BRAF
BRAF,即B型快速反應蛋白激酶,它是一種絲氨酸/蘇氨酸激酶,屬于RAF家族成員。BRAF由BRAF基因編碼,廣泛存在于多種組織中,尤其是在神經細胞和皮膚細胞中。其作用機制涉及與RAS蛋白的激活形式結合后,發生磷酸化和二聚化,進而激活下游的MEK/ERK信號通路,該通路在細胞增殖、分化、遷移和凋亡等過程中發揮關鍵作用。BRAF的生物學意義在于其在調控細胞周期、細胞應激反應以及細胞內信號傳遞中的核心作用。BRAF基因的突變,特別是在其激酶結構域中,與多種癌癥的發生發展有關,如黑色素瘤、結直腸癌等,因此BRAF也是癌癥治療中的一個重要靶點。
熱銷產品
BRAF Recombinant Monoclonal Antibody (CSB-RA171021A0HU)
驗證數據
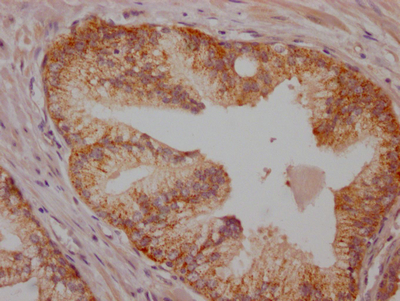
IHC image of CSB-RA171021A0HU diluted at 1:100 and staining in paraffin-embedded human prostate cancer performed on a Leica BondTM system. After dewaxing and hydration, antigen retrieval was mediated by high pressure in a citrate buffer (pH 6.0). Section was blocked with 10% normal goat serum 30min at RT. Then primary antibody (1% BSA) was incubated at 4℃ overnight. The primary is detected by a Goat anti-rabbit IgG polymer labeled by HRP and visualized using 0.05% DAB.
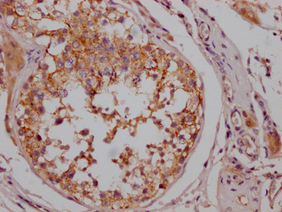
IHC image of CSB-RA171021A0HU diluted at 1:100 and staining in paraffin-embedded human testis tissue performed on a Leica BondTM system. After dewaxing and hydration, antigen retrieval was mediated by high pressure in a citrate buffer (pH 6.0). Section was blocked with 10% normal goat serum 30min at RT. Then primary antibody (1% BSA) was incubated at 4℃ overnight. The primary is detected by a Goat anti-rabbit IgG polymer labeled by HRP and visualized using 0.05% DAB.
Human Serine/threonine-protein kinase B-raf(BRAF) ELISA kit (CSB-EL002791HU)
驗證數據
貨號:CSB-EL002791HU
規格:96T/48T
靈敏度:7.8 pg/mL
檢測范圍:31.25 pg/mL-2000 pg/mL
These standard curves are provided for demonstration only. A standard curve should be generated for each set of samples assayed.
BRAF Antibodies
BRAF for Homo sapiens (Human)
| 產品貨號 | 產品名稱 | 種屬反應性 | 應用類型 |
|---|---|---|---|
| CSB-PA575128 | Phospho-BRAF (Ser446) Antibody | Human,Mouse | ELISA,WB |
| CSB-PA985068 | Phospho-BRAF (Thr753) Antibody | Human,Mouse,Rat | ELISA,WB |
| CSB-PA134950 | BRAF (Ab-446) Antibody | Human,Mouse | ELISA,WB,IHC |
| CSB-PA921529 | BRAF (Ab-753) Antibody | Human,Mouse | ELISA,WB |
| CSB-PA243682 | Phospho-BRAF (Thr599) Antibody | Human,Mouse,Rat | ELISA,IHC |
| CSB-PA003928 | BRAF Antibody | Human,Mouse,Rat | WB, IHC, ELISA |
| CSB-PA003929 | BRAF Antibody | Human,Mouse | WB, IHC, IF, ELISA |
| CSB-PA050146 | Phospho-BRAF (T753) Antibody | Human,Mouse,Rat | WB, ELISA |
| CSB-PA050147 | Phospho-BRAF (S602) Antibody | Human,Mouse,Rat | WB, IHC, ELISA |
| CSB-PA050148 | Phospho-BRAF (S446) Antibody | Human,Mouse | WB, IHC, ELISA |
| CSB-PA050149 | Phospho-BRAF (T599) Antibody | Human,Mouse,Rat | IHC, ELISA |
| CSB-PA050150 | BRAF Antibody | Human,Mouse,Rat | WB, ELISA |
| CSB-PA050151 | BRAF Antibody | Human,Mouse,Rat | IHC, ELISA |
| CSB-PA050152 | BRAF Antibody | Human,Mouse | WB, IHC, ELISA |
