CYP51A1
CYP51A1,別名CYP51、Lanosterol 14-alpha demethylase、LDM、CYPL,是一種關鍵的膽固醇合成酶,由CYP51A1基因編碼。它在肝臟等組織中表達,負責催化膽固醇生物合成的第一步反應,將羊毛甾醇轉化為膽甾醇。CYP51A1還參與多種外源性化合物的代謝,包括藥物和環境致癌物。在生物學上,CYP51A1對維持膽固醇穩態至關重要,其異常表達與多種疾病包括癌癥有關,是藥物代謝和疾病治療研究中的重要靶點。
熱銷產品
CYP51A1 Antibody (CSB-PA614993LA01HU)
驗證數據
Western Blot
Positive WB detected in: MCF-7 whole cell lysate
All lanes: CYP51A1 antibody at 2.7µg/ml
Secondary
Goat polyclonal to rabbit IgG at 1/50000 dilution
Predicted band size: 57, 47 kDa
Observed band size: 57 kDa
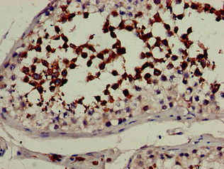
Immunohistochemistry of paraffin-embedded human testis tissue using CSB-PA614993LA01HU at dilution of 1:100
CYP51A1 Antibodies
CYP51A1 for Homo sapiens (Human)
| 產品貨號 | 產品名稱 | 種屬反應性 | 應用類型 |
|---|---|---|---|
| CSB-PA006459GA01HU | CYP51A1 Antibody | Human,Mouse,Rat | ELISA,WB |
| CSB-PA614993LA01HU | CYP51A1 Antibody | Human | ELISA, WB, IHC |
CYP51A1 Proteins
CYP51A1 Proteins for Homo sapiens (Human)
| 產品貨號 | 產品名稱 | 來源 |
|---|---|---|
| CSB-YP614993HU1 CSB-BP614993HU1 CSB-MP614993HU1 CSB-EP614993HU1-B |
Recombinant Human Lanosterol 14-alpha demethylase (CYP51A1), partial | Yeast Baculovirus Mammalian cell In Vivo Biotinylation in E.coli |
| CSB-CF614993HU | Recombinant Human Lanosterol 14-alpha demethylase (CYP51A1) | in vitro E.coli expression system |






