FADD
FADD,全稱為FAS-associated death domain protein,是一種參與細胞凋亡調控的重要蛋白。它也被稱為Fas-associating death domain-containing protein或Fas-associating protein with death domain。FADD蛋白在細胞凋亡過程中發揮著關鍵作用,它能夠與Fas受體結合,形成死亡誘導信號復合物,進而激活下游的凋亡通路。
FADD蛋白與多種疾病相關,包括自身免疫性疾病、癌癥和感染性疾病等。在自身免疫性疾病中,FADD蛋白的異常表達或功能失調可能導致免疫系統攻擊自身組織,引發炎癥和組織損傷。在癌癥中,FADD蛋白的異常表達或功能失調可能與腫瘤細胞的生長和擴散有關。在感染性疾病中,FADD蛋白可能參與免疫應答的調控,影響機體對病原體的清除能力。
針對FADD蛋白的藥物研發取得了一定的進展。例如,Z-VAD-FMK是一種廣譜性Caspase抑制劑,可以抑制FADD蛋白介導的細胞凋亡,用于治療癌癥和自身免疫性疾病。此外,還有多種靶向FADD蛋白的小分子抑制劑和抗體正在研發中,用于治療癌癥、自身免疫性疾病和感染性疾病等。
熱銷產品
Recombinant Human FAS-associated death domain protein (FADD) (CSB-EP623788HU)
驗證數據
(Tris-Glycine gel) Discontinuous SDS-PAGE (reduced) with 5% enrichment gel and 15% separation gel.
FADD Recombinant Monoclonal Antibody (CSB-RA158850A0HU)
驗證數據
Western Blot
Positive WB detected in: A549 whole cell lysate(20μg),Hela whole cell lysate(20μg), Jurkat whole cell lysate(20μg),NIH/3T3 whole cell lysate(20μg)
All lanes: FADD antibody at 1:1000
Secondary
Goat polyclonal to rabbit IgG at 1/40000 dilution
Predicted band size: 23 kDa
Observed band size: 25 kDa
Exposure time:2min
Overlay Peak curve showing HepG2 cells stained with CSB-RA158850A0HU (red line) at 1:100. The cells were fixed in 4% formaldehyde and permeated by 0.2% TritonX-100 for 10min. Then 10% normal goat serum to block non-specific protein-protein interactions followed by the antibody (1ug/1*106cells) for 45min at 4℃. The secondary antibody used was FITC-conjugated goat anti-rabbit IgG (H+L) at 1/200 dilution for 35min at 4℃.Control antibody (green line) was Rabbit IgG (1ug/1*106cells) used under the same conditions. Acquisition of >10,000 events was performed.
驗證數據
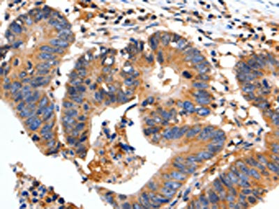
The image on the left is immunohistochemistry of paraffin-embedded Human colon cancer tissue using CSB-PA824751(FADD Antibody) at dilution 1/35, on the right is treated with fusion protein. (Original magnification: ×200)
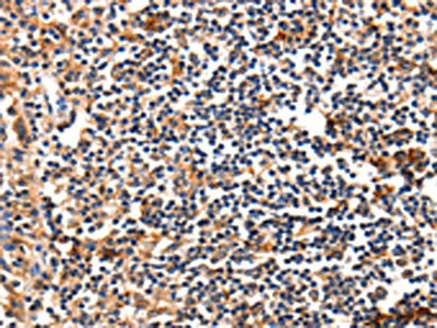
The image on the left is immunohistochemistry of paraffin-embedded Human tonsil tissue using CSB-PA824751(FADD Antibody) at dilution 1/35, on the right is treated with fusion protein. (Original magnification: ×200)
Gel: 8+12%SDS-PAGE, Lysate: 30 μg, Lane 1-2: Mouse spleen tissue, RAW264.7 cells, Primary antibody: CSB-PA824751(FADD Antibody) at dilution 1/550, Secondary antibody: Goat anti rabbit IgG at 1/8000 dilution, Exposure time: 5 seconds
Human Protein FADD(FADD) ELISA kit (CSB-EL007958HU)
驗證數據
貨號:CSB-EL007958HU
規格:96T/48T
靈敏度:31.25 pg/mL
檢測范圍:125 pg/mL-8000 pg/mL
These standard curves are provided for demonstration only. A standard curve should be generated for each set of samples assayed.
