C3AR1
C3AR1,全稱補體C3a受體1,是一種G蛋白偶聯受體,屬于補體系統的一部分。它主要表達于免疫細胞,如肥大細胞、中性粒細胞和巨噬細胞,在炎癥反應和免疫應答中發揮重要作用。C3AR1通過與補體系統激活過程中釋放的過敏毒素C3a結合,激活下游信號通路,介導趨化性、顆粒酶釋放和細胞活化等過程。研究表明,C3AR1信號通路的失調與多種炎癥性疾病相關,如敗血癥、哮喘和急性呼吸窘迫綜合征等。此外,C3AR1還與腫瘤發生發展相關,可能成為腫瘤免疫治療的潛在靶點。目前,針對C3AR1研發的藥物主要包括中和抗體和激動劑,旨在調節C3a-C3AR1相互作用,從而抑制炎癥反應或增強免疫應答。
熱銷產品
C3AR1 Antibody (CSB-PA620968ESR1HU)
驗證數據
Immunohistochemistry of paraffin-embedded human small intestine tissue using CSB-PA620968ESR1HU at dilution of 1:100
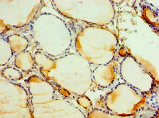
Immunohistochemistry of paraffin-embedded human thyroid tissue using CSB-PA620968ESR1HU at dilution of 1:100
C3AR1 Antibodies
C3AR1 for Homo sapiens (Human)
| 產品貨號 | 產品名稱 | 種屬反應性 | 應用類型 |
|---|---|---|---|
| CSB-PA620968ESR1HU | C3AR1 Antibody | Human | ELISA, IHC |
| CSB-PA060008 | C3AR1 Antibody | Human | IHC, IF, ELISA |
| CSB-PA251074 | C3AR1 Antibody | Human,Mouse | ELISA,WB,IHC |
| CSB-PA210441 | C3AR1 Antibody | Human | ELISA,IHC |
C3AR1 Proteins
C3AR1 Proteins for Mus musculus (Mouse)
| 產品貨號 | 產品名稱 | 來源 |
|---|---|---|
| CSB-YP003889MO1 CSB-EP003889MO1 CSB-BP003889MO1 CSB-MP003889MO1 CSB-EP003889MO1-B |
Recombinant Mouse C3a anaphylatoxin chemotactic receptor (C3ar1), partial | Yeast E.coli Baculovirus Mammalian cell In Vivo Biotinylation in E.coli |
| CSB-CF003889MO | Recombinant Mouse C3a anaphylatoxin chemotactic receptor (C3ar1) | in vitro E.coli expression system |
C3AR1 Proteins for Cavia porcellus (Guinea pig)
| 產品貨號 | 產品名稱 | 來源 |
|---|---|---|
| CSB-YP003889GU1 CSB-EP003889GU1 CSB-BP003889GU1 CSB-MP003889GU1 CSB-EP003889GU1-B |
Recombinant Guinea pig C3a anaphylatoxin chemotactic receptor (C3AR1), partial | Yeast E.coli Baculovirus Mammalian cell In Vivo Biotinylation in E.coli |
| CSB-CF003889GU | Recombinant Guinea pig C3a anaphylatoxin chemotactic receptor (C3AR1) | in vitro E.coli expression system |
C3AR1 Proteins for Rattus norvegicus (Rat)
| 產品貨號 | 產品名稱 | 來源 |
|---|---|---|
| CSB-YP003889RA1 CSB-EP003889RA1 CSB-BP003889RA1 CSB-MP003889RA1 CSB-EP003889RA1-B |
Recombinant Rat C3a anaphylatoxin chemotactic receptor (C3ar1), partial | Yeast E.coli Baculovirus Mammalian cell In Vivo Biotinylation in E.coli |
| CSB-CF003889RA | Recombinant Rat C3a anaphylatoxin chemotactic receptor (C3ar1) | in vitro E.coli expression system |
C3AR1 Proteins for Danio rerio (Zebrafish) (Brachydanio rerio)
| 產品貨號 | 產品名稱 | 來源 |
|---|---|---|
| CSB-YP003889DIL1 CSB-EP003889DIL1 CSB-BP003889DIL1 CSB-MP003889DIL1 CSB-EP003889DIL1-B |
Recombinant Danio rerio C3a anaphylatoxin chemotactic receptor (c3ar1), partial | Yeast E.coli Baculovirus Mammalian cell In Vivo Biotinylation in E.coli |
| CSB-CF003889DIL | Recombinant Danio rerio C3a anaphylatoxin chemotactic receptor (c3ar1) | in vitro E.coli expression system |
C3AR1 Proteins for Homo sapiens (Human)
| 產品貨號 | 產品名稱 | 來源 |
|---|---|---|
| CSB-YP620968HU1 CSB-EP620968HU1 CSB-BP620968HU1 CSB-MP620968HU1 CSB-EP620968HU1-B |
Recombinant Human C3a anaphylatoxin chemotactic receptor (C3AR1), partial | Yeast E.coli Baculovirus Mammalian cell In Vivo Biotinylation in E.coli |
| CSB-CF620968HU | Recombinant Human C3a anaphylatoxin chemotactic receptor (C3AR1) | in vitro E.coli expression system |
C3AR1 Proteins for Oncorhynchus mykiss (Rainbow trout) (Salmo gairdneri)
| 產品貨號 | 產品名稱 | 來源 |
|---|---|---|
| CSB-YP650496OEI1 CSB-EP650496OEI1 CSB-BP650496OEI1 CSB-MP650496OEI1 CSB-EP650496OEI1-B |
Recombinant Oncorhynchus mykiss C3a anaphylatoxin chemotactic receptor (c3ar1), partial | Yeast E.coli Baculovirus Mammalian cell In Vivo Biotinylation in E.coli |
| CSB-CF650496OEI | Recombinant Oncorhynchus mykiss C3a anaphylatoxin chemotactic receptor (c3ar1) | in vitro E.coli expression system |
C3AR1 Proteins for Pongo abelii (Sumatran orangutan)
| 產品貨號 | 產品名稱 | 來源 |
|---|---|---|
| CSB-YP725448PYX1 CSB-EP725448PYX1 CSB-BP725448PYX1 CSB-MP725448PYX1 CSB-EP725448PYX1-B |
Recombinant Pongo abelii C3a anaphylatoxin chemotactic receptor (C3AR1), partial | Yeast E.coli Baculovirus Mammalian cell In Vivo Biotinylation in E.coli |
| CSB-CF725448PYX | Recombinant Pongo abelii C3a anaphylatoxin chemotactic receptor (C3AR1) | in vitro E.coli expression system |
C3AR1 Proteins for Macaca fascicularis (Crab-eating macaque) (Cynomolgus monkey)
| 產品貨號 | 產品名稱 | 來源 |
|---|---|---|
| CSB-YP764894MOV1 CSB-EP764894MOV1 CSB-BP764894MOV1 CSB-MP764894MOV1 CSB-EP764894MOV1-B |
Recombinant Macaca fascicularis C3a anaphylatoxin chemotactic receptor (C3AR1), partial | Yeast E.coli Baculovirus Mammalian cell In Vivo Biotinylation in E.coli |
| CSB-CF764894MOV | Recombinant Macaca fascicularis C3a anaphylatoxin chemotactic receptor (C3AR1) | in vitro E.coli expression system |






