BIRC5
BIRC5,即含桿狀病毒IAP重復序列蛋白5,是一種細胞凋亡抑制蛋白(IAPs)家族成員,主要通過抑制caspase激活來負向調節細胞凋亡或程序性細胞死亡。BIRC5在多種腫瘤中高度表達,包括肺癌和肝癌,并與腫瘤干細胞(CSC)的調控、上皮間質轉化(EMT)過程密切相關。其作用機制涉及到與多種信號通路的交互,例如Wnt/β-catenin信號通路,該通路在腫瘤發展、細胞增殖和凋亡中發揮關鍵作用。BIRC5的生物學意義在于其在細胞生存、腫瘤發展、DNA損傷修復中的作用,是腫瘤治療中的潛在靶點,其表達水平的變化與多種腫瘤的預后密切相關。
熱銷產品
Recombinant Mouse Baculoviral IAP repeat-containing protein 5 (Birc5) (CSB-EP002706MOa0)
驗證數據
(Tris-Glycine gel) Discontinuous SDS-PAGE (reduced) with 5% enrichment gel and 15% separation gel.
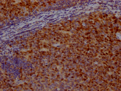
BIRC5 Recombinant Monoclonal Antibody (CSB-RA209144A0HU)
驗證數據
IHC image of CSB-RA209144A0HU diluted at 1:100 and staining in paraffin-embedded human tonsil tissue performed on a Leica BondTM system. After dewaxing and hydration, antigen retrieval was mediated by high pressure in a citrate buffer (pH 6.0). Section was blocked with 10% normal goat serum 30min at RT. Then primary antibody (1% BSA) was incubated at 4℃ overnight. The primary is detected by a Goat anti-rabbit IgG polymer labeled by HRP and visualized using 0.05% DAB.
BIRC5 Antibodies
BIRC5 for Homo sapiens (Human)
| 產品貨號 | 產品名稱 | 種屬反應性 | 應用類型 |
|---|---|---|---|
| CSB-PA002706GA01HU | BIRC5 Antibody | Human,Mouse,Rat | ELISA,WB,IHC |
| CSB-PA644556 | Phospho-BIRC5 (Thr117) Antibody | Human,Mouse,Rat | ELISA,WB |
| CSB-PA009313 | Phospho-BIRC5 (T34) Antibody | Human,Mouse,Rat | WB, ELISA |
| CSB-PA009314 | Phospho-BIRC5 (T117) Antibody | Human,Mouse,Rat | IHC, IF, ELISA |
| CSB-PA009320 | BIRC5 Antibody | Human,Mouse,Rat | IHC, ELISA |
| CSB-PA009326 | BIRC5 Antibody | Human,Mouse,Rat | WB, IHC, IF, ELISA |
| CSB-PA080180 | BIRC5 Antibody | Human,Mouse,Rat | IHC, ELISA |
| CSB-PA159155 | BIRC5 Antibody | Human,Mouse,Rat | ELISA,IHC |
| CSB-PA968757 | BIRC5 Antibody | Human,Mouse,Rat | ELISA,WB,IHC |
| CSB-PA07249A0Rb | BIRC5 Antibody | Human | ELISA, IF |
| CSB-PA07249B0Rb | BIRC5 Antibody, HRP conjugated | Human | ELISA |
| CSB-PA07249C0Rb | BIRC5 Antibody, FITC conjugated | Human | |
| CSB-RA209144A0HU | BIRC5 Recombinant Monoclonal Antibody | Human | ELISA, IHC |
BIRC5 for Mus musculus (Mouse)
| 產品貨號 | 產品名稱 | 種屬反應性 | 應用類型 |
|---|---|---|---|
| CSB-PA002706HA01MO | Birc5 Antibody | Mouse, Human | ELISA, WB |
BIRC5 for Human, Rat
| 產品貨號 | 產品名稱 | 種屬反應性 | 應用類型 |
|---|---|---|---|
| CSB-MA080214 | BIRC5 Monoclonal Antibody | Human,Rat | ELISA,WB,IHC |
BIRC5 Proteins
BIRC5 Proteins for Homo sapiens (Human)
| 產品貨號 | 產品名稱 | 來源 |
|---|---|---|
| CSB-YP002706HU CSB-BP002706HU CSB-MP002706HU CSB-EP002706HU-B |
Recombinant Human Baculoviral IAP repeat-containing protein 5 (BIRC5) | Yeast Baculovirus Mammalian cell In Vivo Biotinylation in E.coli |
