EPOR
EPOR,即紅細胞生成素受體,別名EPO受體、CD235。它是一種由EPOR基因編碼的細胞表面受體,主要在紅系祖細胞上表達。EPOR的作用機制涉及與其配體紅細胞生成素(EPO)結合,激活JAK2/STAT5、MAPK等信號通路,促進紅細胞的生成和成熟。EPOR的功能異常與某些遺傳性貧血疾病有關,如家族性紅細胞生成不良。此外,EPOR激動劑在臨床上用于治療某些類型的貧血,如慢性腎病相關的貧血。EPOR也是運動生理學和高海拔適應研究中的一個重要分子。
熱銷產品
Recombinant Human Erythropoietin receptor (EPOR), partial (CSB-MP007744HU1)
驗證數據
(Tris-Glycine gel) Discontinuous SDS-PAGE (reduced) with 5% enrichment gel and 15% separation gel.
EPOR Antibody (CSB-PA007744LA01HU)
驗證數據
Western Blot
Positive WB detected in: 293T whole cell lysate, Hela whole cell lysate
All lanes: EPOR antibody at 4.3μg/ml
Secondary
Goat polyclonal to rabbit IgG at 1/50000 dilution
Predicted band size: 56, 27, 36 kDa
Observed band size: 56 kDa
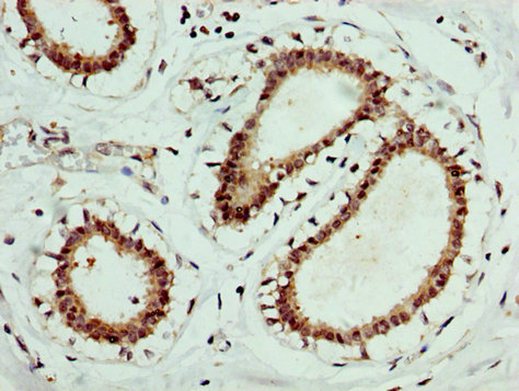
IHC image of CSB-PA007744LA01HU diluted at 1:400 and staining in paraffin-embedded human breast cancer performed on a Leica BondTM system. After dewaxing and hydration, antigen retrieval was mediated by high pressure in a citrate buffer (pH 6.0). Section was blocked with 10% normal goat serum 30min at RT. Then primary antibody (1% BSA) was incubated at 4°C overnight. The primary is detected by a biotinylated secondary antibody and visualized using an HRP conjugated SP system.
Immunofluorescence staining of Hela cells with CSB-PA007744LA01HU at 1:133, counter-stained with DAPI. The cells were fixed in 4% formaldehyde, permeabilized using 0.2% Triton X-100 and blocked in 10% normal Goat Serum. The cells were then incubated with the antibody overnight at 4°C. The secondary antibody was Alexa Fluor 488-congugated AffiniPure Goat Anti-Rabbit IgG(H+L).
EPOR Antibodies
EPOR for Homo sapiens (Human)
| 產品貨號 | 產品名稱 | 種屬反應性 | 應用類型 |
|---|---|---|---|
| CSB-PA598485 | Phospho-EPOR (Tyr368) Antibody | Human,Mouse,Rat | ELISA,WB |
| CSB-PA826447 | EPOR (Ab-426) Antibody | Human,Mouse,Rat | ELISA,WB |
| CSB-PA000757 | Phospho-EPOR (Y426) Antibody | Human,Mouse,Rat | WB, ELISA |
| CSB-PA008072 | Phospho-EPOR (Y368) Antibody | Human,Mouse,Rat | WB, IF, ELISA |
| CSB-PA008073 | EPOR Antibody | Human,Mouse,Rat,Monkey | WB, IF, ELISA |
| CSB-PA008074 | EPOR Antibody | Human,Mouse,Rat | WB, ELISA |
| CSB-PA914047 | EPOR Antibody | Human,Mouse,Rat | ELISA,WB,IHC |
| CSB-PA980670 | EPOR Antibody | Human,Mouse,Rat | ELISA,IHC |
| CSB-PA007744LA01HU | EPOR Antibody | Human | ELISA, WB, IHC, IF |
| CSB-PA007744LB01HU | EPOR Antibody, HRP conjugated | Human | ELISA |
| CSB-PA007744LC01HU | EPOR Antibody, FITC conjugated | Human | |
| CSB-PA007744LD01HU | EPOR Antibody, Biotin conjugated | Human | ELISA |
EPOR Proteins
EPOR Proteins for Mus musculus (Mouse)
| 產品貨號 | 產品名稱 | 來源 |
