FZD2
FZD2,全稱 Frizzled homolog 2,也被稱為 Fz 2、FZD2、FzE2、hFz2,是一種在 Wnt 信號通路中發揮重要作用的受體。該蛋白高度表達于惡性腫瘤,參與調控多種腫瘤行為,其表達水平與預后相關。FZD2 在乳腺癌患者中的高表達水平與不良預后有顯著相關性。
FZD2 與多種疾病相關,包括腫瘤、自身免疫性疾病和神經退行性疾病。研究表明,FZD2 的表達異常與腫瘤的發生發展密切相關。FZD2 也與自身免疫性疾病的發病機制有關,例如類風濕性關節炎和系統性紅斑狼瘡。此外,FZD2 還與神經退行性疾病的發病機制有關,例如阿爾茨海默病和帕金森病。
針對 FZD2 的藥物研發正在積極進行中。一些研究表明,靶向 FZD2 的藥物可以有效抑制腫瘤生長和轉移。此外,靶向 FZD2 的藥物也被用于治療自身免疫性疾病和神經退行性疾病。目前,一些靶向 FZD2 的藥物已經進入臨床試驗階段,有望為相關疾病患者帶來新的治療選擇。
熱銷產品
Recombinant Human Frizzled-2 (FZD2), partial (CSB-MP622766HU2)
驗證數據
(Tris-Glycine gel) Discontinuous SDS-PAGE (reduced) with 5% enrichment gel and 15% separation gel.
驗證數據
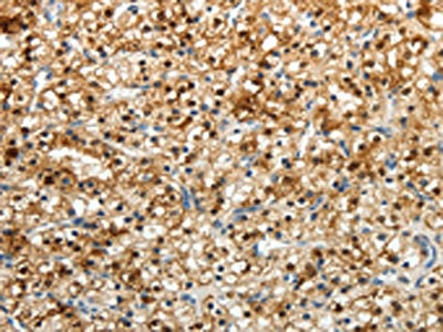
The image on the left is immunohistochemistry of paraffin-embedded Human renal cancer tissue using CSB-PA596830(FZD2 Antibody) at dilution 1/25, on the right is treated with synthetic peptide. (Original magnification: ×200)
FZD2 Antibodies
FZD2 for Homo sapiens (Human)
| 產品貨號 | 產品名稱 | 種屬反應性 | 應用類型 |
|---|---|---|---|
| CSB-PA008522 | FZD2 Antibody | Human,Mouse,Rat | WB, IF, ELISA |
| CSB-PA596830 | FZD2 Antibody | Human,Mouse,Rat | ELISA,IHC |
FZD2 Proteins
FZD2 Proteins for Homo sapiens (Human)
| 產品貨號 | 產品名稱 | 來源 |
|---|---|---|
| CSB-YP622766HU1 CSB-EP622766HU1 CSB-BP622766HU1 CSB-MP622766HU1 CSB-EP622766HU1-B |
Recombinant Human Frizzled-2 (FZD2), partial | Yeast E.coli Baculovirus Mammalian cell In Vivo Biotinylation in E.coli |
| CSB-CF622766HU | Recombinant Human Frizzled-2 (FZD2) | in vitro E.coli expression system |
| CSB-MP622766HU2 | Recombinant Human Frizzled-2 (FZD2), partial | Mammalian cell |
| CSB-MP622766HU | Recombinant Human Frizzled-2 (FZD2)-VLPs | Mammalian cell |
FZD2 Proteins for Mus musculus (Mouse)
| 產品貨號 | 產品名稱 | 來源 |
|---|---|---|
| CSB-YP881309MO1 CSB-EP881309MO1 CSB-BP881309MO1 CSB-MP881309MO1 CSB-EP881309MO1-B |
Recombinant Mouse Frizzled-2 (Fzd2), partial | Yeast E.coli Baculovirus Mammalian cell In Vivo Biotinylation in E.coli |
| CSB-CF881309MO | Recombinant Mouse Frizzled-2 (Fzd2) | in vitro E.coli expression system |
FZD2 Proteins for Gallus gallus (Chicken)
| 產品貨號 | 產品名稱 | 來源 |
|---|---|---|
| CSB-YP884854CH1 CSB-EP884854CH1 CSB-BP884854CH1 CSB-MP884854CH1 CSB-EP884854CH1-B |
Recombinant Chicken Frizzled-2 (FZD2), partial | Yeast E.coli Baculovirus Mammalian cell In Vivo Biotinylation in E.coli |
| CSB-CF884854CH | Recombinant Chicken Frizzled-2 (FZD2) | in vitro E.coli expression system |
FZD2 Proteins for Xenopus laevis (African clawed frog)
| 產品貨號 | 產品名稱 | 來源 |
|---|---|---|
| CSB-YP886106XBE1 CSB-EP886106XBE1 CSB-BP886106XBE1 CSB-MP886106XBE1 CSB-EP886106XBE1-B |
Recombinant Xenopus laevis Frizzled-2 (fzd2), partial | Yeast E.coli Baculovirus Mammalian cell In Vivo Biotinylation in E.coli |
| CSB-CF886106XBE | Recombinant Xenopus laevis Frizzled-2 (fzd2) | in vitro E.coli expression system |






