ESR2
ESR2,即雌激素受體β,別名NR3A2、ER-BETA、ESR-BETA、ESTRB等。它是由人類ESR2基因編碼的核受體,位于第14號染色體上。ESR2的作用機制是通過與雌激素結合,調節基因表達,它在多種生物學過程中發揮作用,包括生殖、代謝、心血管功能以及神經系統的調節。ESR2在腫瘤細胞代謝中也發揮重要作用,其表達水平的變化與某些癌癥的發生發展相關,如乳腺癌、卵巢癌等,因此它是一個重要的藥物靶點和生物標志物。
熱銷產品
Recombinant Human Estrogen receptor beta (ESR2), partial (CSB-YP007831HU)
驗證數據
(Tris-Glycine gel) Discontinuous SDS-PAGE (reduced) with 5% enrichment gel and 15% separation gel.
ESR2 Antibody (CSB-PA007831LA01HU)
驗證數據
Western blot
All lanes: ESR2 antibody at 2μg/ml
Lane 1: Mouse brain tissue
Lane 2: PC-3 whole cell lysate
Secondary
Goat polyclonal to rabbit IgG at 1/10000 dilution
Predicted band size: 60, 56, 36, 58, 55, 53, 49, 42, 54 kDa
Observed band size: 60 kDa
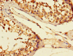
Immunohistochemistry of paraffin-embedded human testis tissue using CSB-PA007831LA01HU at dilution of 1:100
ESR2 Antibodies
ESR2 for Homo sapiens (Human)
| 產品貨號 | 產品名稱 | 種屬反應性 | 應用類型 |
|---|---|---|---|
| CSB-PA007831LD01HU | ESR2 Antibody, Biotin conjugated | Human | ELISA |
| CSB-PA007831GA01HU | ESR2 Antibody | Human,Mouse,Rat | ELISA,WB,IHC |
| CSB-PA177881 | Phospho-ESR2 (Ser105) Antibody | Human,Mouse,Rat | ELISA,WB |
| CSB-PA002446 | ESR2 Antibody | Human,Mouse,Rat | WB, IF, ELISA |
| CSB-PA008149 | Phospho-ESR2 (S105) Antibody | Human,Mouse,Rat | WB, IF, ELISA |
| CSB-PA008150 | Phospho-ESR2 (S87) Antibody | Human | IHC, ELISA |
| CSB-PA008151 | ESR2 Antibody | Human | WB, IHC, ELISA |
| CSB-PA135769 | ESR2 Antibody | Human,Mouse,Rat | ELISA,WB,IHC |
| CSB-PA912176 | ESR2 Antibody | Human,Mouse,Rat | ELISA,WB,IHC |
| CSB-PA007831LA01HU | ESR2 Antibody | Human, Mouse | ELISA, WB, IHC |
ESR2 Proteins
ESR2 Proteins for Mus musculus (Mouse)
| 產品貨號 | 產品名稱 | 來源 |
|---|---|---|
| CSB-YP007831MO CSB-EP007831MO CSB-BP007831MO CSB-MP007831MO CSB-EP007831MO-B |
Recombinant Mouse Estrogen receptor beta (Esr2) | Yeast E.coli Baculovirus Mammalian cell In Vivo Biotinylation in E.coli |
ESR2 Proteins for Micropogonias undulatus (Atlantic croaker)
| 產品貨號 | 產品名稱 | 來源 |
|---|---|---|
| CSB-YP007831MGH CSB-EP007831MGH CSB-BP007831MGH CSB-MP007831MGH CSB-EP007831MGH-B |
Recombinant Micropogonias undulatus Estrogen receptor beta (esr2), partial | Yeast E.coli Baculovirus Mammalian cell In Vivo Biotinylation in E.coli |
ESR2 Proteins for Oncorhynchus mykiss (Rainbow trout) (Salmo gairdneri)
| 產品貨號 | 產品名稱 | 來源 |
|---|---|---|
| CSB-YP007831OEI CSB-EP007831OEI CSB-BP007831OEI CSB-MP007831OEI CSB-EP007831OEI-B |
Recombinant Oncorhynchus mykiss Estrogen receptor beta (esr2), partial | Yeast E.coli Baculovirus Mammalian cell In Vivo Biotinylation in E.coli |
