BMX
BMX,全稱骨髓X激酶,是Tec家族酪氨酸激酶成員,在細胞存活、增殖和分化中發揮關鍵作用。該蛋白主要表達于造血和免疫細胞,也存在于其他組織和器官。BMX通過調控細胞信號轉導,影響生長、增殖、遷移等過程,與炎癥、自身免疫性疾病密切相關。在炎癥中,BMX調節炎癥因子表達,影響免疫細胞遷移和浸潤;在自身免疫性疾病中,如系統性紅斑狼瘡和類風濕關節炎,BMX的活性和表達水平變化可能與免疫系統失調有關。藥物研發方面,中科院團隊開發的新型BMX激酶選擇性抑制劑BMX-IN-1,與MK2206組合可顯著抑制前列腺癌細胞增殖,為抗腫瘤藥物開發奠定基礎。此外,益普生與Biomunex合作開發的BMX-502雙特異性抗體,通過激活MAIT細胞并靶向GPC3腫瘤抗原,為治療黏膜相關腫瘤提供新策略。這些進展表明,BMX蛋白及其相關藥物在疾病治療中具有廣闊前景。
熱銷產品
BMX Antibody (CSB-PA002761ESR1HU)
驗證數據
Western blot
All lanes: Cytoplasmic tyrosine-protein kinase BMX antibody at 4μg/ml
Lane 1: A549 whole cell lysate
Lane 2: Mouse heart tissue
Secondary
Goat polyclonal to rabbit IgG at 1/10000 dilution
Predicted band size: 78 kDa
Observed band size: 78 kDa
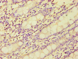
Immunohistochemistry of paraffin-embedded human colon tissue using CSB-PA002761ESR1HU at dilution of 1:100
Immunohistochemistry of paraffin-embedded human placenta tissue using CSB-PA002761ESR1HU at dilution of 1:100
BMX Antibodies
BMX for Homo sapiens (Human)
| 產品貨號 | 產品名稱 | 種屬反應性 | 應用類型 |
|---|---|---|---|
| CSB-PA002761ESR2HU | BMX Antibody | Human | ELISA, IHC |
| CSB-PA002761ESR1HU | BMX Antibody | Human, Mouse | ELISA, WB, IHC |
| CSB-PA993762 | Phospho-BMX (Tyr566) Antibody | Human,Mouse | ELISA,WB |
| CSB-PA991678 | BMX Antibody | Human,Mouse | ELISA,WB,IHC,IF |
| CSB-PA001034 | BMX Antibody | Human,Mouse | WB, IHC, IF, ELISA |
| CSB-PA001035 | BMX Antibody | Human,Mouse | WB, IHC, IF, ELISA |
| CSB-PA001036 | BMX Antibody | Human,Mouse,Monkey | WB, IHC, IF, ELISA |
| CSB-PA050105 | Phospho-BMX (Y566) Antibody | Human,Mouse | WB, IHC, ELISA |
| CSB-PA050106 | Phospho-BMX (Y40) Antibody | Human,Mouse | WB, IHC, IF, ELISA |
| CSB-PA229873 | BMX Antibody | Human,Mouse | ELISA,IHC |
| CSB-PA979712 | BMX Antibody | Human,Mouse | ELISA,IHC |
BMX Proteins
BMX Proteins for Homo sapiens (Human)
| 產品貨號 | 產品名稱 | 來源 |
|---|---|---|
| CSB-YP002761HU CSB-EP002761HU CSB-BP002761HU CSB-MP002761HU CSB-EP002761HU-B |
Recombinant Human Cytoplasmic tyrosine-protein kinase BMX (BMX) | Yeast E.coli Baculovirus Mammalian cell In Vivo Biotinylation in E.coli |






