GDF2
GDF2,即生長分化因子2,別名BMP-9、BMP9,屬于轉化生長因子β超家族(TGF-beta superfamily)中的BMP亞群成員。GDF2主要通過與ALK1等受體結合,傳遞信號,從而調節多種胚胎和成體組織的發育和功能。GDF2的作用機制涉及與ALK1等受體的結合,激活下游的Smad蛋白,進而影響基因表達。GDF2在肝臟非實質細胞中合成分泌,能夠促進脂質代謝并抑制葡萄糖生成。它在胚胎中樞神經系統中對膽堿能神經元表型的發育和維持起著重要作用,同時也誘導間充質干細胞分化為軟骨細胞系。GDF2的功能還包括調節血管生成、影響內皮細胞增殖以及參與骨骼和軟骨的發育。GDF2的異常表達與遺傳性出血性毛細血管擴張癥相關。
熱銷產品
Recombinant Human Growth/differentiation factor 2 (GDF2) (CSB-EP892325HU1)
驗證數據
(Tris-Glycine gel) Discontinuous SDS-PAGE (reduced) with 5% enrichment gel and 15% separation gel.
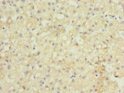
GDF2 Antibody (CSB-PA892325LA01HU)
驗證數據
Immunohistochemistry of paraffin-embedded human liver cancer using CSB-PA892325LA01HU at dilution of 1:100
GDF2 Antibodies
GDF2 for Homo sapiens (Human)
| 產品貨號 | 產品名稱 | 種屬反應性 | 應用類型 |
|---|---|---|---|
| CSB-PA892325GA01HU | GDF2 Antibody | Human,Mouse,Rat | ELISA,IHC |
| CSB-PA886231 | GDF2 Antibody | Human,Mouse | ELISA,WB,IHC |
| CSB-PA356766 | GDF2 Antibody | Human,Mouse | ELISA,WB,IHC |
| CSB-PA892325LA01HU | GDF2 Antibody | Human | ELISA, IHC |
| CSB-PA892325LD01HU | GDF2 Antibody, Biotin conjugated | Human | ELISA |
| CSB-PA892325LC01HU | GDF2 Antibody, FITC conjugated | Human | |
| CSB-PA892325LB01HU | GDF2 Antibody, HRP conjugated | Human | ELISA |
GDF2 Proteins
GDF2 Proteins for Homo sapiens (Human)
| 產品貨號 | 產品名稱 | 來源 |
|---|---|---|
| CSB-YP892325HU1 | Recombinant Human Growth/differentiation factor 2 (GDF2), partial | Yeast |
| CSB-EP892325HU1 | Recombinant Human Growth/differentiation factor 2 (GDF2) | E.coli |
GDF2 ELISA Kit
GDF2 ELISA Kit for Homo sapiens (Human)
| 產品貨號 | 產品名稱 | 樣本類型 | 靈敏度 |
|---|---|---|---|
| CSB-E11769h | Human growth differentiation factor 2,GDF2 ELISA Kit | serum, plasma,tissue homogenates | 0.98 pg/mL |






