CLEC7A
CLEC7A,也稱為Dectin-1,是一種重要的模式識別受體,主要作用是識別細菌和真菌細胞壁中的特定多糖。它通過招募脾酪氨酸激酶(SYK)并激活CARD結構域-BCL10-MALT1(CBM)信號體,觸發Toll樣受體2(TLR2)介導的炎癥反應。CLEC7A在免疫防御中扮演關鍵角色,特別是在抵抗真菌感染方面。此外,它還與多種疾病相關,如念珠菌病和肺曲霉病。目前,針對CLEC7A的研究正在推動新型抗真菌藥物的開發。
熱銷產品
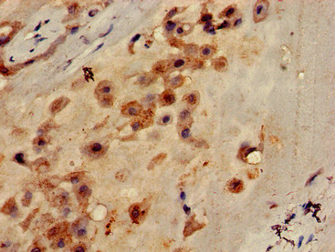
CLEC7A Antibody (CSB-PA883623LA01HU)
驗證數據
Immunohistochemistry of paraffin-embedded human placenta tissue using CSB-PA883623LA01HU at dilution of 1:100
Immunofluorescent analysis of HepG2 cells using CSB-PA883623LA01HU at dilution of 1:100 and Alexa Fluor 488-congugated AffiniPure Goat Anti-Rabbit IgG(H+L)
Human C-type lectin domain family 7 member A(CLEC7A) ELISA kit (CSB-EL005541HU)
驗證數據
貨號:CSB-EL005541HU
規格:96T/48T
靈敏度:7.81 pg/mL
檢測范圍:31.25 pg/mL-2000 pg/mL
These standard curves are provided for demonstration only. A standard curve should be generated for each set of samples assayed.
CLEC7A Antibodies
CLEC7A for Homo sapiens (Human)
| 產品貨號 | 產品名稱 | 種屬反應性 | 應用類型 |
|---|---|---|---|
| CSB-PA126836 | CLEC7A Antibody | Human,Mouse | ELISA,WB,IHC |
| CSB-PA883623LA01HU | CLEC7A Antibody | Human | ELISA, IHC, IF |
CLEC7A Proteins
CLEC7A Proteins for Homo sapiens (Human)
| 產品貨號 | 產品名稱 | 來源 |
|---|---|---|
| CSB-YP883623HU CSB-BP883623HU CSB-MP883623HU CSB-EP883623HU-B |
Recombinant Human C-type lectin domain family 7 member A (CLEC7A), partial | Yeast Baculovirus Mammalian cell In Vivo Biotinylation in E.coli |
CLEC7A ELISA Kit
CLEC7A ELISA Kit for Homo sapiens (Human)
| 產品貨號 | 產品名稱 | 樣本類型 | 靈敏度 |
|---|---|---|---|
| CSB-EL005541HU | Human C-type lectin domain family 7 member A(CLEC7A) ELISA kit | serum, plasma, tissue homogenates | 7.81 pg/mL |