FADD Antibodies
FADD for Homo sapiens (Human)
| 產品貨號 | 產品名稱 | 種屬反應性 | 應用類型 |
|---|---|---|---|
| CSB-PA007958GA01HU | FADD Antibody | Human,Mouse,Rat | ELISA,WB,IHC |
| CSB-PA623788ESR1HU | FADD Antibody | Human | ELISA, IHC |
| CSB-PA446731 | Phospho-FADD (Ser191) Antibody | Human,Mouse | ELISA,WB,IHC |
| CSB-PA002463 | FADD Antibody | Human | WB, IHC, ELISA |
| CSB-PA070144 | Phospho-FADD (S194) Antibody | Human | WB, IHC, ELISA |
| CSB-PA070145 | FADD Antibody | Human | IHC, IF, ELISA |
| CSB-PA824751 | FADD Antibody | Human,Mouse | ELISA,WB,IHC |
| CSB-PA221364 | FADD Antibody | Human | ELISA,IHC |
| CSB-RA158850A0HU | FADD Recombinant Monoclonal Antibody | Human, Mouse | ELISA, WB, FC |
FADD for Mus musculus (Mouse)
| 產品貨號 | 產品名稱 | 種屬反應性 | 應用類型 |
|---|---|---|---|
| CSB-PA006346 | Phospho-FADD (S191) Antibody | Mouse | WB, IHC, ELISA |
| CSB-PA011057 | FADD Antibody | Mouse | WB, IHC, ELISA |
FADD Proteins
FADD Proteins for Escherichia coli (strain K12)
| 產品貨號 | 產品名稱 | 來源 |
|---|---|---|
| CSB-YP300208ENV CSB-BP300208ENV CSB-MP300208ENV CSB-EP300208ENV-B |
Recombinant Escherichia coli Long-chain-fatty-acid--CoA ligase (fadD) | Yeast Baculovirus Mammalian cell In Vivo Biotinylation in E.coli |
| CSB-EP300208ENV | Recombinant E.coli Long-chain-fatty-acid--CoA ligase (fadD) | E.coli |
FADD Proteins for Escherichia coli O6
| 產品貨號 | 產品名稱 | 來源 |
|---|---|---|
| CSB-YP302467EGX CSB-EP302467EGX CSB-BP302467EGX CSB-MP302467EGX CSB-EP302467EGX-B |
Recombinant Long-chain-fatty-acid--CoA ligase (fadD) | Yeast E.coli Baculovirus Mammalian cell In Vivo Biotinylation in E.coli |
FADD Proteins for Haemophilus influenzae (strain ATCC 51907 / DSM 11121 / KW20 / Rd)
| 產品貨號 | 產品名稱 | 來源 |
|---|---|---|
| CSB-YP342804HTA CSB-EP342804HTA CSB-BP342804HTA CSB-MP342804HTA CSB-EP342804HTA-B |
Recombinant Haemophilus influenzae Long-chain-fatty-acid--CoA ligase (fadD), partial | Yeast E.coli Baculovirus Mammalian cell In Vivo Biotinylation in E.coli |
FADD Proteins for Salmonella typhimurium (strain LT2 / SGSC1412 / ATCC 700720)
| 產品貨號 | 產品名稱 | 來源 |
|---|---|---|
| CSB-YP351269SXB CSB-EP351269SXB CSB-BP351269SXB CSB-MP351269SXB CSB-EP351269SXB-B |
Recombinant Salmonella typhimurium Long-chain-fatty-acid--CoA ligase (fadD), partial | Yeast E.coli Baculovirus Mammalian cell In Vivo Biotinylation in E.coli |
FADD Proteins for Salmonella typhi
| 產品貨號 | 產品名稱 | 來源 |
|---|---|---|
| CSB-YP351875SWW CSB-EP351875SWW CSB-BP351875SWW CSB-MP351875SWW CSB-EP351875SWW-B |
