CCL19
CCL19,即C-C基序趨化因子配體19,別名ELC、CKb11、MIP3B、MIP-3b、SCYA19。CCL19是一種分泌型蛋白,屬于CC亞家族的趨化因子,通過與趨化因子受體CCR7特異性結合發揮作用。CCL19在胸腺和淋巴結中高表達,在氣管和結腸中中等表達,在胃、小腸、肺、腎和脾中低表達。CCL19在正常淋巴細胞再循環和歸巢中發揮作用,對T細胞在胸腺中的運輸以及T細胞和B細胞向次級淋巴器官的遷移具有重要作用。CCL19還參與免疫調節和炎癥過程,影響免疫細胞釋放抗病毒相關細胞因子,促進T細胞增殖和樹突狀細胞對抗原的攝取。
熱銷產品
Recombinant Human C-C motif chemokine 19 (CCL19) (CSB-EP859522HU)
驗證數據
(Tris-Glycine gel) Discontinuous SDS-PAGE (reduced) with 5% enrichment gel and 15% separation gel.
CCL19 Recombinant Monoclonal Antibody (CSB-RA859522A0HU)
驗證數據
IHC image of CSB-RA859522A0HU diluted at 1:155 and staining in paraffin-embedded human tonsil tissue performed on a Leica BondTM system. After dewaxing and hydration, antigen retrieval was mediated by high pressure in a citrate buffer (pH 6.0). Section was blocked with 10% normal goat serum 30min at RT. Then primary antibody (1% BSA) was incubated at 4℃ overnight. The primary is detected by a biotinylated secondary antibody and visualized using an HRP conjugated SP system.
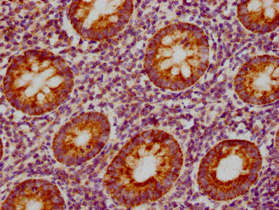
IHC image of CSB-RA859522A0HU diluted at 1:155 and staining in paraffin-embedded human appendix tissue performed on a Leica BondTM system. After dewaxing and hydration, antigen retrieval was mediated by high pressure in a citrate buffer (pH 6.0). Section was blocked with 10% normal goat serum 30min at RT. Then primary antibody (1% BSA) was incubated at 4℃ overnight. The primary is detected by a biotinylated secondary antibody and visualized using an HRP conjugated SP system.
CCL19 Antibodies
CCL19 for Homo sapiens (Human)
| 產品貨號 | 產品名稱 | 種屬反應性 | 應用類型 |
|---|---|---|---|
| CSB-PA004782GA01HU | CCL19 Antibody | Human | ELISA,WB,IHC |
| CSB-PA040301 | CCL19 Antibody | Human | IHC, ELISA |
| CSB-RA859522A0HU | CCL19 Recombinant Monoclonal Antibody | Human | ELISA, IHC |
CCL19 Proteins
CCL19 Proteins for Mus musculus (Mouse)
| 產品貨號 | 產品名稱 | 來源 |
|---|---|---|
| CSB-YP004782MO CSB-EP004782MO CSB-BP004782MO CSB-MP004782MO CSB-EP004782MO-B |
Recombinant Mouse C-C motif chemokine 19 (Ccl19) | Yeast E.coli Baculovirus Mammalian cell In Vivo Biotinylation in E.coli |
| CSB-AP001321MO | Recombinant Mouse C-C motif chemokine 19 protein (Ccl19) | E.Coli |
CCL19 Proteins for Homo sapiens (Human)
| 產品貨號 | 產品名稱 | 來源 |
|---|---|---|
| CSB-YP859522HU CSB-BP859522HU CSB-MP859522HU CSB-EP859522HU-B |
Recombinant Human C-C motif chemokine 19 (CCL19) | Yeast Baculovirus Mammalian cell In Vivo Biotinylation in E.coli |
| CSB-EP859522HU | Recombinant Human C-C motif chemokine 19 (CCL19) | E.coli |
CCL19 ELISA Kit
CCL19 ELISA Kit for Mus musculus (Mouse)
| 產品貨號 | 產品名稱 | 樣本類型 | 靈敏度 |
|---|---|---|---|
| CSB-E04671m | Mouse macrophage inflammatory protein 3β,MIP-3β ELISA kit | serum, plasma, tissue homogenates | 9.75 pg/ml |
CCL19 ELISA Kit for Homo sapiens (Human)
| 產品貨號 | 產品名稱 | 樣本類型 | 靈敏度 |
|---|---|---|---|
| CSB-E04670h | Human Macrophage Inflammatory Protein-3β,MIP-3β ELISA kit | serum, plasma, tissue homogenates | 9.75 pg/ml |






