FOXA1
FOXA1,即叉頭框蛋白A1,別名HNF3α。FOXA1是一種在多個生物學過程中起核心作用的轉錄因子,包括器官發生、分化、糖脂代謝、細胞增殖、遷移和侵襲,以及藥物抗性。FOXA1通過結合到基因組上的特定區域,幫助打開染色質結構,從而作為先鋒因子促進其他轉錄因子的結合和基因的轉錄。在癌癥中,FOXA1與激素受體如雌激素受體ER和雄激素受體AR等相互作用,調控相關癌癥的發生、發展、轉移、耐藥等過程。FOXA1的突變或表觀遺傳修飾與多種癌癥的發展和治療抗性相關,尤其是在雌激素受體陽性的乳腺癌和前列腺癌中。FOXA1還參與調節多種代謝途徑,包括糖代謝和脂代謝,影響細胞的代謝狀態和能量平衡。因此,FOXA1在維持細胞正常功能和促進疾病進展中扮演著關鍵角色,是癌癥治療中的一個重要靶點。
熱銷產品
Recombinant Human Hepatocyte nuclear factor 3-alpha (FOXA1) (CSB-EP008794HU)
驗證數據
(Tris-Glycine gel) Discontinuous SDS-PAGE (reduced) with 5% enrichment gel and 15% separation gel.
FOXA1 Recombinant Monoclonal Antibody (CSB-RA246102A0HU)
驗證數據
Western Blot
Positive WB detected in: MCF-7 whole cell lysate, HepG2 whole cell lysate, PC-3 whole cell lysate, 293 whole cell lysate, Hela whole cell lysate
All lanes: FOXA1 antibody at 1:2000
Secondary
Goat polyclonal to rabbit IgG at 1/50000 dilution
Predicted band size: 50, 46 kDa
Observed band size: 50 kDa
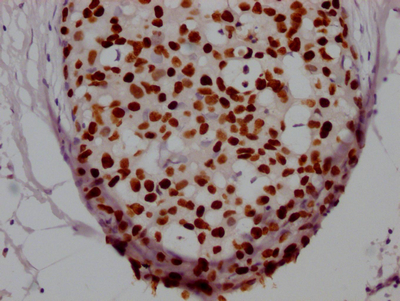
IHC image of CSB-RA246102A0HU diluted at 1:100 and staining in paraffin-embedded human breast cancer performed on a Leica BondTM system. After dewaxing and hydration, antigen retrieval was mediated by high pressure in a citrate buffer (pH 6.0). Section was blocked with 10% normal goat serum 30min at RT. Then primary antibody (1% BSA) was incubated at 4℃ overnight. The primary is detected by a Goat anti-rabbit IgG polymer labeled by HRP and visualized using 0.05% DAB.
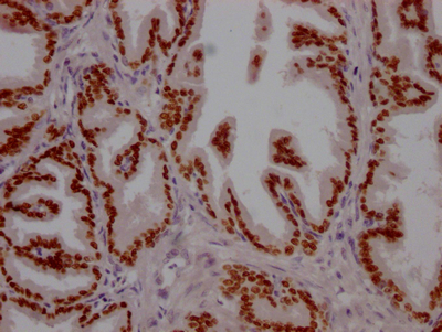
IHC image of CSB-RA246102A0HU diluted at 1:100 and staining in paraffin-embedded human prostate tissue performed on a Leica BondTM system. After dewaxing and hydration, antigen retrieval was mediated by high pressure in a citrate buffer (pH 6.0). Section was blocked with 10% normal goat serum 30min at RT. Then primary antibody (1% BSA) was incubated at 4℃ overnight. The primary is detected by a Goat anti-rabbit IgG polymer labeled by HRP and visualized using 0.05% DAB.
Immunoprecipitating FOXA1 in Hela whole cell lysate
Lane 1: Rabbit control IgG instead of CSB-RA246102A0HU in Hela whole cell lysate.
For western blotting,a HRP-conjugated Protein G antibody was used as the secondary antibody (1/2000)
Lane 2: CSB-RA246102A0HU(2μg)+ Hela whole cell lysate(500μg)
Lane 3: Hela whole cell lysate (10μg)
FOXA1 Antibodies
FOXA1 for Homo sapiens (Human)
| 產品貨號 | 產品名稱 | 種屬反應性 | 應用類型 |
|---|---|---|---|
| CSB-PA008794GA01HU | FOXA1 Antibody | Human,Mouse | ELISA,WB |
| CSB-PA000113 | Acetyl-FOXA1 (K264/253/211) Antibody | Human,Mouse,Rat | WB, ELISA |
| CSB-PA005476 | FOXA1 Antibody | Human,Mouse,Rat | WB, ELISA |
| CSB-PA132836 | FOXA1 Antibody | Human,Mouse,Rat | ELISA,WB,IHC |
| CSB-PA008794LA01HU | FOXA1 Antibody | Human | ELISA, IHC |
| CSB-PA008794LB01HU | FOXA1 Antibody, HRP conjugated | Human | ELISA |
| CSB-PA008794LC01HU | FOXA1 Antibody, FITC conjugated | Human | |
| CSB-PA008794LD01HU | FOXA1 Antibody, Biotin conjugated | Human | ELISA |
| CSB-RA246102A0HU | FOXA1 Recombinant Monoclonal Antibody | Human | ELISA, WB, IHC, IP |
FOXA1 Proteins
FOXA1 Proteins for Mus musculus (Mouse)
| 產品貨號 | 產品名稱 | 來源 |
|---|---|---|
| CSB-YP008794MO CSB-EP008794MO CSB-BP008794MO CSB-MP008794MO CSB-EP008794MO-B |
Recombinant Mouse Hepatocyte nuclear factor 3-alpha (Foxa1) | Yeast E.coli Baculovirus Mammalian cell In Vivo Biotinylation in E.coli |
FOXA1 Proteins for Rattus norvegicus (Rat)
| 產品貨號 | 產品名稱 | 來源 |
|---|---|---|
| CSB-YP008794RA CSB-EP008794RA CSB-BP008794RA CSB-MP008794RA CSB-EP008794RA-B |
Recombinant Rat Hepatocyte nuclear factor 3-alpha (Foxa1) | Yeast E.coli Baculovirus Mammalian cell In Vivo Biotinylation in E.coli |
FOXA1 Proteins for Homo sapiens (Human)
| 產品貨號 | 產品名稱 | 來源 |
|---|---|---|
| CSB-YP008794HU CSB-BP008794HU CSB-MP008794HU CSB-EP008794HU-B |
Recombinant Human Hepatocyte nuclear factor 3-alpha (FOXA1) | Yeast Baculovirus Mammalian cell In Vivo Biotinylation in E.coli |
| CSB-EP008794HU | Recombinant Human Hepatocyte nuclear factor 3-alpha (FOXA1) | E.coli |
FOXA1 Proteins for Xenopus tropicalis (Western clawed frog) (Silurana tropicalis)
| 產品貨號 | 產品名稱 | 來源 |
|---|---|---|
| CSB-YP804751XBF CSB-EP804751XBF CSB-BP804751XBF CSB-MP804751XBF CSB-EP804751XBF-B |
Recombinant Xenopus tropicalis Forkhead box protein A1 (foxa1) | Yeast E.coli Baculovirus Mammalian cell In Vivo Biotinylation in E.coli |






