FOSL1
FOSL1(FOS-like antigen 1)又稱Fra-1,屬于AP-1轉錄因子家族成員,在細胞增殖、分化和凋亡中發揮調控作用。FOSL1通過與JUN家族蛋白形成二聚體,結合特定DNA序列激活下游靶基因,尤其與腫瘤侵襲轉移密切相關。有研究發現,FOSL1在乳腺癌、結直腸癌和肺癌等多種惡性腫瘤中異常高表達,通過誘導上皮間質轉化(EMT)促進癌細胞遷移,并與血管生成、化療耐藥等惡性表型相關。其活性受MAPK/ERK和JNK等信號通路調控,與炎癥因子TNF-α、IL-6的表達也存在交叉調控。目前針對FOSL1尚無直接靶向藥物,但針對其上游信號分子開發的MEK抑制劑(如曲美替尼)已在臨床試驗中驗證對部分腫瘤的療效。近年研究發現,天然化合物姜黃素可通過抑制FOSL1表達延緩腫瘤進展,為聯合用藥提供了新方向。
熱銷產品
FOSL1 Antibody (CSB-PA008792DSR1HU)
驗證數據
Immunohistochemistry of paraffin-embedded human tonsil tissue using CSB-PA008792DSR1HU at dilution of 1:100
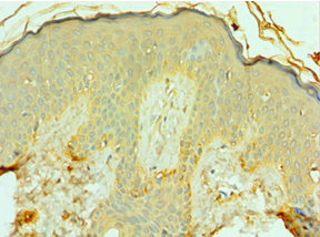
Immunohistochemistry of paraffin-embedded human skin tissue using CSB-PA008792DSR1HU at dilution of 1:100
Immunohistochemistry of paraffin-embedded human colon tissue using CSB-PA008792DSR1HU at dilution of 1:100
FOSL1 Antibodies
FOSL1 for Homo sapiens (Human)
| 產品貨號 | 產品名稱 | 種屬反應性 | 應用類型 |
|---|---|---|---|
| CSB-PA679637 | FOSL1 Antibody | Human,Mouse,Rat | ELISA,WB |
| CSB-PA008792DSR1HU | FOSL1 Antibody | Human | ELISA, IHC |
| CSB-PA002578 | FOSL1 Antibody | Human,Mouse,Rat | WB, IHC, ELISA |
| CSB-PA940383 | FOSL1 Antibody | Human,Rat | ELISA,WB |
| CSB-PA569524 | FOSL1 Antibody | Human,Rat | ELISA,WB,IHC |
FOSL1 Proteins
FOSL1 Proteins for Rattus norvegicus (Rat)
| 產品貨號 | 產品名稱 | 來源 |
|---|---|---|
| CSB-YP008792RA CSB-EP008792RA CSB-BP008792RA CSB-MP008792RA CSB-EP008792RA-B |
Recombinant Rat Fos-related antigen 1 (Fosl1) | Yeast E.coli Baculovirus Mammalian cell In Vivo Biotinylation in E.coli |
FOSL1 Proteins for Homo sapiens (Human)
| 產品貨號 | 產品名稱 | 來源 |
|---|---|---|
| CSB-BP008792HU CSB-MP008792HU CSB-EP008792HU-B |
Recombinant Human Fos-related antigen 1 (FOSL1) | Baculovirus Mammalian cell In Vivo Biotinylation in E.coli |
FOSL1 Proteins for Mus musculus (Mouse)
| 產品貨號 | 產品名稱 | 來源 |
|---|---|---|
| CSB-YP008792MO CSB-BP008792MO CSB-MP008792MO CSB-EP008792MO-B |
Recombinant Mouse Fos-related antigen 1 (Fosl1) | Yeast Baculovirus Mammalian cell In Vivo Biotinylation in E.coli |






