C3
C3,即補體成分3,別名C3、C3adesArg、C3bc。C3是人體血漿中的主要補體成分之一,由肝臟細胞產生,是補體系統中心的蛋白質。C3的作用機制包括作為補體級聯反應的中心環節,它可以被多種途徑激活,包括經典途徑、替代途徑和凝集素途徑。C3的激活導致其裂解為C3a和C3b兩個片段,其中C3b是效應片段,能夠結合到病原體表面,促進吞噬作用,而C3a則是一個強效的過敏毒素。C3是補體系統的關鍵組成部分,參與了機體的免疫防御機制。C3的激活可以促進病原體的清除,增強吞噬細胞對病原體的識別和吞噬,同時C3b片段還可以參與形成膜攻擊復合物(MAC),導致病原體細胞的溶解。此外,C3還參與調節炎癥反應,影響細胞黏附和細胞間相互作用。C3的異常調節與多種疾病有關,包括自身免疫性疾病、腎臟疾病和某些感染性疾病,因此,C3是免疫學研究和相關疾病治療中的一個潛在靶點。
熱銷產品
Recombinant Human Complement C3 (C3), partial (CSB-EP355590HU)
驗證數據
(Tris-Glycine gel) Discontinuous SDS-PAGE (reduced) with 5% enrichment gel and 15% separation gel.
Based on the SEQUEST from database of E.coli host and target protein, the LC-MS/MS Analysis result of CSB-RP105994h could indicate that this peptide derived from E.coli-expressed Homo sapiens (Human) C3.
Based on the SEQUEST from database of E.coli host and target protein, the LC-MS/MS Analysis result of CSB-RP105994h could indicate that this peptide derived from E.coli-expressed Homo sapiens (Human) C3.
C3 Recombinant Monoclonal Antibody (CSB-RA303909A0HU)
驗證數據
Western Blot
Positive WB detected in: THP-1 whole cell lysate, K562 whole cell lysate
All lanes: C3 antibody at 1:1000
Secondary
Goat polyclonal to rabbit IgG at 1/50000 dilution
Predicted band size: 188 kDa
Observed band size: 115 kDa
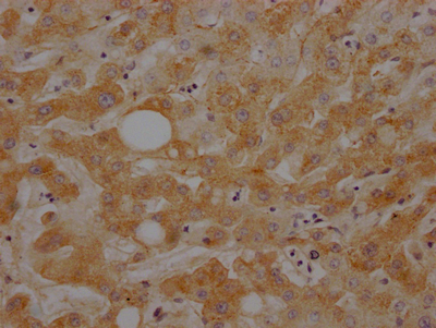
IHC image of CSB-RA303909A0HU diluted at 1:100 and staining in paraffin-embedded human liver tissue performed on a Leica BondTM system. After dewaxing and hydration, antigen retrieval was mediated by high pressure in a citrate buffer (pH 6.0). Section was blocked with 10% normal goat serum 30min at RT. Then primary antibody (1% BSA) was incubated at 4℃ overnight. The primary is detected by a Goat anti-rabbit IgG polymer labeled by HRP and visualized using 0.05% DAB.
Overlay histogram showing HepG2 cells stained with CSB-RA303909A0HU (red line) at 1:50. The cells were fixed with 70% Ethylalcohol (18h) and then incubated in 10% normal goat serum to block non-specific protein-protein interactions followedby the antibody (1μg/1*106 cells) for 1 h at 4℃.The secondary antibody used was FITC-conjugated goat anti-rabbit IgG (H+L) at 1/200 dilution for 30min at 4℃. Control antibody (green line) was Rabbit IgG (1μg/1*106 cells) used under the same conditions. Acquisition of >10,000 events was performed.