| CSB-PA587286 | BRAF Antibody | Human,Mouse | ELISA,WB,IHC |
| CSB-PA163656 | BRAF Antibody | Human,Mouse | ELISA,WB,IHC |
| CSB-PA179620 | BRAF Antibody | Human,Mouse | ELISA,WB,IHC |
| CSB-PA002791LA01HU | BRAF Antibody | Human | ELISA, IHC, IF |
| CSB-PA002791LB01HU | BRAF Antibody, HRP conjugated | Human | ELISA |
| CSB-PA002791LC01HU | BRAF Antibody, FITC conjugated | Human | |
| CSB-PA002791LD01HU | BRAF Antibody, Biotin conjugated | Human | ELISA |
| CSB-RA002791A401phHU | Phospho-BRAF (T401) Recombinant Monoclonal Antibody | Human | ELISA, WB, IF |
| CSB-RA171021A0HU | BRAF Recombinant Monoclonal Antibody | Human | ELISA, IHC |
BRAF Proteins
BRAF Proteins for Gallus gallus (Chicken)
| 產品貨號 | 產品名稱 | 來源 |
|---|---|---|
| CSB-YP002791CH CSB-EP002791CH CSB-BP002791CH CSB-MP002791CH CSB-EP002791CH-B |
Recombinant Chicken Serine/threonine-protein kinase B-raf (BRAF), partial | Yeast E.coli Baculovirus Mammalian cell In Vivo Biotinylation in E.coli |
BRAF Proteins for Homo sapiens (Human)
| 產品貨號 | 產品名稱 | 來源 |
|---|---|---|
| CSB-YP002791HU CSB-BP002791HU CSB-MP002791HU CSB-EP002791HU-B |
Recombinant Human Serine/threonine-protein kinase B-raf (BRAF) | Yeast Baculovirus Mammalian cell In Vivo Biotinylation in E.coli |
| CSB-EP002791HU3 | Recombinant Human Serine/threonine-protein kinase B-raf (BRAF), partial | E.coli |
| CSB-EP002791HU | Recombinant Human Serine/threonine-protein kinase B-raf (BRAF) | E.coli |
BRAF Proteins for Mus musculus (Mouse)
| 產品貨號 | 產品名稱 | 來源 |
|---|---|---|
| CSB-YP002791MO CSB-EP002791MO CSB-BP002791MO CSB-MP002791MO CSB-EP002791MO-B |
Recombinant Mouse Serine/threonine-protein kinase B-raf (Braf), partial | Yeast E.coli Baculovirus Mammalian cell In Vivo Biotinylation in E.coli |
BRAF Proteins for Coturnix coturnix japonica (Japanese quail) (Coturnix japonica)
| 產品貨號 | 產品名稱 | 來源 |
|---|---|---|
| CSB-YP002791DXJ CSB-EP002791DXJ CSB-BP002791DXJ CSB-MP002791DXJ CSB-EP002791DXJ-B |
Recombinant Coturnix coturnix japonica Serine/threonine-protein kinase B-raf (BRAF), partial | Yeast E.coli Baculovirus Mammalian cell In Vivo Biotinylation in E.coli |
BRAF Proteins for Pseudomonas aeruginosa (strain ATCC 15692 / PAO1 / 1C / PRS 101 / LMG 12228)
| 產品貨號 | 產品名稱 | 來源 |
|---|---|---|
| CSB-YP325121EZX CSB-EP325121EZX CSB-BP325121EZX CSB-MP325121EZX CSB-EP325121EZX-B |
Recombinant Pseudomonas aeruginosa High-affinity branched-chain amino acid transport ATP-binding protein BraF (braF) | Yeast E.coli Baculovirus Mammalian cell In Vivo Biotinylation in E.coli |
BRAF ELISA Kit
BRAF ELISA Kit for Homo sapiens (Human)
| 產品貨號 | 產品名稱 | 樣本類型 | 靈敏度 |
|---|---|---|---|
| CSB-EL002791HU | Human Serine/threonine-protein kinase B-raf(BRAF) ELISA kit | serum, plasma, cell lysates | 7.8 pg/mL |






