F10
F10,即凝血因子X,它是一種在肝臟合成的血漿糖蛋白,由F10基因編碼。F10在血液凝固過程中發揮重要作用,作為凝血級聯反應中的一個關鍵組分,能夠被凝血酶激活轉化為F10a(因子Xa),進而參與凝血酶的生成,促進血液凝固。F10對維持血液凝固平衡至關重要,F10的缺乏或功能異常可導致出血性疾病。在腫瘤生物學中,F10的表達水平與腫瘤的侵襲性、轉移性和預后密切相關,其異常表達可能與腫瘤的發生發展有關。
熱銷產品
Recombinant Mouse Coagulation factor X (F10) (CSB-EP007915MO)
驗證數據
(Tris-Glycine gel) Discontinuous SDS-PAGE (reduced) with 5% enrichment gel and 15% separation gel.
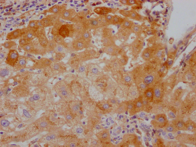
F10 Recombinant Monoclonal Antibody (CSB-RA599469A0HU)
驗證數據
IHC image of CSB-RA599469A0HU diluted at 1:100 and staining in paraffin-embedded human liver cancer performed on a Leica BondTM system. After dewaxing and hydration, antigen retrieval was mediated by high pressure in a citrate buffer (pH 6.0). Section was blocked with 10% normal goat serum 30min at RT. Then primary antibody (1% BSA) was incubated at 4℃ overnight. The primary is detected by a Goat anti-rabbit IgG polymer labeled by HRP and visualized using 0.05% DAB.
Pig coagulation factor X (F10) ELISA kit (CSB-EL007915PI)
驗證數據
貨號:CSB-EL007915PI
規格:96T/48T
靈敏度:0.027 μg/mL
檢測范圍:0.027 μg/mL-20 μg/mL
These standard curves are provided for demonstration only. A standard curve should be generated for each set of samples assayed.
F10 Antibodies
F10 for Homo sapiens (Human)
| 產品貨號 | 產品名稱 | 種屬反應性 | 應用類型 |
|---|---|---|---|
| CSB-PA000067 | Cleaved-F10 (A41) Antibody | Human | WB, ELISA |
| CSB-PA008167 | Cleaved-F10 (I235) Antibody | Human,Mouse,Rat | WB, ELISA |
| CSB-PA829543 | F10 Antibody | Human,Mouse,Rat | ELISA,WB |
| CSB-PA245689 | F10 Antibody | Human,Mouse,Rat | ELISA,WB |
| CSB-RA599469A0HU | F10 Recombinant Monoclonal Antibody | Human | ELISA, IHC |
F10 Proteins
F10 Proteins for Gallus gallus (Chicken)
| 產品貨號 | 產品名稱 | 來源 |
|---|---|---|
| CSB-YP007915CH CSB-EP007915CH CSB-BP007915CH CSB-MP007915CH CSB-EP007915CH-B |
Recombinant Chicken Coagulation factor X (F10) | Yeast E.coli Baculovirus Mammalian cell In Vivo Biotinylation in E.coli |
F10 Proteins for Bos taurus (Bovine)
| 產品貨號 | 產品名稱 | 來源 |
|---|---|---|
| CSB-YP007915BO CSB-EP007915BO CSB-BP007915BO CSB-MP007915BO CSB-EP007915BO-B |
Recombinant Bovine Coagulation factor X (F10) | Yeast E.coli Baculovirus Mammalian cell In Vivo Biotinylation in E.coli |
F10 Proteins for Homo sapiens (Human)
| 產品貨號 | 產品名稱 | 來源 |
|---|---|---|
| CSB-YP007915HU CSB-BP007915HU CSB-MP007915HU CSB-EP007915HU-B |
Recombinant Human Coagulation factor X (F10) | Yeast Baculovirus Mammalian cell In Vivo Biotinylation in E.coli |
| CSB-EP007915HU | Recombinant Human Coagulation factor X (F10) | E.coli |
F10 Proteins for Oryctolagus cuniculus (Rabbit)
| 產品貨號 | 產品名稱 | 來源 |
|---|---|---|
| CSB-YP007915RB CSB-EP007915RB CSB-BP007915RB CSB-MP007915RB CSB-EP007915RB-B |