|---|---|---|
| CSB-YP007744MO1 CSB-EP007744MO1-B |
Recombinant Mouse Erythropoietin receptor (Epor), partial | Yeast In Vivo Biotinylation in E.coli |
| CSB-CF007744MO | Recombinant Mouse Erythropoietin receptor (Epor) | in vitro E.coli expression system |
| CSB-BP007744MO1 | Recombinant Mouse Erythropoietin receptor (Epor), partial | Baculovirus |
| CSB-EP007744MO1 | Recombinant Mouse Erythropoietin receptor (Epor), partial | E.coli |
EPOR Proteins for Homo sapiens (Human)
| 產品貨號 | 產品名稱 | 來源 |
|---|---|---|
| CSB-YP007744HU1 CSB-EP007744HU1 CSB-BP007744HU1 CSB-EP007744HU1-B |
Recombinant Human Erythropoietin receptor (EPOR), partial | Yeast E.coli Baculovirus In Vivo Biotinylation in E.coli |
| CSB-CF007744HU | Recombinant Human Erythropoietin receptor (EPOR) | in vitro E.coli expression system |
| CSB-MP007744HU1 | Recombinant Human Erythropoietin receptor (EPOR), partial | Mammalian cell |
EPOR Proteins for Xenopus laevis (African clawed frog)
| 產品貨號 | 產品名稱 | 來源 |
|---|---|---|
| CSB-YP007744XBE CSB-EP007744XBE CSB-BP007744XBE CSB-MP007744XBE CSB-EP007744XBE-B |
Recombinant Xenopus laevis Erythropoietin receptor (epor), partial | Yeast E.coli Baculovirus Mammalian cell In Vivo Biotinylation in E.coli |
EPOR Proteins for Sus scrofa (Pig)
| 產品貨號 | 產品名稱 | 來源 |
|---|---|---|
| CSB-YP007744PI CSB-EP007744PI CSB-BP007744PI CSB-MP007744PI CSB-EP007744PI-B |
Recombinant Pig Erythropoietin receptor (EPOR), partial | Yeast E.coli Baculovirus Mammalian cell In Vivo Biotinylation in E.coli |
EPOR Proteins for Canis familiaris (Dog) (Canis lupus familiaris)
| 產品貨號 | 產品名稱 | 來源 |
|---|---|---|
| CSB-YP007744DO CSB-BP007744DO CSB-MP007744DO CSB-EP007744DO-B |
Recombinant Dog Erythropoietin receptor (EPOR), partial | Yeast Baculovirus Mammalian cell In Vivo Biotinylation in E.coli |
EPOR Proteins for Canis lupus familiaris (Dog)(Canis familiaris)
| 產品貨號 | 產品名稱 | 來源 |
|---|---|---|
| CSB-EP007744DO | Recombinant Dog Erythropoietin receptor (EPOR), partial | E.coli |
| CSB-EP007744DOg9 | Recombinant Dog Erythropoietin receptor (EPOR), partial | E.coli |
EPOR Proteins for Rattus norvegicus (Rat)
| 產品貨號 | 產品名稱 | 來源 |
|---|---|---|
| CSB-EP007744RA | Recombinant Rat Erythropoietin receptor (Epor), partial | E.coli |
| CSB-EP007744RAa3 | Recombinant Rat Erythropoietin receptor (Epor), partial | E.coli |
| CSB-EP007744RAg9 | Recombinant Rat Erythropoietin receptor (Epor), partial | E.coli |
EPOR ELISA Kit
EPOR ELISA Kit for Homo sapiens (Human)
| 產品貨號 | 產品名稱 | 樣本類型 | 靈敏度 |
|---|---|---|---|
| CSB-E04537h | Human Erythropoietin receptor,EPOR ELISA Kit | serum, plasma, tissue homogenates | 15.625 pg/mL |