C3 Antibodies
C3 for Homo sapiens (Human)
| 產品貨號 | 產品名稱 | 種屬反應性 | 應用類型 |
|---|---|---|---|
| CSB-PA10599D0Rb | C3 Antibody, Biotin conjugated | Human | ELISA |
| CSB-PA10599B0Rb | C3 Antibody, HRP conjugated | Human | ELISA |
| CSB-PA10599A0Rb | C3 Antibody | Human | ELISA, IHC, IF |
| CSB-PA10599C0Rb | C3 Antibody, FITC conjugated | Human | |
| CSB-RA303909A0HU | C3 Recombinant Monoclonal Antibody | Human | ELISA, WB, IHC, FC |
| CSB-RA699863A0HU | C3 Recombinant Monoclonal Antibody | Human | ELISA, IHC |
C3 for Mus musculus (Mouse)
| 產品貨號 | 產品名稱 | 種屬反應性 | 應用類型 |
|---|---|---|---|
| CSB-PA365507LA01MO | C3 Antibody | Mouse, Human | ELISA, WB |
| CSB-PA365507LB01MO | C3 Antibody, HRP conjugated | Mouse | ELISA |
| CSB-PA365507LC01MO | C3 Antibody, FITC conjugated | Mouse | |
| CSB-PA365507LD01MO | C3 Antibody, Biotin conjugated | Mouse | ELISA |
C3 for Rattus norvegicus (Rat)
| 產品貨號 | 產品名稱 | 種屬反應性 | 應用類型 |
|---|---|---|---|
| CSB-PA360475HA01RA | C3 Antibody | Rat | ELISA |
| CSB-PA360475HB01RA | C3 Antibody, HRP conjugated | Rat | ELISA |
| CSB-PA360475HC01RA | C3 Antibody, FITC conjugated | Rat |
C3 Proteins
C3 Proteins for Oryctolagus cuniculus (Rabbit)
| 產品貨號 | 產品名稱 | 來源 |
|---|---|---|
| CSB-YP003888RB CSB-EP003888RB CSB-BP003888RB CSB-MP003888RB CSB-EP003888RB-B |
Recombinant Rabbit Complement C3 alpha chain (C3), partial | Yeast E.coli Baculovirus Mammalian cell In Vivo Biotinylation in E.coli |
C3 Proteins for Sus scrofa (Pig)
| 產品貨號 | 產品名稱 | 來源 |
|---|---|---|
| CSB-BP003888PI CSB-MP003888PI CSB-EP003888PI-B |
Recombinant Pig Complement C3a anaphylatoxin (C3), partial | Baculovirus Mammalian cell In Vivo Biotinylation in E.coli |
C3 Proteins for Eptatretus burgeri (Inshore hagfish)
| 產品貨號 | 產品名稱 | 來源 |
|---|---|---|
| CSB-YP310251EFF CSB-EP310251EFF CSB-BP310251EFF CSB-MP310251EFF CSB-EP310251EFF-B |
Recombinant Eptatretus burgeri Complement C3 (C3), partial | Yeast E.coli Baculovirus Mammalian cell In Vivo Biotinylation in E.coli |
C3 Proteins for Oncorhynchus mykiss (Rainbow trout) (Salmo gairdneri)
| 產品貨號 | 產品名稱 | 來源 |
|---|---|---|
| CSB-YP311048OEI CSB-EP311048OEI CSB-BP311048OEI CSB-MP311048OEI CSB-EP311048OEI-B |
Recombinant Oncorhynchus mykiss Complement C3 (c3), partial | Yeast E.coli Baculovirus Mammalian cell In Vivo Biotinylation in E.coli |
C3 Proteins for Cavia porcellus (Guinea pig)
| 產品貨號 | 產品名稱 | 來源 |
|---|---|---|
| CSB-YP319396GU CSB-EP319396GU CSB-BP319396GU CSB-MP319396GU CSB-EP319396GU-B |
Recombinant Guinea pig Complement C3 (C3), partial | Yeast E.coli Baculovirus Mammalian cell In Vivo Biotinylation in E.coli |
C3 Proteins for Enterobacteria phage P22 (Bacteriophage P22)
| 產品貨號 | 產品名稱 | 來源 |
|---|---|---|
| CSB-YP319647EDG CSB-EP319647EDG CSB-BP319647EDG CSB-MP319647EDG CSB-EP319647EDG-B |
Recombinant Enterobacteria phage P22 Regulatory protein C3 (C3) | Yeast E.coli Baculovirus Mammalian cell In Vivo Biotinylation in E.coli |
C3 Proteins for Clostridium botulinum D phage (Clostridium botulinum D bacteriophage)
| 產品貨號 | 產品名稱 | 來源 |
|---|---|---|
| CSB-YP323391CLR CSB-EP323391CLR CSB-BP323391CLR CSB-MP323391CLR CSB-EP323391CLR-B |
Recombinant Clostridium botulinum D phage Mono-ADP-ribosyltransferase C3 (C3) | Yeast E.coli Baculovirus Mammalian cell In Vivo Biotinylation in E.coli |
