CHEK1
CHEK1,別名CHK1、OZEMA21,是一種由人類基因編碼的Ser/Thr蛋白激酶家族成員,對響應DNA損傷或未復制DNA存在的檢查點調節細胞周期停滯至關重要。CHEK1可整合來自ATM和ATR兩種參與DNA損傷應答的細胞周期蛋白的信號,這些蛋白在減數分裂前期I中也與染色質相關。CHEK1對CDC25A蛋白磷酸酶的磷酸化是必需的,以使細胞響應雙鏈DNA斷裂而延遲細胞周期進程。CHEK1參與DNA損傷檢查點信號傳導、G2/M轉換的有絲分裂細胞周期以及內細胞團細胞增殖等過程。它在染色質、核和復制叉中發揮作用,并在多種組織中表達,包括腎上腺髓質、早孕、性腺、直覺和來自神經嵴的軀干間充質。CHEK1的異常表達與多種癌癥相關,包括胰腺癌。
熱銷產品
CHEK1 Recombinant Monoclonal Antibody (CSB-RA176809A0HU)
驗證數據
Western Blot
Positive WB detected in: K562 whole cell lysate, 293T whole cell lysate, MCF-7 whole cell lysate, HepG2 whole cell lysate
All lanes: Chk1 antibody at 1:1000
Secondary
Goat polyclonal to rabbit IgG at 1/50000 dilution
Predicted band size: 55, 44, 51 kDa
Observed band size: 55 kDa
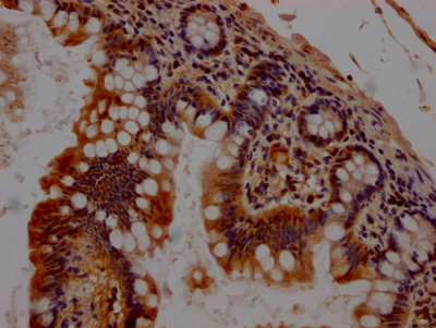
IHC image of CSB-RA176809A0HU diluted at 1:100 and staining in paraffin-embedded human small intestine tissue performed on a Leica BondTM system. After dewaxing and hydration, antigen retrieval was mediated by high pressure in a citrate buffer (pH 6.0). Section was blocked with 10% normal goat serum 30min at RT. Then primary antibody (1% BSA) was incubated at 4℃ overnight. The primary is detected by a Goat anti-rabbit IgG polymer labeled by HRP and visualized using 0.05% DAB.
Immunofluorescence staining of Hela Cells with CSB-RA176809A0HU at 1:50, counter-stained with DAPI. The cells were fixed in 4% formaldehyde, permeated by 0.2% TritonX-100, and blocked in 10% normal Goat Serum. The cells were then incubated with the antibody overnight at 4℃. Nuclear DNA was labeled in blue with DAPI. The secondary antibody was FITC-conjugated AffiniPure Goat Anti-Rabbit IgG (H+L).
