CDK7
CDK7,即細胞周期蛋白依賴性激酶7,別名CAK、CAK1、HCAK、MO15、STK1、CDKN7、p39MO15。CDK7廣泛表達于多種組織中,尤其在睪丸和胎盤中表達較高。作為CDK激活激酶(CAK)復合物的催化亞基,CDK7與細胞周期蛋白H和MAT1形成三聚體復合物,發揮激酶活性。它在細胞周期轉換期間激活CDK1/cyclin-B和CDK2/cyclin,并參與RNA聚合酶II介導的轉錄,通過磷酸化RNA聚合酶II的羧基端結構域(CTD)促進轉錄起始和延伸。CDK7是轉錄調節與細胞周期之間的直接聯系,其異常表達與多種癌癥的發生發展相關,是腫瘤治療中的重要靶點。
熱銷產品
Recombinant Human Cyclin-dependent kinase 7 (CDK7) (CSB-BP005075HU)
驗證數據
(Tris-Glycine gel) Discontinuous SDS-PAGE (reduced) with 5% enrichment gel and 15% separation gel.
CDK7 Antibody (CSB-PA005075LA01HU)
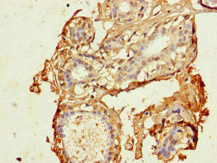
驗證數據
Immunohistochemistry of paraffin-embedded human breast cancer using CSB-PA005075LA01HU at dilution of 1:100
Immunofluorescent analysis of Hela cells using CSB-PA005075LA01HU at dilution of 1:100 and Alexa Fluor 488-congugated AffiniPure Goat Anti-Rabbit IgG(H+L)
CDK7 Antibodies
CDK7 for Homo sapiens (Human)
| 產品貨號 | 產品名稱 | 種屬反應性 | 應用類型 |
|---|---|---|---|
| CSB-PA005075GA01HU | CDK7 Antibody | Human,Mouse,Rat | ELISA |
| CSB-PA010190 | CDK7 Antibody | Human,Mouse | ELISA,WB,IHC |
| CSB-PA001537 | CDK7 Antibody | Human,Mouse | WB, IHC, ELISA |
| CSB-PA006433 | Phospho-CDK7 (T170) Antibody | Human,Mouse | WB, IHC, ELISA |
| CSB-PA006434 | CDK7 Antibody | Human,Mouse | WB, IHC, ELISA |
| CSB-PA440881 | CDK7 Antibody | Human,Mouse,Rat | ELISA,WB,IHC |
| CSB-PA005075LA01HU | CDK7 Antibody | Human | ELISA, IHC, IF |
CDK7 Proteins
CDK7 Proteins for Mus musculus (Mouse)
| 產品貨號 | 產品名稱 | 來源 |
|---|---|---|
| CSB-YP005075MO CSB-EP005075MO CSB-BP005075MO CSB-MP005075MO CSB-EP005075MO-B |
Recombinant Mouse Cyclin-dependent kinase 7 (Cdk7) | Yeast E.coli Baculovirus Mammalian cell In Vivo Biotinylation in E.coli |
CDK7 Proteins for Homo sapiens (Human)
| 產品貨號 | 產品名稱 | 來源 |
|---|---|---|
| CSB-YP005075HU CSB-MP005075HU CSB-EP005075HU-B |
Recombinant Human Cyclin-dependent kinase 7 (CDK7) | Yeast Mammalian cell In Vivo Biotinylation in E.coli |
| CSB-EP005075HU | Recombinant Human Cyclin-dependent kinase 7 (CDK7) | E.coli |
| CSB-BP005075HU | Recombinant Human Cyclin-dependent kinase 7 (CDK7) | Baculovirus |
CDK7 Proteins for Rattus norvegicus (Rat)
| 產品貨號 | 產品名稱 | 來源 |
|---|---|---|
| CSB-YP005075RA CSB-EP005075RA CSB-BP005075RA CSB-MP005075RA CSB-EP005075RA-B |
Recombinant Rat Cyclin-dependent kinase 7 (Cdk7) | Yeast E.coli Baculovirus Mammalian cell In Vivo Biotinylation in E.coli |
CDK7 Proteins for Xenopus laevis (African clawed frog)
| 產品貨號 | 產品名稱 | 來源 |
|---|---|---|
| CSB-YP005075XBE CSB-EP005075XBE CSB-BP005075XBE CSB-MP005075XBE CSB-EP005075XBE-B |
Recombinant Xenopus laevis Cyclin-dependent kinase 7 (cdk7) | Yeast E.coli Baculovirus Mammalian cell In Vivo Biotinylation in E.coli |
CDK7 Proteins for Carassius auratus (Goldfish)
| 產品貨號 | 產品名稱 | 來源 |
|---|---|---|
| CSB-YP005075DQG CSB-EP005075DQG CSB-BP005075DQG CSB-MP005075DQG CSB-EP005075DQG-B |
Recombinant Carassius auratus Cyclin-dependent kinase 7 (cdk7) | Yeast E.coli Baculovirus Mammalian cell In Vivo Biotinylation in E.coli |
CDK7 Proteins for Dictyostelium discoideum (Slime mold)
| 產品貨號 | 產品名稱 | 來源 |
|---|---|---|
| CSB-YP005075DKK CSB-EP005075DKK CSB-BP005075DKK CSB-MP005075DKK CSB-EP005075DKK-B |
Recombinant Dictyostelium discoideum Cyclin-dependent kinase 7 (cdk7) | Yeast E.coli Baculovirus Mammalian cell In Vivo Biotinylation in E.coli |