C3 Proteins for Beet curly top virus (strain California/Logan) (BCTV)
| 產品貨號 | 產品名稱 | 來源 |
|---|---|---|
| CSB-YP324435BFX CSB-EP324435BFX CSB-BP324435BFX CSB-MP324435BFX CSB-EP324435BFX-B |
Recombinant Beet curly top virus Replication enhancer (C3, L3) | Yeast E.coli Baculovirus Mammalian cell In Vivo Biotinylation in E.coli |
C3 Proteins for Tomato yellow leaf curl virus (strain Israel) (TYLCV)
| 產品貨號 | 產品名稱 | 來源 |
|---|---|---|
| CSB-YP326697TGU CSB-EP326697TGU CSB-BP326697TGU CSB-MP326697TGU CSB-EP326697TGU-B |
Recombinant Tomato yellow leaf curl virus Replication enhancer protein (C3, L3) | Yeast E.coli Baculovirus Mammalian cell In Vivo Biotinylation in E.coli |
C3 Proteins for Xenopus laevis (African clawed frog)
| 產品貨號 | 產品名稱 | 來源 |
|---|---|---|
| CSB-YP329415XBE CSB-EP329415XBE CSB-BP329415XBE CSB-MP329415XBE CSB-EP329415XBE-B |
Recombinant Xenopus laevis Complement C3 (c3) | Yeast E.coli Baculovirus Mammalian cell In Vivo Biotinylation in E.coli |
C3 Proteins for Tomato leaf curl virus (strain Australia) (ToLCV)
| 產品貨號 | 產品名稱 | 來源 |
|---|---|---|
| CSB-YP334110TGF CSB-EP334110TGF CSB-BP334110TGF CSB-MP334110TGF CSB-EP334110TGF-B |
Recombinant Tomato leaf curl virus Replication enhancer protein (C3, L3) | Yeast E.coli Baculovirus Mammalian cell In Vivo Biotinylation in E.coli |
C3 Proteins for Tomato yellow leaf curl Sardinia virus (TYLCSV)
| 產品貨號 | 產品名稱 | 來源 |
|---|---|---|
| CSB-YP338820TGT CSB-EP338820TGT CSB-BP338820TGT CSB-MP338820TGT CSB-EP338820TGT-B |
Recombinant Tomato yellow leaf curl Sardinia virus Replication enhancer protein (C3, L3) | Yeast E.coli Baculovirus Mammalian cell In Vivo Biotinylation in E.coli |
C3 Proteins for Tomato yellow leaf curl Sardinia virus (isolate Spain-1) (TYLCSV)
| 產品貨號 | 產品名稱 | 來源 |
|---|---|---|
| CSB-YP339986TGS CSB-EP339986TGS CSB-BP339986TGS CSB-MP339986TGS CSB-EP339986TGS-B |
Recombinant Tomato yellow leaf curl Sardinia virus Replication enhancer protein (C3, L3) | Yeast E.coli Baculovirus Mammalian cell In Vivo Biotinylation in E.coli |
C3 Proteins for Homo sapiens (Human)
| 產品貨號 | 產品名稱 | 來源 |
|---|---|---|
| CSB-YP355590HU CSB-EP355590HU CSB-BP355590HU CSB-MP355590HU CSB-EP355590HU-B |
Recombinant Human Complement C3 (C3), partial | Yeast E.coli Baculovirus Mammalian cell In Vivo Biotinylation in E.coli |
| CSB-EP355590HU | Recombinant Human Complement C3 (C3), partial | E.coli |
C3 Proteins for Caiman crocodilus (Spectacled caiman) (Caiman sclerops)
| 產品貨號 | 產品名稱 | 來源 |
|---|---|---|
| CSB-YP355757CAF CSB-EP355757CAF CSB-BP355757CAF CSB-MP355757CAF CSB-EP355757CAF-B |
Recombinant Caiman crocodilus Ig heavy chain V region C3 (C3) | Yeast E.coli Baculovirus Mammalian cell In Vivo Biotinylation in E.coli |
C3 Proteins for Rattus norvegicus (Rat)
| 產品貨號 | 產品名稱 | 來源 |
|---|---|---|
| CSB-YP360475RA | Recombinant Rat Complement C3 (C3), partial | Yeast |
| CSB-EP360475RA CSB-BP360475RA CSB-MP360475RA CSB-EP360475RA-B |
Recombinant Rat Complement C3 (C3), partial | E.coli Baculovirus Mammalian cell In Vivo Biotinylation in E.coli |
C3 Proteins for Bos taurus (Bovine)
| 產品貨號 | 產品名稱 | 來源 |
|---|---|---|
