ELN
ELN,全稱為彈性蛋白,是一種維持結締組織彈性的重要蛋白。它由成纖維細胞合成,存在于細胞外基質中,是彈性纖維的主要結構蛋白。ELN蛋白富含甘氨酸、脯氨酸、羥脯氨酸等氨基酸,使其具有極強的疏水性和柔性。ELN蛋白分子由多條多肽鏈以共價鍵廣泛交聯在一起,形成網狀結構,具有隨機卷曲和交聯性能,因此可使許多組織在拉伸或收縮后恢復形態,如血管、肺、彈性腱、軟骨和皮膚。ELN蛋白在人體中發揮著重要的作用,如維持血管彈性、肺功能、皮膚彈性等。然而,ELN蛋白的缺失或突變會導致多種疾病,如主動脈瓣上狹窄、皮膚松弛等。目前,針對ELN蛋白相關疾病的研究和藥物研發正在不斷進行中,有望為相關疾病的治療提供新的方法。
熱銷產品
Recombinant Human Elastin (ELN) (CSB-EP007617HU(A4))
驗證數據
(Tris-Glycine gel) Discontinuous SDS-PAGE (reduced) with 5% enrichment gel and 15% separation gel.
驗證數據
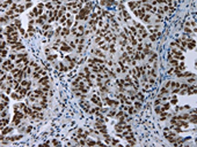
The image on the left is immunohistochemistry of paraffin-embedded Human ovarian cancer tissue using CSB-PA583825(ELN Antibody) at dilution 1/50, on the right is treated with fusion protein. (Original magnification: ×200)
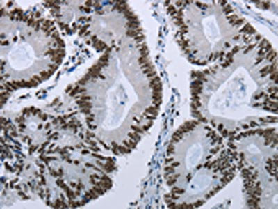
The image on the left is immunohistochemistry of paraffin-embedded Human colon cancer tissue using CSB-PA583825(ELN Antibody) at dilution 1/50, on the right is treated with fusion protein. (Original magnification: ×200)
Gel: 10%SDS-PAGE, Lysate: 40 μg, Lane: Human hepatocellular carcinoma tissue, Primary antibody: CSB-PA583825(ELN Antibody) at dilution 1/500, Secondary antibody: Goat anti rabbit IgG at 1/8000 dilution, Exposure time: 5 minutes
Human Elastin,ELN ELISA Kit (CSB-E09338h)
驗證數據
貨號:CSB-E09338h
規格:96T/48T
靈敏度: 0.78 pg/mL
檢測范圍:3.12 pg/mL-200 pg/mL
These standard curves are provided for demonstration only. A standard curve should be generated for each set of samples assayed.
ELN Antibodies
ELN for Homo sapiens (Human)
| 產品貨號 | 產品名稱 | 種屬反應性 | 應用類型 |
|---|---|---|---|
| CSB-PA583825 | ELN Antibody | Human | ELISA,WB,IHC |
| CSB-PA591479 | ELN Antibody | Human | ELISA, WB |
ELN Proteins
ELN Proteins for Homo sapiens (Human)
| 產品貨號 | 產品名稱 | 來源 |
|---|---|---|
| CSB-YP007617HU CSB-EP007617HU CSB-BP007617HU CSB-MP007617HU CSB-EP007617HU-B |
Recombinant Human Elastin (ELN), partial | Yeast E.coli Baculovirus Mammalian cell In Vivo Biotinylation in E.coli |
| CSB-EP007617HU(A4) | Recombinant Human Elastin (ELN) | E.coli |
ELN ELISA Kit
ELN ELISA Kit for Homo sapiens (Human)
| 產品貨號 | 產品名稱 | 樣本類型 | 靈敏度 |
|---|---|---|---|
| CSB-E09338h | Human Elastin,ELN ELISA Kit | serum, plasma, cell culture supernates, tissue homogenates, cell lysates, urine | 0.78 pg/mL |