| CSB-EP002706HU | Recombinant Human Baculoviral IAP repeat-containing protein 5 (BIRC5) | E.coli |
BIRC5 Proteins for Mus musculus (Mouse)
| 產品貨號 | 產品名稱 | 來源 |
|---|---|---|
| CSB-YP002706MO | Recombinant Mouse Baculoviral IAP repeat-containing protein 5 (Birc5) | Yeast |
| CSB-EP002706MO | Recombinant Mouse Baculoviral IAP repeat-containing protein 5 (Birc5) | E.coli |
| CSB-BP002706MO CSB-MP002706MO CSB-EP002706MO-B |
Recombinant Mouse Baculoviral IAP repeat-containing protein 5 (Birc5) | Baculovirus Mammalian cell In Vivo Biotinylation in E.coli |
| CSB-EP002706MOa0 | Recombinant Mouse Baculoviral IAP repeat-containing protein 5 (Birc5) | E.coli |
BIRC5 Proteins for Pongo abelii (Sumatran orangutan)
| 產品貨號 | 產品名稱 | 來源 |
|---|---|---|
| CSB-YP722377PYX CSB-EP722377PYX CSB-BP722377PYX CSB-MP722377PYX CSB-EP722377PYX-B |
Recombinant Pongo abelii Baculoviral IAP repeat-containing protein 5 (BIRC5) | Yeast E.coli Baculovirus Mammalian cell In Vivo Biotinylation in E.coli |
BIRC5 Proteins for Felis catus (Cat) (Felis silvestris catus)
| 產品貨號 | 產品名稱 | 來源 |
|---|---|---|
| CSB-YP764222CA CSB-EP764222CA CSB-BP764222CA CSB-MP764222CA CSB-EP764222CA-B |
Recombinant Cat Baculoviral IAP repeat-containing protein 5 (BIRC5) | Yeast E.coli Baculovirus Mammalian cell In Vivo Biotinylation in E.coli |
BIRC5 Proteins for Bos taurus (Bovine)
| 產品貨號 | 產品名稱 | 來源 |
|---|---|---|
| CSB-YP764265BO CSB-EP764265BO CSB-BP764265BO CSB-MP764265BO CSB-EP764265BO-B |
Recombinant Bovine Baculoviral IAP repeat-containing protein 5 (BIRC5) | Yeast E.coli Baculovirus Mammalian cell In Vivo Biotinylation in E.coli |
BIRC5 Proteins for Canis familiaris (Dog) (Canis lupus familiaris)
| 產品貨號 | 產品名稱 | 來源 |
|---|---|---|
| CSB-YP814170DO CSB-EP814170DO CSB-BP814170DO CSB-MP814170DO CSB-EP814170DO-B |
Recombinant Dog Baculoviral IAP repeat-containing protein 5 (BIRC5) | Yeast E.coli Baculovirus Mammalian cell In Vivo Biotinylation in E.coli |
BIRC5 Proteins for Rattus norvegicus (Rat)
| 產品貨號 | 產品名稱 | 來源 |
|---|---|---|
| CSB-YP864316RA CSB-EP864316RA CSB-BP864316RA CSB-MP864316RA CSB-EP864316RA-B |
Recombinant Rat Baculoviral IAP repeat-containing protein 5 (Birc5) | Yeast E.coli Baculovirus Mammalian cell In Vivo Biotinylation in E.coli |
BIRC5 Proteins for Sus scrofa (Pig)
| 產品貨號 | 產品名稱 | 來源 |
|---|---|---|
| CSB-YP880898PI CSB-EP880898PI CSB-BP880898PI CSB-MP880898PI CSB-EP880898PI-B |
Recombinant Pig Baculoviral IAP repeat-containing protein 5 (BIRC5) | Yeast E.coli Baculovirus Mammalian cell In Vivo Biotinylation in E.coli |






