:96T/48T
靈敏度:0.039 IU/mL
檢測范圍:0.156 IU/mL-10 IU/mL
These standard curves are provided for demonstration only. A standard curve should be generated for each set of samples assayed.
GOLM1 Antibodies
GOLM1 for Homo sapiens (Human)
| 產品貨號 | 產品名稱 | 種屬反應性 | 應用類型 |
|---|---|---|---|
| CSB-PA009666GA01HU | GOLM1 Antibody | Human | ELISA,WB,IHC,IF |
| CSB-PA10644A0Rb | GOLM1 Antibody | Human | ELISA, IHC |
| CSB-PA10644D0Rb | GOLM1 Antibody, Biotin conjugated | Human | ELISA |
| CSB-PA009666ESR1HU | GOLM1 Antibody | Human | ELISA, WB, IHC |
| CSB-PA009666ESR2HU | GOLM1 Antibody | Human | ELISA, IHC |
| CSB-RA009666A0HU | GOLM1 Recombinant Monoclonal Antibody | Human | ELISA, WB, FC |
GOLM1 Proteins
GOLM1 Proteins for Homo sapiens (Human)
| 產品貨號 | 產品名稱 | 來源 |
|---|---|---|
| CSB-EP009666HUe0 | Recombinant Human Golgi membrane protein 1 (GOLM1), partial | E.coli |
| CSB-EP009666HU | Recombinant Human Golgi membrane protein 1 (GOLM1), partial | E.coli |
| CSB-YP009666HU CSB-BP009666HU CSB-MP009666HU CSB-EP009666HU-B |
Recombinant Human Golgi membrane protein 1 (GOLM1), partial | Yeast Baculovirus Mammalian cell In Vivo Biotinylation in E.coli |
| CSB-EP009666HUe1 | Recombinant Human Golgi membrane protein 1 (GOLM1), partial | E.coli |
GOLM1 ELISA Kit
GOLM1 ELISA Kit for Homo sapiens (Human)
| 產品貨號 | 產品名稱 | 樣本類型 | 靈敏度 |
|---|---|---|---|
| CSB-E11332h | Human golgi protein 73,GP-73 ELISA Kit | serum, plasma, cell culture supernates, tissue homogenates | 0.039 IU/mL |