CHEK1 Antibodies
CHEK1 for Homo sapiens (Human)
| 產品貨號 | 產品名稱 | 種屬反應性 | 應用類型 |
|---|---|---|---|
| CSB-PA005338GA01HU | CHEK1 Antibody | Human,Mouse,Rat | ELISA,WB |
| CSB-PA114140 | Phospho-CHEK1 (Ser280) Antibody | Human | ELISA,WB |
| CSB-PA245196 | CHEK1 (Ab-317) Antibody | Human,Rat | ELISA,WB,IHC |
| CSB-PA064953 | Phospho-CHEK1 (Ser286) Antibody | Human | ELISA,WB |
| CSB-PA779402 | Phospho-CHEK1 (Ser301) Antibody | Human,Mouse,Rat | ELISA,WB |
| CSB-PA980870 | Phospho-CHEK1 (Ser296) Antibody | Human | ELISA,WB,IHC |
| CSB-PA584688 | CHEK1 (Ab-280) Antibody | Human | ELISA,WB |
| CSB-PA001623 | CHEK1 Antibody | Human | WB, IHC, IF, ELISA |
| CSB-PA001626 | CHEK1 Antibody | Human | WB, IHC, ELISA |
| CSB-PA001629 | CHEK1 Antibody | Human,Mouse,Rat | WB, IHC, ELISA |
| CSB-PA006767 | Phospho-CHEK1 (S280) Antibody | Human | WB, ELISA |
| CSB-PA006768 | Phospho-CHEK1 (S317) Antibody | Human,Mouse,Rat | WB, IHC, ELISA |
| CSB-PA006769 | Phospho-CHEK1 (S345) Antibody | Human,Mouse,Rat | IHC, ELISA |
| CSB-PA006770 | Phospho-CHEK1 (S286) Antibody | Human | WB, IF, ELISA |
| CSB-PA006771 | Phospho-CHEK1 (S301) Antibody | Human,Mouse,Rat | WB, IF, ELISA |
| CSB-PA006772 | Phospho-CHEK1 (S296) Antibody | Human | WB, IHC, ELISA |
| CSB-PA006773 | CHEK1 Antibody | Human | WB, ELISA |
| CSB-PA006774 | CHEK1 Antibody | Human,Mouse,Rat | WB, IF, ELISA |
| CSB-PA006775 | CHEK1 Antibody | Human,Mouse,Rat | WB, IHC, IF, ELISA |
| CSB-PA927149 | CHEK1 Antibody | Human,Mouse,Rat | ELISA,WB |
| CSB-PA005338LA01HU | CHEK1 Antibody | Human | ELISA |
| CSB-PA005338LB01HU | CHEK1 Antibody, HRP conjugated | Human | ELISA |
| CSB-RA176809A0HU | CHEK1 Recombinant Monoclonal Antibody | Human | ELISA, WB, IHC, IF |
CHEK1 Proteins
CHEK1 Proteins for Homo sapiens (Human)
| 產品貨號 | 產品名稱 | 來源 |
|---|---|---|
| CSB-YP005338HU CSB-EP005338HU CSB-BP005338HU CSB-MP005338HU CSB-EP005338HU-B |
Recombinant Human Serine/threonine-protein kinase Chk1 (CHEK1) | Yeast E.coli Baculovirus Mammalian cell In Vivo Biotinylation in E.coli |
CHEK1 Proteins for Mus musculus (Mouse)
| 產品貨號 | 產品名稱 | 來源 |
|---|---|---|
| CSB-YP005338MO CSB-EP005338MO CSB-BP005338MO CSB-MP005338MO CSB-EP005338MO-B |
Recombinant Mouse Serine/threonine-protein kinase Chk1 (Chek1) | Yeast E.coli Baculovirus Mammalian cell In Vivo Biotinylation in E.coli |
CHEK1 Proteins for Xenopus laevis (African clawed frog)
| 產品貨號 | 產品名稱 | 來源 |
|---|---|---|
| CSB-YP738530XBE CSB-EP738530XBE CSB-BP738530XBE CSB-MP738530XBE CSB-EP738530XBE-B |
Recombinant Xenopus laevis Serine/threonine-protein kinase Chk1 (chek1) | Yeast E.coli Baculovirus Mammalian cell In Vivo Biotinylation in E.coli |
CHEK1 Proteins for Gallus gallus (Chicken)
| 產品貨號 | 產品名稱 | 來源 |
|---|---|---|
| CSB-YP806796CH CSB-EP806796CH CSB-BP806796CH CSB-MP806796CH CSB-EP806796CH-B |
Recombinant Chicken Serine/threonine-protein kinase Chk1 (CHEK1) | Yeast E.coli Baculovirus Mammalian cell In Vivo Biotinylation in E.coli |
CHEK1 Proteins for Rattus norvegicus (Rat)
| 產品貨號 | 產品名稱 | 來源 |
|---|---|---|
| CSB-YP846015RA CSB-MP846015RA CSB-EP846015RA-B |
Recombinant Rat Serine/threonine-protein kinase Chk1 (Chek1) | Yeast Mammalian cell In Vivo Biotinylation in E.coli |






