DGAT2
DGAT2,全稱為二酰甘油酰基轉移酶2,是一種參與甘油三酯合成的關鍵酶。它主要存在于脂肪、肝臟和皮膚細胞中,負責催化甘油二酯和酰基輔酶A生成甘油三酯,是甘油三酯合成過程中的限速酶。DGAT2蛋白的表達與胰島素信號傳導密切相關,在高胰島素血癥條件下,DGAT2的表達會增加,從而促進甘油三酯的積累,導致脂肪組織形成和肝臟脂肪變性。
DGAT2蛋白與多種疾病的發生發展密切相關,包括非酒精性脂肪性肝病(NAFLD)、肥胖、高血脂等。NAFLD是一種常見的慢性肝病,其特征是肝臟內脂肪過度積累。研究表明,抑制DGAT2的表達可以有效降低肝臟和血漿中的甘油三酯水平,改善胰島素敏感性和肝臟脂肪變性,從而治療NAFLD。目前,已有多種針對DGAT2的抑制劑被研發出來,用于治療NAFLD、肥胖等疾病。
熱銷產品
DGAT2 Antibody (CSB-PA850407LA01HU)
驗證數據
Western Blot
Positive WB detected in: HepG2 whole cell lysate(30μg), U251 whole cell lysate(30μg), A549 whole cell lysate(30μg), Hela whole cell lysate(30μg), MCF7 whole cell lysate(30μg),K562 whole cell lysate(30μg), Mouse Heart tissue lysate(30μg),Mouse Liver tissue lysate(30μg),Rat Heart tissue lysate(30μg)
All lanes: DGAT2 antibody at 1:1000
Secondary
Goat polyclonal to rabbit IgG at 1/20000 dilution
Predicted band size: 40,44 kDa
Observed band size: 44 kDa
Exposure time: 120s
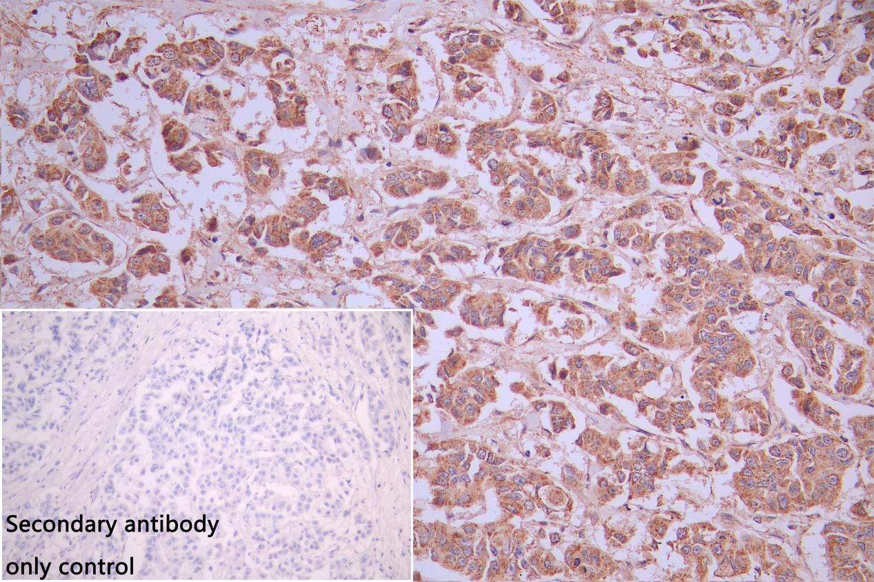
IHC image of CSB-PA850407LA01HU diluted at 1:50 and staining in paraffin-embedded human breast cancer performed on a Leica BondTM system. After dewaxing and hydration, antigen retrieval was mediated by high pressure in a citrate buffer (pH 6.0). Section was blocked with 10% normal goat serum 30min at RT. Then primary antibody (1% BSA) was incubated at 4°C overnight. The primary is detected by a Goat anti-rabbit polymer IgG labeled by HRP and visualized using 0.05% DAB. Secondary antibody only control: uses 1% BSA instead of primary antibody
DGAT2 Antibodies
DGAT2 for Homo sapiens (Human)
| 產品貨號 | 產品名稱 | 種屬反應性 | 應用類型 |
|---|---|---|---|
| CSB-PA850407LA01HU | DGAT2 Antibody | Human,Rat,Mouse | ELISA, WB,IHC |
DGAT2 Proteins
DGAT2 Proteins for Homo sapiens (Human)
| 產品貨號 | 產品名稱 | 來源 |
|---|---|---|
| CSB-YP850407HU1 CSB-EP850407HU1 CSB-BP850407HU1 CSB-MP850407HU1 CSB-EP850407HU1-B |
Recombinant Human Diacylglycerol O-acyltransferase 2 (DGAT2), partial | Yeast E.coli Baculovirus Mammalian cell In Vivo Biotinylation in E.coli |
| CSB-CF850407HU | Recombinant Human Diacylglycerol O-acyltransferase 2 (DGAT2) | in vitro E.coli expression system |






