CTCF
CTCF,即CCCTC結合因子,別名11-zinc finger protein、CTCFL paralog。CTCF是一種多功能轉錄因子,含有11個高度保守的鋅指結構域,能夠與DNA結合并發揮功能,如介導募集cohesin、參與X染色體失活、異染色質邊界的形成、V(D)J重組、RNA剪切、凋亡等。CTCF通過識別特定的DNA序列基序結合到染色質上,并作為錨點固定染色質環,是構建染色質三維結構的基礎。CTCF在細胞生長與增殖、系統發生以及腫瘤發生等方面都有著重要的作用。CTCF的缺失會導致多種細胞分化和組織發育缺陷,包括影響記憶和學習能力、心血管發育、血液細胞分化以及肢端發育等。CTCF通過建立細胞譜系特異染色質高級結構調控決定細胞命運基因表達的分子機制,在多種生物學程序中發揮關鍵作用。
熱銷產品
Recombinant Human Transcriptional repressor CTCF (CTCF), partial (CSB-CF006138HU1)
驗證數據
(Tris-Glycine gel) Discontinuous SDS-PAGE (reduced) with 5% enrichment gel and 15% separation gel.
CTCF Antibody (CSB-PA006138DSR2HU)
驗證數據
Western blot
All lanes: Transcriptional repressor CTCF antibody at 6μg/ml
Lane 1: PC-3 whole cell lysate
Lane 2: MCF-7 whole cell lysate
Secondary
Goat polyclonal to rabbit IgG at 1/10000 dilution
Predicted band size: 83, 46 kDa
Observed band size: 83 kDa
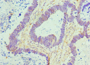
Immunohistochemistry of paraffin-embedded human ovarian cancer using CSB-PA006138DSR2HU at dilution of 1:100
Chromatin Immunoprecipitation Hela (1.2*106) were cross-linked with formaldehyde, sonicated, and immunoprecipitated with 4μg anti-CTCF or a control normal rabbit IgG. The resulting ChIP DNA was quantified using real-time PCR with primers (CSB-PP006138HU) against the H19ICR promoter.
CTCF Antibodies
CTCF for Homo sapiens (Human)
| 產品貨號 | 產品名稱 | 種屬反應性 | 應用類型 |
|---|---|---|---|
| CSB-PA006138GA01HU | CTCF Antibody | Human,Mouse,Rat | ELISA,WB,IHC |
| CSB-PA006138DSR2HU | CTCF Antibody | Human | ELISA, WB, IHC, ChIP |
| CSB-PA006138DSR1HU | CTCF Antibody | Human | ELISA, IHC |
CTCF Proteins
CTCF Proteins for Homo sapiens (Human)
| 產品貨號 | 產品名稱 | 來源 |
|---|---|---|
| CSB-YP006138HU1 CSB-EP006138HU1 CSB-BP006138HU1 CSB-MP006138HU1 CSB-EP006138HU1-B |
Recombinant Human Transcriptional repressor CTCF (CTCF), partial | Yeast E.coli Baculovirus Mammalian cell In Vivo Biotinylation in E.coli |
| CSB-CF006138HU1 | Recombinant Human Transcriptional repressor CTCF (CTCF), partial | in vitro E.coli expression system |
CTCF Proteins for Gallus gallus (Chicken)
| 產品貨號 | 產品名稱 | 來源 |
|---|---|---|
| CSB-YP600891CH CSB-EP600891CH CSB-BP600891CH CSB-MP600891CH CSB-EP600891CH-B |
Recombinant Chicken Transcriptional repressor CTCF (CTCF), partial | Yeast E.coli Baculovirus Mammalian cell In Vivo Biotinylation in E.coli |
CTCF Proteins for Mus musculus (Mouse)
| 產品貨號 | 產品名稱 | 來源 |
|---|---|---|
| CSB-YP726738MO1 CSB-EP726738MO1 CSB-BP726738MO1 CSB-MP726738MO1 CSB-EP726738MO1-B |
Recombinant Mouse Transcriptional repressor CTCF (Ctcf), partial | Yeast E.coli Baculovirus Mammalian cell In Vivo Biotinylation in E.coli |
CTCF Proteins for Rattus norvegicus (Rat)
| 產品貨號 | 產品名稱 | 來源 |
|---|---|---|
| CSB-YP874175RA CSB-EP874175RA CSB-BP874175RA CSB-MP874175RA CSB-EP874175RA-B |
Recombinant Rat Transcriptional repressor CTCF (Ctcf) | Yeast E.coli Baculovirus Mammalian cell In Vivo Biotinylation in E.coli |






