ESRRA
ESRRA,即雌激素相關受體α。它是一種孤兒核受體,屬于核受體超家族成員之一,主要在細胞的能量穩態和線粒體功能中發揮關鍵作用。ESRRA通過激活自噬通量和控制宿主腸道微生物群來調節腸道穩態,是腸道健康的關鍵調節因子。在腸道功能中,ESRRA的缺失會導致對炎癥的易感性增加,并且與潰瘍性結腸炎(UC)患者的疾病活動性有關,其表達水平的降低與疾病的嚴重程度相關。
ESRRA通過與AMP激活的蛋白激酶(AMPK)和去乙酰化酶SIRT1的相互作用,增強自噬相關基因的轉錄激活,促進自噬體的形成。此外,ESRRA還參與調控與線粒體生物發生和功能相關的基因,影響細胞的能量代謝。在生物學意義上,ESRRA通過自噬激活和腸道微生物群的控制,有助于保護宿主免受有害炎癥和線粒體功能障礙的影響,對于維持腸道健康和防御病原體具有重要作用。
熱銷產品
Recombinant Human Steroid hormone receptor ERR1 (ESRRA) (CSB-EP007834HU)
驗證數據
(Tris-Glycine gel) Discontinuous SDS-PAGE (reduced) with 5% enrichment gel and 15% separation gel.
ESRRA Antibody (CSB-PA007834DSR2HU)
驗證數據
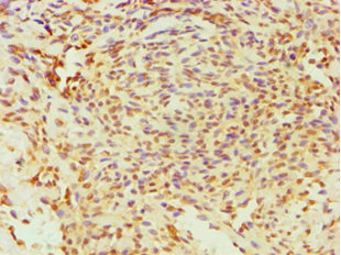
Immunohistochemistry of paraffin-embedded human breast cancer using CSB-PA007834DSR2HU at dilution of 1:100
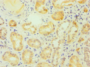
Immunohistochemistry of paraffin-embedded human kidney tissue using CSB-PA007834DSR2HU at dilution of 1:100
ESRRA Antibodies
ESRRA for Homo sapiens (Human)
| 產品貨號 | 產品名稱 | 種屬反應性 | 應用類型 |
|---|---|---|---|
| CSB-PA007834DSR2HU | ESRRA Antibody | Human | ELISA, IHC |
ESRRA Proteins
ESRRA Proteins for Homo sapiens (Human)
| 產品貨號 | 產品名稱 | 來源 |
|---|---|---|
| CSB-YP007834HU CSB-BP007834HU CSB-MP007834HU CSB-EP007834HU-B |
Recombinant Human Steroid hormone receptor ERR1 (ESRRA) | Yeast Baculovirus Mammalian cell In Vivo Biotinylation in E.coli |
| CSB-EP007834HU | Recombinant Human Steroid hormone receptor ERR1 (ESRRA) | E.coli |






