AZU1
AZU1,即鐵調素(Ferritin Light Chain),常見別名包括L-ferritin和FTL。該蛋白是鐵儲存蛋白,主要功能是調節體內鐵的穩態,通過將鐵離子氧化為Fe3+并儲存于細胞內,防止鐵過載引起的氧化損傷。鐵調素在肝臟、脾臟和紅細胞中高表達,對維持鐵平衡至關重要。鐵調素異常與多種疾病相關,如貧血、鐵過載癥和某些癌癥。在藥物研發方面,鐵調素已成為治療鐵代謝相關疾病的研究靶點,例如通過調節鐵調素表達或活性來改善貧血和鐵過載癥狀。此外,鐵調素還與炎癥反應和細胞凋亡有關,為相關疾病的治療提供了新的思路。
熱銷產品
Recombinant Human Azurocidin (AZU1) (CSB-MP002485HU)
驗證數據
(Tris-Glycine gel) Discontinuous SDS-PAGE (reduced) with 5% enrichment gel and 15% separation gel.
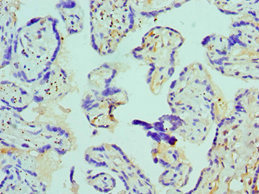
AZU1 Antibody (CSB-PA002485ESR1HU)
驗證數據
Immunohistochemistry of paraffin-embedded human placenta tissue using CSB-PA002485ESR1HU at dilution of 1:100
Human Azurocidin/Heparin Binding Protein(AZU/HBP) ELISA Kit (CSB-E09698h)
驗證數據
貨號:CSB-E09698h
規格:96T/48T
靈敏度:1.95 pg/mL
檢測范圍:7.8 pg/mL-500 pg/mL
These standard curves are provided for demonstration only. A standard curve should be generated for each set of samples assayed.
AZU1 Antibodies
AZU1 for Homo sapiens (Human)
| 產品貨號 | 產品名稱 | 種屬反應性 | 應用類型 |
|---|---|---|---|
| CSB-PA002485ESR1HU | AZU1 Antibody | Human | ELISA, IHC |
| CSB-PA002485ESR2HU | AZU1 Antibody | Human, Mouse | ELISA, WB, IHC |