| CSB-YP647263BO CSB-BP647263BO CSB-MP647263BO CSB-EP647263BO-B |
Recombinant Bovine Complement C3 (C3), partial | Yeast Baculovirus Mammalian cell In Vivo Biotinylation in E.coli |
| CSB-EP647263BO | Recombinant Bovine Complement C3 (C3), partial | E.coli |
C3 Proteins for Clostridium limosum
| 產品貨號 | 產品名稱 | 來源 |
|---|---|---|
| CSB-YP673832CEAI CSB-EP673832CEAI CSB-BP673832CEAI CSB-MP673832CEAI CSB-EP673832CEAI-B |
Recombinant Mono-ADP-ribosyltransferase C3 (c3) | Yeast E.coli Baculovirus Mammalian cell In Vivo Biotinylation in E.coli |
C3 Proteins for Microplitis demolitor bracovirus (isolate Webb) (MdBV)
| 產品貨號 | 產品名稱 | 來源 |
|---|---|---|
| CSB-YP702426MDAK CSB-EP702426MDAK CSB-BP702426MDAK CSB-MP702426MDAK CSB-EP702426MDAK-B |
Recombinant Microplitis demolitor bracovirus Uncharacterized protein C3 (C3) | Yeast E.coli Baculovirus Mammalian cell In Vivo Biotinylation in E.coli |
C3 Proteins for Tomato yellow leaf curl Sardinia virus (isolate Spain-2) (TYLCSV)
| 產品貨號 | 產品名稱 | 來源 |
|---|---|---|
| CSB-YP731478TBAX CSB-EP731478TBAX CSB-BP731478TBAX CSB-MP731478TBAX CSB-EP731478TBAX-B |
Recombinant Tomato yellow leaf curl Sardinia virus Replication enhancer protein (C3, L3) | Yeast E.coli Baculovirus Mammalian cell In Vivo Biotinylation in E.coli |
C3 Proteins for Tomato pseudo-curly top virus (TPCTV)
| 產品貨號 | 產品名稱 | 來源 |
|---|---|---|
| CSB-YP801533TDAC CSB-EP801533TDAC CSB-BP801533TDAC CSB-MP801533TDAC CSB-EP801533TDAC-B |
Recombinant Tomato pseudo-curly top virus Replication enhancer protein (C3, L3) | Yeast E.coli Baculovirus Mammalian cell In Vivo Biotinylation in E.coli |
C3 Proteins for Tomato yellow leaf curl China virus (TYLCCNV)
| 產品貨號 | 產品名稱 | 來源 |
|---|---|---|
| CSB-YP887626TGAQ CSB-EP887626TGAQ CSB-BP887626TGAQ CSB-MP887626TGAQ CSB-EP887626TGAQ-B |
Recombinant Tomato yellow leaf curl China virus Replication enhancer protein (C3, L3) | Yeast E.coli Baculovirus Mammalian cell In Vivo Biotinylation in E.coli |
C3 Proteins for Mus musculus (Mouse)
| 產品貨號 | 產品名稱 | 來源 |
|---|---|---|
| CSB-YP365507MO CSB-BP365507MO CSB-MP365507MO CSB-EP365507MO-B |
Recombinant Mouse Complement C3 (C3), partial | Yeast Baculovirus Mammalian cell In Vivo Biotinylation in E.coli |
| CSB-EP365507MO | Recombinant Mouse Complement C3 (C3), partial | E.coli |
C3 ELISA Kit
C3 ELISA Kit for Homo sapiens (Human)
| 產品貨號 | 產品名稱 | 樣本類型 | 靈敏度 |
|---|---|---|---|
| CSB-E08665h | Human Complement 3,C3 ELISA Kit | serum, plasma, cell culture supernates, urine, saliva | 4.031 ng/mL |
C3 ELISA Kit for Monkey
| 產品貨號 | 產品名稱 | 樣本類型 | 靈敏度 |
|---|---|---|---|
| CSB-E16528Mk | Monkey Complement 3(C3)ELISA Kit | serum, plasma, cell culture supernates | 1.17 ng/mL |
C3 ELISA Kit for Mus musculus (Mouse)
| 產品貨號 | 產品名稱 | 樣本類型 | 靈敏度 |
|---|---|---|---|
| CSB-E08667m | Mouse Complement 3,C3 ELISA Kit | serum, plasma, tissue homogenates | 23.44 ng/mL |
C3 ELISA Kit for Rattus norvegicus (Rat)
| 產品貨號 | 產品名稱 | 樣本類型 | 靈敏度 |
|---|---|---|---|
| CSB-E08666r | Rat Complement 3,C3 ELISA Kit | serum, plasma, tissue homogenates | 0.156 μg/mL |
C3 ELISA Kit for Sus scrofa (Pig)
| 產品貨號 | 產品名稱 | 樣本類型 | 靈敏度 |
|---|---|---|---|
| CSB-E06920p | Pig Complement 3,C3 ELISA Kit | serum, plasma, tissue homogenates | 0.625 μg/mL |






