CD80
CD80,全稱為Cluster of Differentiation 80,也被稱為B7-1,是一種位于3號染色體的人類基因,屬于免疫球蛋白超家族中的B7蛋白質家族。CD80在樹突狀細胞、活化的B細胞、巨噬細胞以及T細胞上表達,與CD86(B7-2)形成共刺激信號,對T細胞活化起到重要作用。CD80在免疫反應中扮演著關鍵角色,與多種疾病如紅斑性狼瘡有關。近年來,針對CD80的藥物研發取得了顯著進展,如軒竹生物的KM602,作為一種CD80融合蛋白,有望成為治療晚期實體瘤的新選擇。
熱銷產品
Recombinant Human T-lymphocyte activation antigen CD80 (CD80), partial (CSB-MP004959HU1)
驗證數據
(Tris-Glycine gel) Discontinuous SDS-PAGE (reduced) with 5% enrichment gel and 15% separation gel.
CD80 Recombinant Monoclonal Antibody (CSB-RA246383A0HU)
驗證數據
Western Blot
Positive WB detected in: Raji whole cell lysate
All lanes: CD80 antibody at 1:2000
Secondary
Goat polyclonal to rabbit IgG at 1/50000 dilution
Predicted band size: 34, 30, 19 kDa
Observed band size: 60 kDa
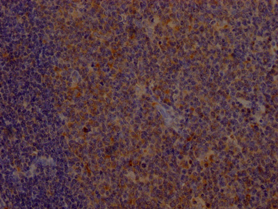
IHC image of CSB-RA246383A0HU diluted at 1:100 and staining in paraffin-embedded human tonsil tissue performed on a Leica BondTM system. After dewaxing and hydration, antigen retrieval was mediated by high pressure in a citrate buffer (pH 6.0). Section was blocked with 10% normal goat serum 30min at RT. Then primary antibody (1% BSA) was incubated at 4℃ overnight. The primary is detected by a Goat anti-rabbit IgG polymer labeled by HRP and visualized using 0.05% DAB.
Immunoprecipitating CD80 in Raji whole cell lysate
Lane 1: Rabbit control IgG instead of CSB-RA246383A0HU in Raji whole cell lysate.
For western blotting,a HRP-conjugated Protein G antibody was used as the secondary antibody (1/2000)
Lane 2: CSB-RA246383A0HU(2μg)+ Raji whole cell lysate(500μg)
Lane 3: Raji whole cell lysate (10μg)
CD80 Antibodies
CD80 for Homo sapiens (Human)
| 產品貨號 | 產品名稱 | 種屬反應性 | 應用類型 |
|---|---|---|---|
| CSB-PA004959GA01HU | CD80 Antibody | Human | ELISA,WB |
| CSB-PA277650 | CD80 Antibody | Human | ELISA,IHC |
| CSB-PA130815 | CD80 Antibody | Human | ELISA,IHC |
| CSB-PA129040 | CD80 Antibody | Human | IHC,ELISA |
| CSB-RA246383A0HU | CD80 Recombinant Monoclonal Antibody | Human | ELISA, WB, IHC, IP |
CD80 Proteins
CD80 Proteins for Mus musculus (Mouse)
| 產品貨號 | 產品名稱 | 來源 |
|---|---|---|
| CSB-YP004959MO1 CSB-EP004959MO1 CSB-BP004959MO1 CSB-MP004959MO1 CSB-EP004959MO1-B |
Recombinant Mouse T-lymphocyte activation antigen CD80 (Cd80), partial | Yeast E.coli Baculovirus Mammalian cell In Vivo Biotinylation in E.coli |
| CSB-CF004959MO | Recombinant Mouse T-lymphocyte activation antigen CD80 (Cd80) | in vitro E.coli expression system |
CD80 Proteins for Oryctolagus cuniculus (Rabbit)
| 產品貨號 | 產品名稱 | 來源 |
|---|---|---|
| CSB-YP004959RB1 CSB-EP004959RB1 CSB-BP004959RB1 CSB-MP004959RB1 CSB-EP004959RB1-B |
Recombinant Rabbit T-lymphocyte activation antigen CD80 (CD80), partial | Yeast E.coli Baculovirus Mammalian cell In Vivo Biotinylation in E.coli |
| CSB-CF004959RB | Recombinant Rabbit T-lymphocyte activation antigen CD80 (CD80) | in vitro E.coli expression system |
CD80 Proteins for Homo sapiens (Human)
| 產品貨號 | 產品名稱 | 來源 |
|---|---|---|
| CSB-YP004959HU1 CSB-EP004959HU1 CSB-BP004959HU1 CSB-EP004959HU1-B |
Recombinant Human T-lymphocyte activation antigen CD80 (CD80), partial | Yeast E.coli Baculovirus In Vivo Biotinylation in E.coli |
| CSB-CF004959HU | Recombinant Human T-lymphocyte activation antigen CD80 (CD80) | in vitro E.coli expression system |
| CSB-MP004959HU1 | Recombinant Human T-lymphocyte activation antigen CD80 (CD80), partial | Mammalian cell |
| CSB-CF1054HU | Recombinant Human T-lymphocyte activation antigen CD80 (CD80) | in vitro E.coli expression system |
| CSB-MP1054HU | Recombinant Human T-lymphocyte activation antigen CD80 (CD80)-VLPs | Mammalian cell |
CD80 ELISA Kit
CD80 ELISA Kit for Homo sapiens (Human)
| 產品貨號 | 產品名稱 | 樣本類型 | 靈敏度 |
|---|---|---|---|
| CSB-E15768h | Human Soluble Cluster of Differentiation 80 (sCD80) ELISA Kit | serum, plasma, cell culture supernates | 31.25 pg/mL |
CD80 ELISA Kit for Mus musculus (Mouse)
| 產品貨號 | 產品名稱 | 樣本類型 | 靈敏度 |
|---|---|---|---|
| CSB-EL004959MO | Mouse T-lymphocyte activation antigen CD80(CD80) ELISA kit | serum, plasma, tissue homogenates | 3.9 pg/mL |






