FUT8
FUT8,全稱為Alpha-(1,6)-fucosyltransferase,常見別稱為N-ACETYL-BETA-D-GLUCOSAMINIDE ALPHA1、GDP-L-FUC、MGC26465和6-FUCOSYLTRANSFERASE。該蛋白在糖基化過程中發揮重要作用,負責在糖蛋白上添加核心巖藻糖。核心巖藻糖的出現會干擾抗體的功能,并與發育和癌癥相關。FUT8蛋白的異常表達與多種疾病有關,包括癌癥、炎癥性疾病和先天性糖基化障礙。在癌癥中,FUT8的過表達可能促進腫瘤細胞的遷移和侵襲,例如在肺癌和肝癌中,高水平的FUT8與腫瘤的惡性程度和侵襲性相關。
FUT8蛋白在藥物研發中備受關注。研究表明,FUT8蛋白的表達和激活異常與多種惡性腫瘤相關,因此成為潛在的治療靶點。目前,已有針對FUT8蛋白的小分子抑制劑被開發出來,如FDW028,該抑制劑能夠顯著延長結直腸癌肺轉移小鼠的存活時間。此外,FUT8蛋白的表達水平也被用作某些癌癥的生物標志物。針對FUT8蛋白的藥物研發仍在進行中,未來有望為癌癥患者提供新的治療選擇。
熱銷產品
FUT8 Antibody (CSB-PA887159LA01HU)
驗證數據
Western Blot
Positive WB detected in: Mouse liver tissue
All lanes: FUT8 antibody at 5.9μg/ml
Secondary
Goat polyclonal to rabbit IgG at 1/50000 dilution
Predicted band size: 67, 36, 48, 20 kDa
Observed band size: 48 kDa
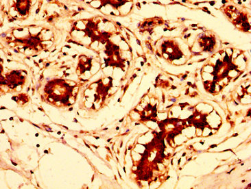
IHC image of CSB-PA887159LA01HU diluted at 1:300 and staining in paraffin-embedded human breast cancer performed on a Leica BondTM system. After dewaxing and hydration, antigen retrieval was mediated by high pressure in a citrate buffer (pH 6.0). Section was blocked with 10% normal goat serum 30min at RT. Then primary antibody (1% BSA) was incubated at 4°C overnight. The primary is detected by a biotinylated secondary antibody and visualized using an HRP conjugated SP system.
FUT8 Antibodies
FUT8 for Homo sapiens (Human)
| 產品貨號 | 產品名稱 | 種屬反應性 | 應用類型 |
|---|---|---|---|
| CSB-PA009082GA01HU | FUT8 Antibody | Human,Mouse,Rat | ELISA,WB,IHC |
| CSB-PA557036 | FUT8 Antibody | Human,Mouse | ELISA,WB,IHC |
| CSB-PA887159LA01HU | FUT8 Antibody | Human, Mouse | ELISA, WB, IHC |
| CSB-PA887159LC01HU | FUT8 Antibody, FITC conjugated | Human |
FUT8 Proteins
FUT8 Proteins for Homo sapiens (Human)
| 產品貨號 | 產品名稱 | 來源 |
|---|---|---|
| CSB-YP887159HU CSB-EP887159HU CSB-BP887159HU CSB-MP887159HU CSB-EP887159HU-B |
Recombinant Human Alpha- (1,6)-fucosyltransferase (FUT8), partial | Yeast E.coli Baculovirus Mammalian cell In Vivo Biotinylation in E.coli |