Recombinant Long-chain-fatty-acid--CoA ligase (fadD), partial | Yeast E.coli Baculovirus Mammalian cell In Vivo Biotinylation in E.coli |
FADD Proteins for Homo sapiens (Human)
| 產品貨號 | 產品名稱 | 來源 |
|---|---|---|
| CSB-YP623788HU CSB-BP623788HU CSB-MP623788HU CSB-EP623788HU-B |
Recombinant Human FAS-associated death domain protein (FADD) | Yeast Baculovirus Mammalian cell In Vivo Biotinylation in E.coli |
| CSB-EP623788HU | Recombinant Human FAS-associated death domain protein (FADD) | E.coli |
FADD Proteins for Drosophila pseudoobscura pseudoobscura (Fruit fly)
| 產品貨號 | 產品名稱 | 來源 |
|---|---|---|
| CSB-YP639067DME CSB-EP639067DME CSB-BP639067DME CSB-MP639067DME CSB-EP639067DME-B |
Recombinant Drosophila pseudoobscura pseudoobscura Death domain-containing adapter protein BG4 (BG4) | Yeast E.coli Baculovirus Mammalian cell In Vivo Biotinylation in E.coli |
FADD Proteins for Mus musculus (Mouse)
| 產品貨號 | 產品名稱 | 來源 |
|---|---|---|
| CSB-YP730727MO CSB-EP730727MO CSB-BP730727MO CSB-MP730727MO CSB-EP730727MO-B |
Recombinant Mouse Protein FADD (Fadd) | Yeast E.coli Baculovirus Mammalian cell In Vivo Biotinylation in E.coli |
FADD Proteins for Bos taurus (Bovine)
| 產品貨號 | 產品名稱 | 來源 |
|---|---|---|
| CSB-YP737367BO CSB-EP737367BO CSB-BP737367BO CSB-MP737367BO CSB-EP737367BO-B |
Recombinant Bovine Protein FADD (FADD) | Yeast E.coli Baculovirus Mammalian cell In Vivo Biotinylation in E.coli |
FADD Proteins for Escherichia coli O157:H7
| 產品貨號 | 產品名稱 | 來源 |
|---|---|---|
| CSB-YP834851EOD CSB-EP834851EOD CSB-BP834851EOD CSB-MP834851EOD CSB-EP834851EOD-B |
Recombinant Escherichia coli O157:H7 Long-chain-fatty-acid--CoA ligase (fadD) | Yeast E.coli Baculovirus Mammalian cell In Vivo Biotinylation in E.coli |
FADD Proteins for Yersinia pestis
| 產品貨號 | 產品名稱 | 來源 |
|---|---|---|
| CSB-YP835296YAS CSB-EP835296YAS CSB-BP835296YAS CSB-MP835296YAS CSB-EP835296YAS-B |
Recombinant Long-chain-fatty-acid--CoA ligase (fadD), partial | Yeast E.coli Baculovirus Mammalian cell In Vivo Biotinylation in E.coli |
FADD Proteins for Drosophila melanogaster (Fruit fly)
| 產品貨號 | 產品名稱 | 來源 |
|---|---|---|
| CSB-YP893221DLU CSB-EP893221DLU CSB-BP893221DLU CSB-MP893221DLU CSB-EP893221DLU-B |
Recombinant Drosophila melanogaster Death domain-containing adapter protein BG4 (BG4) | Yeast E.coli Baculovirus Mammalian cell In Vivo Biotinylation in E.coli |
FADD ELISA Kit
FADD ELISA Kit for Homo sapiens (Human)
| 產品貨號 | 產品名稱 | 樣本類型 | 靈敏度 |
|---|---|---|---|
| CSB-EL007958HU | Human Protein FADD(FADD) ELISA kit | serum, plasma, cell culture supernates, cell lysates | 31.25 pg/mL |






