FAT1
FAT1,全稱為FAT atypical cadherin 1,是一種非典型鈣黏蛋白,屬于鈣黏蛋白超家族。別名包括CDHF7、CDHR8、FAT、ME5和hFat1。FAT1蛋白在多種組織中表達,尤其在發育中的神經系統、腎臟和皮膚中發揮重要作用。其主要功能包括調控細胞遷移、增殖和細胞骨架重組,并通過Hippo信號通路影響器官大小和組織穩態。FAT1的突變與多種疾病相關,例如腎小球疾病、癌癥(如膠質母細胞瘤、結直腸癌)和神經發育障礙。突變可能導致蛋白功能喪失,破壞細胞黏附或信號傳導,進而引發組織發育異?;蚰[瘤進展。FAT1過表達在某些癌癥中可能促進細胞侵襲和轉移,而在其他情況下(如皮膚傷口愈合)可能加速組織修復。相反,FAT1表達降低可能導致細胞極性缺陷、遷移異常或發育畸形,例如小鼠模型中FAT1缺失會引發腎小球病變和神經系統異常。該基因還與Wnt/β-catenin通路相互作用,影響胚胎發育和腫瘤發生。FAT家族成員的共性在于通過細胞膜定位介導細胞-細胞接觸,并參與發育調控,但各成員在組織分布和具體功能上存在差異。研究FAT1有助于理解組織發育、癌癥機制及潛在治療靶點。目前,針對FAT1的藥物研發尚處于早期階段,但已有研究探索其在肺癌、頭頸鱗癌等疾病中的治療潛力。
熱銷產品
Recombinant Human Protocadherin Fat 1 (FAT1), partial (CSB-EP614532HU)
驗證數據
(Tris-Glycine gel) Discontinuous SDS-PAGE (reduced) with 5% enrichment gel and 15% separation gel.
驗證數據
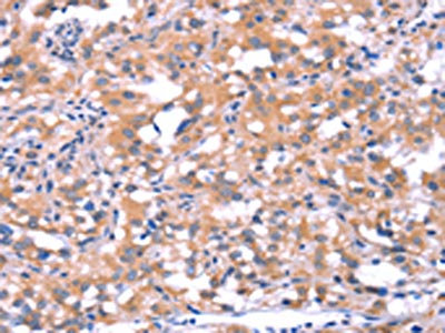
The image on the left is immunohistochemistry of paraffin-embedded Human thyroid cancer tissue using CSB-PA592424(FAT1 Antibody) at dilution 1/40, on the right is treated with synthetic peptide. (Original magnification: ×200)
FAT1 Antibodies
FAT1 for Homo sapiens (Human)
| 產品貨號 | 產品名稱 | 種屬反應性 | 應用類型 |
|---|---|---|---|
| CSB-PA592424 | FAT1 Antibody | Human | ELISA,IHC |
| CSB-PA068354 | FAT1 Antibody | Human | ELISA,IHC |
FAT1 Proteins
FAT1 Proteins for Homo sapiens (Human)
| 產品貨號 | 產品名稱 | 來源 |
|---|---|---|
| CSB-YP614532HU CSB-BP614532HU CSB-MP614532HU CSB-EP614532HU-B |
Recombinant Human Protocadherin Fat 1 (FAT1), partial | Yeast Baculovirus Mammalian cell In Vivo Biotinylation in E.coli |
| CSB-EP614532HU | Recombinant Human Protocadherin Fat 1 (FAT1), partial | E.coli |






