FOXO1
FOXO1,即叉頭框蛋白O1,它是一種在多種細胞類型中表達的轉錄因子。FOXO1主要通過響應細胞內外的信號,如PI3K/AKT信號通路的激活,來調節細胞的增殖、凋亡、代謝和應激反應等生命活動。其作用機制涉及到FOXO1蛋白的磷酸化、乙酰化等翻譯后修飾,這些修飾影響其在細胞核與細胞質間的穿梭,進而調控其靶基因的表達。FOXO1參與的主要信號通路包括PI3K/AKT、Wnt/β-catenin、JAK/STAT等,這些通路在細胞生理過程中發揮著關鍵作用。在生物學意義上,FOXO1對維持細胞穩態、調節免疫反應、影響腫瘤發生發展等具有重要作用,其活性的異常可能導致多種疾病的發生,包括糖尿病、心血管疾病和腫瘤等。
熱銷產品
FOXO1 Antibody (CSB-PA16019A0Rb)
驗證數據
Western Blot
Positive WB detected in: Mouse brain tissue, Mouse lung tissue
All lanes: FOXO1 antibody at 2.5μg/ml
Secondary
Goat polyclonal to rabbit IgG at 1/50000 dilution
Predicted band size: 70 kDa
Observed band size: 70 kDa
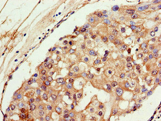
Immunohistochemistry of paraffin-embedded human breast cancer using CSB-PA16019A0Rb at dilution of 1:100
Immunofluorescent analysis of Hela cells using CSB-PA16019A0Rb at dilution of 1:100 and Alexa Fluor 488-congugated AffiniPure Goat Anti-Rabbit IgG(H+L)
FOXO1 Antibodies
FOXO1 for Homo sapiens (Human)
| 產品貨號 | 產品名稱 | 種屬反應性 | 應用類型 |
|---|---|---|---|
| CSB-PA008833GA01HU | FOXO1 Antibody | Human,Mouse,Rat | ELISA,WB |
| CSB-PA589285 | Phospho-FOXO1 (Ser256) Antibody | Human,Mouse,Rat | ELISA,WB,IHC,IF |
| CSB-PA284263 | Phospho-FOXO1 (Ser319) Antibody | Human,Mouse,Rat | ELISA,WB,IHC,IF |
| CSB-PA228665 | FOXO1 (Ab-256) Antibody | Human,Mouse,Rat | ELISA,WB,IHC,IF |
| CSB-PA953422 | FOXO1 (Ab-319) Antibody | Human,Mouse,Rat | ELISA,WB,IHC |
| CSB-PA168688 | FOXO1 Antibody | Human,Mouse,Rat | ELISA,WB,IHC |
| CSB-PA000529 | Phospho-FOXO1 (S319) Antibody | Human,Mouse,Rat | WB, IHC, ELISA |
| CSB-PA002569 | FOXO1 Antibody | Human,Mouse,Rat | WB, IHC, IF, ELISA |
| CSB-PA002571 | FOXO1 Antibody | Human,Mouse,Rat | WB, IHC, IF, ELISA |
| CSB-PA008316 | Phospho-FOXO1 (S256) Antibody | Human,Mouse,Rat | WB, IHC, IF, ELISA |
| CSB-PA008318 | Phospho-FOXO1 (S329) Antibody | Human,Mouse,Rat | WB, IHC, ELISA |
| CSB-PA177666 | FOXO1 Antibody | Human,Mouse,Rat | ELISA,IHC |
| CSB-PA928634 | FOXO1 Antibody | Human,Mouse,Rat | ELISA,WB,IHC |
| CSB-PA16019A0Rb | FOXO1 Antibody | Human, Mouse | ELISA, WB, IHC, IF |
| CSB-PA16019B0Rb | FOXO1 Antibody, HRP conjugated | Human | ELISA |
| CSB-PA16019C0Rb | FOXO1 Antibody, FITC conjugated | Human | |
| CSB-PA16019D0Rb | FOXO1 Antibody, Biotin conjugated | Human | ELISA |
FOXO1 Proteins
FOXO1 Proteins for Homo sapiens (Human)
| 產品貨號 | 產品名稱 | 來源 |
|---|---|---|
| CSB-YP615533HU CSB-EP615533HU CSB-BP615533HU CSB-MP615533HU CSB-EP615533HU-B |
Recombinant Human Forkhead box protein O1 (FOXO1) | Yeast E.coli Baculovirus Mammalian cell In Vivo Biotinylation in E.coli |
FOXO1 Proteins for Xenopus laevis (African clawed frog)
| 產品貨號 | 產品名稱 | 來源 |
|---|---|---|
| CSB-YP725009XBE CSB-EP725009XBE CSB-BP725009XBE CSB-MP725009XBE CSB-EP725009XBE-B |
Recombinant Xenopus laevis Forkhead box protein O1 (foxo1), partial | Yeast E.coli Baculovirus Mammalian cell In Vivo Biotinylation in E.coli |
FOXO1 Proteins for Xenopus tropicalis (Western clawed frog) (Silurana tropicalis)
| 產品貨號 | 產品名稱 | 來源 |
|---|---|---|
| CSB-YP731448XBF CSB-EP731448XBF CSB-BP731448XBF CSB-MP731448XBF CSB-EP731448XBF-B |
Recombinant Xenopus tropicalis Forkhead box protein O1 (foxo1), partial | Yeast E.coli Baculovirus Mammalian cell In Vivo Biotinylation in E.coli |
FOXO1 Proteins for Spermophilus tridecemlineatus (Thirteen-lined ground squirrel) (Ictidomys tridecemlineatus)
| 產品貨號 | 產品名稱 | 來源 |
|---|---|---|
| CSB-YP773960FKA CSB-EP773960FKA CSB-BP773960FKA CSB-MP773960FKA CSB-EP773960FKA-B |
Recombinant Spermophilus tridecemlineatus Forkhead box protein O1 (FOXO1), partial | Yeast E.coli Baculovirus Mammalian cell In Vivo Biotinylation in E.coli |
FOXO1 Proteins for Mus musculus (Mouse)
| 產品貨號 | 產品名稱 | 來源 |
|---|---|---|
| CSB-YP865641MO CSB-EP865641MO CSB-BP865641MO CSB-MP865641MO CSB-EP865641MO-B |
Recombinant Mouse Forkhead box protein O1 (Foxo1) | Yeast E.coli Baculovirus Mammalian cell In Vivo Biotinylation in E.coli |