Recombinant Rabbit Coagulation factor X (F10) | Yeast E.coli Baculovirus Mammalian cell In Vivo Biotinylation in E.coli |
F10 Proteins for Mus musculus (Mouse)
| 產品貨號 | 產品名稱 | 來源 |
|---|---|---|
| CSB-YP007915MO CSB-BP007915MO CSB-MP007915MO CSB-EP007915MO-B |
Recombinant Mouse Coagulation factor X (F10) | Yeast Baculovirus Mammalian cell In Vivo Biotinylation in E.coli |
F10 Proteins for Schistosoma mansoni (Blood fluke)
| 產品貨號 | 產品名稱 | 來源 |
|---|---|---|
| CSB-YP319536SXQ CSB-EP319536SXQ CSB-BP319536SXQ CSB-MP319536SXQ CSB-EP319536SXQ-B |
Recombinant Schistosoma mansoni Eggshell protein (F10) | Yeast E.coli Baculovirus Mammalian cell In Vivo Biotinylation in E.coli |
F10 Proteins for Vaccinia virus (strain L-IVP) (VACV)
| 產品貨號 | 產品名稱 | 來源 |
|---|---|---|
| CSB-YP339052VAD CSB-EP339052VAD CSB-BP339052VAD CSB-MP339052VAD CSB-EP339052VAD-B |
Recombinant Vaccinia virus Protein F8 (F10) | Yeast E.coli Baculovirus Mammalian cell In Vivo Biotinylation in E.coli |
F10 Proteins for Rattus norvegicus (Rat)
| 產品貨號 | 產品名稱 | 來源 |
|---|---|---|
| CSB-YP007915RA CSB-BP007915RA CSB-MP007915RA CSB-EP007915RA-B |
Recombinant Rat Coagulation factor X (F10) | Yeast Baculovirus Mammalian cell In Vivo Biotinylation in E.coli |
F10 Proteins for Tropidechis carinatus (Australian rough-scaled snake)
| 產品貨號 | 產品名稱 | 來源 |
|---|---|---|
| CSB-YP007915TQQ CSB-EP007915TQQ CSB-BP007915TQQ CSB-MP007915TQQ CSB-EP007915TQQ-B |
Recombinant Tropidechis carinatus Coagulation factor X (F10) | Yeast E.coli Baculovirus Mammalian cell In Vivo Biotinylation in E.coli |
F10 Proteins for Pseudonaja textilis (Eastern brown snake)
| 產品貨號 | 產品名稱 | 來源 |
|---|---|---|
| CSB-YP628440FGS CSB-EP628440FGS CSB-BP628440FGS CSB-MP628440FGS CSB-EP628440FGS-B |
Recombinant Pseudonaja textilis Coagulation factor X isoform 1 (F10) | Yeast E.coli Baculovirus Mammalian cell In Vivo Biotinylation in E.coli |
| CSB-YP629303FGS CSB-EP629303FGS CSB-BP629303FGS CSB-MP629303FGS CSB-EP629303FGS-B |
Recombinant Pseudonaja textilis Coagulation factor X isoform 2 (F10) | Yeast E.coli Baculovirus Mammalian cell In Vivo Biotinylation in E.coli |
F10 ELISA Kit
F10 ELISA Kit for Homo sapiens (Human)
| 產品貨號 | 產品名稱 | 樣本類型 | 靈敏度 |
|---|---|---|---|
| CSB-E08440h | Human coagulation factor Ⅹ,FⅩ ELISA Kit | serum, plasma, tissue homogenates | 0.156 ng/mL |
F10 ELISA Kit for Mus musculus (Mouse)
| 產品貨號 | 產品名稱 | 樣本類型 | 靈敏度 |
|---|---|---|---|
| CSB-E08442m | Mouse coagulation factor Ⅹ,FⅩ ELISA Kit | serum, plasma | 0.078 μg/mL |
F10 ELISA Kit for Rattus norvegicus (Rat)
| 產品貨號 | 產品名稱 | 樣本類型 | 靈敏度 |
|---|---|---|---|
| CSB-E08441r | Rat coagulation factor Ⅹ,FⅩ ELISA Kit | serum, plasma | 0.39 ng/mL |






