ARID1A
ARID1A,即AT豐富結合域1A基因,它是一種SWI/SNF染色質重塑復合物家族中的重要成員,主要來源于染色體1p36.11上的位置。ARID1A的作用機制包括與DNA非特異性結合,調節細胞周期、細胞增殖、DNA損傷修復等細胞生命活動。ARID1A作為腫瘤抑制因子,在多種腫瘤中發生突變或缺失,對腫瘤的發生發展具有重要影響,其功能喪失可能導致腫瘤細胞的增殖和侵襲性增強。
熱銷產品
驗證數據
(Tris-Glycine gel) Discontinuous SDS-PAGE (reduced) with 5% enrichment gel and 15% separation gel.
Based on the SEQUEST from database of E.coli host and target protein, the LC-MS/MS Analysis result of CSB-EP002058HU1 could indicate that this peptide derived from E.coli-expressed Homo sapiens (Human) ARID1A.
Based on the SEQUEST from database of E.coli host and target protein, the LC-MS/MS Analysis result of CSB-EP002058HU1 could indicate that this peptide derived from E.coli-expressed Homo sapiens (Human) ARID1A.
ARID1A Antibody (CSB-PA040400)
驗證數據
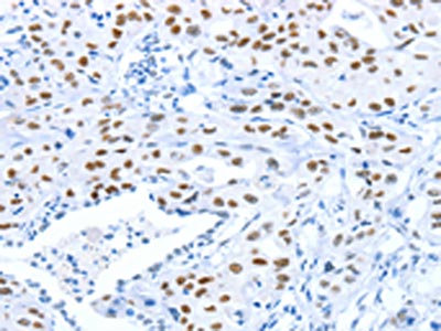
The image on the left is immunohistochemistry of paraffin-embedded Human lung cancer tissue using CSB-PA040400(ARID1A Antibody) at dilution 1/80, on the right is treated with synthetic peptide. (Original magnification: ×200)
The image on the left is immunohistochemistry of paraffin-embedded Human gastric cancer tissue using CSB-PA040400(ARID1A Antibody) at dilution 1/80, on the right is treated with synthetic peptide. (Original magnification: ×200)
ARID1A Antibodies
ARID1A for Homo sapiens (Human)
| 產品貨號 | 產品名稱 | 種屬反應性 | 應用類型 |
|---|---|---|---|
| CSB-PA040400 | ARID1A Antibody | Human,Mouse | ELISA,IHC |
| CSB-PA226311 | ARID1A Antibody | Human,Mouse | ELISA,WB |
| CSB-PA002058LA01HU | ARID1A Antibody | Human | ELISA, IHC |
| CSB-PA002058LB01HU | ARID1A Antibody, HRP conjugated | Human | ELISA |
ARID1A Proteins
ARID1A Proteins for Mus musculus (Mouse)
| 產品貨號 | 產品名稱 | 來源 |
|---|---|---|
| CSB-YP002058MO CSB-EP002058MO CSB-BP002058MO CSB-MP002058MO CSB-EP002058MO-B |
Recombinant Mouse AT-rich interactive domain-containing protein 1A (Arid1a), partial | Yeast E.coli Baculovirus Mammalian cell In Vivo Biotinylation in E.coli |
ARID1A Proteins for Homo sapiens (Human)
| 產品貨號 | 產品名稱 | 來源 |
|---|---|---|
| CSB-YP002058HU CSB-EP002058HU CSB-BP002058HU CSB-MP002058HU CSB-EP002058HU-B |
Recombinant Human AT-rich interactive domain-containing protein 1A (ARID1A), partial | Yeast E.coli Baculovirus Mammalian cell In Vivo Biotinylation in E.coli |
| CSB-EP002058HU1 | Recombinant Human AT-rich interactive domain-containing protein 1A (ARID1A), partial | E.coli |
| CSB-BP002058HU1 | Recombinant Human AT-rich interactive domain-containing protein 1A (ARID1A), partial | Baculovirus |