ESR2 Proteins for Anguilla japonica (Japanese eel)
| 產品貨號 | 產品名稱 | 來源 |
|---|---|---|
| CSB-YP007831BZH CSB-EP007831BZH CSB-BP007831BZH CSB-MP007831BZH CSB-EP007831BZH-B |
Recombinant Anguilla japonica Estrogen receptor beta (esr2), partial | Yeast E.coli Baculovirus Mammalian cell In Vivo Biotinylation in E.coli |
ESR2 Proteins for Coturnix coturnix japonica (Japanese quail) (Coturnix japonica)
| 產品貨號 | 產品名稱 | 來源 |
|---|---|---|
| CSB-YP007831DXJ CSB-EP007831DXJ CSB-BP007831DXJ CSB-MP007831DXJ CSB-EP007831DXJ-B |
Recombinant Coturnix coturnix japonica Estrogen receptor beta (ESR2) | Yeast E.coli Baculovirus Mammalian cell In Vivo Biotinylation in E.coli |
ESR2 Proteins for Zea mays (Maize)
| 產品貨號 | 產品名稱 | 來源 |
|---|---|---|
| CSB-YP519574ZAX CSB-EP519574ZAX CSB-BP519574ZAX CSB-MP519574ZAX CSB-EP519574ZAX-B |
Recombinant Zea mays CLAVATA3/ESR (CLE)-related protein ESR2 | Yeast E.coli Baculovirus Mammalian cell In Vivo Biotinylation in E.coli |
ESR2 Proteins for Rattus norvegicus (Rat)
| 產品貨號 | 產品名稱 | 來源 |
|---|---|---|
| CSB-YP733851RA CSB-EP733851RA CSB-BP733851RA CSB-MP733851RA CSB-EP733851RA-B |
Recombinant Rat Estrogen receptor beta (Esr2) | Yeast E.coli Baculovirus Mammalian cell In Vivo Biotinylation in E.coli |
ESR2 Proteins for Homo sapiens (Human)
| 產品貨號 | 產品名稱 | 來源 |
|---|---|---|
| CSB-YP007831HU | Recombinant Human Estrogen receptor beta (ESR2), partial | Yeast |
| CSB-EP007831HU CSB-BP007831HU CSB-MP007831HU CSB-EP007831HU-B |
Recombinant Human Estrogen receptor beta (ESR2), partial | E.coli Baculovirus Mammalian cell In Vivo Biotinylation in E.coli |
| CSB-EP007831HU1 | Recombinant Human Estrogen receptor beta (ESR2), partial | E.coli |
| CSB-EP007831HU1a2 | Recombinant Human Estrogen receptor beta (ESR2), partial | E.coli |
ESR2 Proteins for Callithrix jacchus (White-tufted-ear marmoset)
| 產品貨號 | 產品名稱 | 來源 |
|---|---|---|
| CSB-YP850130CYL CSB-EP850130CYL CSB-BP850130CYL CSB-MP850130CYL CSB-EP850130CYL-B |
Recombinant Callithrix jacchus Estrogen receptor beta (ESR2), partial | Yeast E.coli Baculovirus Mammalian cell In Vivo Biotinylation in E.coli |
ESR2 Proteins for Gallus gallus (Chicken)
| 產品貨號 | 產品名稱 | 來源 |
|---|---|---|
| CSB-YP868699CH CSB-EP868699CH CSB-BP868699CH CSB-MP868699CH CSB-EP868699CH-B |
Recombinant Chicken Estrogen receptor beta (ESR2) | Yeast E.coli Baculovirus Mammalian cell In Vivo Biotinylation in E.coli |
ESR2 Proteins for Arabidopsis thaliana (Mouse-ear cress)
| 產品貨號 | 產品名稱 | 來源 |
|---|---|---|
| CSB-YP872345DOA CSB-EP872345DOA CSB-BP872345DOA CSB-MP872345DOA CSB-EP872345DOA-B |
