BTN2A2
Butyrophilin亞科成員2A2(BTN2A2)是一種調控免疫穩態的關鍵蛋白,也被稱為CD277或嗜乳脂蛋白樣分子。它與γδ T細胞表面受體相互作用,通過調節這類特殊免疫細胞的活化閾值,維持機體對病原體和異常細胞的有效防御。BTN2A2在腫瘤微環境中呈現異常表達模式,其表達水平變化可能影響癌細胞免疫逃逸能力,尤其在乳腺癌、卵巢癌中顯示出與患者預后的相關性。
在病理機制方面,BTN2A2基因區域的遺傳變異與系統性紅斑狼瘡、1型糖尿病等自身免疫疾病易感性顯著相關。基于其獨特的免疫檢查點特性,多家生物技術公司正開發靶向該蛋白的雙特異性抗體,其中AB-102項目已完成臨床前研究,通過同時阻斷BTN2A2和PD-1信號軸,旨在增強T細胞對實體瘤的殺傷效果。BTN2A2蛋白在神經退行性疾病中的潛在作用也引發關注,阿爾茨海默病患者腦脊液中檢測到其特異性異構體異常升高,相關機制仍在深入解析中。
熱銷產品
Recombinant Human Butyrophilin subfamily 2 member A2 (BTN2A2), partial (CSB-EP848825HU)
驗證數據
(Tris-Glycine gel) Discontinuous SDS-PAGE (reduced) with 5% enrichment gel and 15% separation gel.
BTN2A2 Antibody (CSB-PA848825LA01HU)
驗證數據
Western blot
All lanes: BTN2A2 antibody at 10μg/ml
Lane 1: MCF-7 whole cell lysate
Lane 2: NIH/3T3 whole cell lysate
Secondary
Goat polyclonal to rabbit IgG at 1/10000 dilution
Predicted band size: 60, 38, 29, 46, 36 kDa
Observed band size: 60 kDa
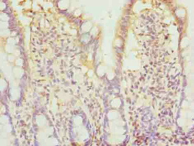
Immunohistochemistry of paraffin-embedded human small intestine tissue using CSB-PA848825LA01HU at dilution of 1:100
BTN2A2 Antibodies
BTN2A2 for Homo sapiens (Human)
| 產品貨號 | 產品名稱 | 種屬反應性 | 應用類型 |
|---|---|---|---|
| CSB-PA002871GA01HU | BTN2A2 Antibody | Human,Mouse,Rat | ELISA,WB |
| CSB-PA848825LA01HU | BTN2A2 Antibody | Human, Mouse | ELISA, WB, IHC |
| CSB-PA899996 | BTN2A2 Antibody | Human | ELISA,IHC |
| CSB-PA114726 | BTN2A2 Antibody | Human | ELISA,IHC |
BTN2A2 Proteins
BTN2A2 Proteins for Homo sapiens (Human)
| 產品貨號 | 產品名稱 | 來源 |
|---|---|---|
| CSB-YP848825HU CSB-BP848825HU CSB-MP848825HU CSB-EP848825HU-B |
Recombinant Human Butyrophilin subfamily 2 member A2 (BTN2A2), partial | Yeast Baculovirus Mammalian cell In Vivo Biotinylation in E.coli |
| CSB-EP848825HU | Recombinant Human Butyrophilin subfamily 2 member A2 (BTN2A2), partial | E.coli |