Recombinant Arabidopsis thaliana Ethylene-responsive transcription factor ESR2 (ESR2) | Yeast E.coli Baculovirus Mammalian cell In Vivo Biotinylation in E.coli |
ESR2 Proteins for Ictalurus punctatus (Channel catfish)
| 產品貨號 | 產品名稱 | 來源 |
|---|---|---|
| CSB-YP872784ILX CSB-EP872784ILX CSB-BP872784ILX CSB-MP872784ILX CSB-EP872784ILX-B |
Recombinant Ictalurus punctatus Estrogen receptor beta (esr2), partial | Yeast E.coli Baculovirus Mammalian cell In Vivo Biotinylation in E.coli |
ESR2 Proteins for Macaca mulatta (Rhesus macaque)
| 產品貨號 | 產品名稱 | 來源 |
|---|---|---|
| CSB-YP874676MOW CSB-EP874676MOW CSB-BP874676MOW CSB-MP874676MOW CSB-EP874676MOW-B |
Recombinant Macaca mulatta Estrogen receptor beta (ESR2) | Yeast E.coli Baculovirus Mammalian cell In Vivo Biotinylation in E.coli |
ESR2 Proteins for Sturnus vulgaris (Starling)
| 產品貨號 | 產品名稱 | 來源 |
|---|---|---|
| CSB-YP879380SQV CSB-EP879380SQV CSB-BP879380SQV CSB-MP879380SQV CSB-EP879380SQV-B |
Recombinant Sturnus vulgaris Estrogen receptor beta (ESR2), partial | Yeast E.coli Baculovirus Mammalian cell In Vivo Biotinylation in E.coli |
ESR2 Proteins for Ovis aries (Sheep)
| 產品貨號 | 產品名稱 | 來源 |
|---|---|---|
| CSB-YP890595SH CSB-EP890595SH CSB-BP890595SH CSB-MP890595SH CSB-EP890595SH-B |
Recombinant Sheep Estrogen receptor beta (ESR2), partial | Yeast E.coli Baculovirus Mammalian cell In Vivo Biotinylation in E.coli |
ESR2 Proteins for Sus scrofa (Pig)
| 產品貨號 | 產品名稱 | 來源 |
|---|---|---|
| CSB-YP893169PI CSB-EP893169PI CSB-BP893169PI CSB-MP893169PI CSB-EP893169PI-B |
Recombinant Pig Estrogen receptor beta (ESR2), partial | Yeast E.coli Baculovirus Mammalian cell In Vivo Biotinylation in E.coli |
ESR2 Proteins for Sparus aurata (Gilthead sea bream)
| 產品貨號 | 產品名稱 | 來源 |
|---|---|---|
| CSB-YP896202FJX CSB-EP896202FJX CSB-BP896202FJX CSB-MP896202FJX CSB-EP896202FJX-B |
Recombinant Sparus aurata Estrogen receptor beta (esr2), partial | Yeast E.coli Baculovirus Mammalian cell In Vivo Biotinylation in E.coli |
ESR2 Proteins for Bos taurus (Bovine)
| 產品貨號 | 產品名稱 | 來源 |
|---|---|---|
| CSB-YP896422BO CSB-EP896422BO CSB-BP896422BO CSB-MP896422BO CSB-EP896422BO-B |
Recombinant Bovine Estrogen receptor beta (ESR2), partial | Yeast E.coli Baculovirus Mammalian cell In Vivo Biotinylation in E.coli |
ESR2 Proteins for Oreochromis niloticus (Nile tilapia) (Tilapia nilotica)
| 產品貨號 | 產品名稱 | 來源 |
|---|---|---|
| CSB-YP897042OET CSB-EP897042OET CSB-BP897042OET CSB-MP897042OET CSB-EP897042OET-B |
Recombinant Oreochromis niloticus Estrogen receptor beta (esr2), partial | Yeast E.coli Baculovirus Mammalian cell In Vivo Biotinylation in E.coli |






