ARG2
ARG2,全稱為Arginase type II,是一種在肝外組織中表達的酶,尤其在腎臟中高度表達。它也被稱為Arginase-2或ARG2,是一種參與尿素循環的酶,能夠催化精氨酸水解為鳥氨酸和尿素。ARG2蛋白在細胞內的定位主要是在線粒體中,其功能與一氧化氮和多胺代謝密切相關。
ARG2蛋白在疾病發生發展中扮演著重要角色。研究表明,ARG2蛋白的表達異常與多種疾病相關,包括癌癥、神經退行性疾病和免疫疾病等。例如,在癌癥中,ARG2蛋白的表達水平與腫瘤的生長和轉移密切相關;在神經退行性疾病中,ARG2蛋白的異常表達可能導致神經元死亡和神經功能退化;在免疫疾病中,ARG2蛋白的表達異常可能影響免疫細胞的活性和功能。
針對ARG2蛋白的藥物研發也在不斷進行中。目前,研究人員正在開發多種針對ARG2蛋白的抑制劑,以期通過抑制ARG2蛋白的表達或活性來治療相關疾病。例如,有研究表明,ARG2蛋白抑制劑可以抑制腫瘤的生長和轉移,并提高免疫治療的療效。
熱銷產品
Recombinant Human Arginase-2, mitochondrial (ARG2) (CSB-EP002006HU)
驗證數據
(Tris-Glycine gel) Discontinuous SDS-PAGE (reduced) with 5% enrichment gel and 15% separation gel.
ARG2 Recombinant Monoclonal Antibody (CSB-RA216908A0HU)
驗證數據
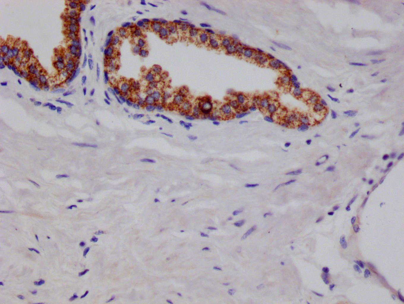
IHC image of CSB-RA216908A0HU diluted at 1:100 and staining in paraffin-embedded human prostate cancer performed on a Leica BondTM system. After dewaxing and hydration, antigen retrieval was mediated by high pressure in a citrate buffer (pH 6.0). Section was blocked with 10% normal goat serum 30min at RT. Then primary antibody (1% BSA) was incubated at 4°C overnight. The primary is detected by a Goat anti-rabbit polymer IgG labeled by HRP and visualized using 0.05% DAB.
Immunofluorescence staining of PC-3 cell with CSB-RA216908A0HU at 1:50, counter-stained with DAPI. The cells were fixed in 4% formaldehyde and blocked in 10% normal Goat Serum. The cells were then incubated with the antibody overnight at 4°C. The secondary antibody was Alexa Fluor 559-congugated AffiniPure Goat Anti-Rabbit IgG(H+L).
Overlay Peak curve showing PC3 cells stained with CSB-RA216908A0HU (red line) at 1:100. The cells were fixed in 4% formaldehyde and permeated by 0.2% TritonX-100. Then 10% normal goat serum to block non-specific protein-protein interactions followed by the antibody (1ug/1*106cells) for 45min at 4℃. The secondary antibody used was FITC-conjugated Goat Anti-rabbit IgG(H+L) at 1:200 dilution for 35min at 4℃.Control antibody (green line) was rabbit IgG (1ug/1*106cells) used under the same conditions. Acquisition of >10,000 events was performed.
Human Arginase 2(ARG2) ELISA Kit (CSB-E14913h)
驗證數據
貨號:CSB-E14913h
規格:96T/48T
靈敏度:0.12 mU/mL
檢測范圍:0.47 mU/mL-30 mU/mL
These standard curves are provided for demonstration only. A standard curve should be generated for each set of samples assayed.
ARG2 Antibodies
ARG2 for Homo sapiens (Human)
| 產品貨號 | 產品名稱 | 種屬反應性 | 應用類型 |
|---|---|---|---|
| CSB-PA002006GA01HU | ARG2 Antibody | Human,Mouse,Rat | ELISA,WB,IHC |
| CSB-PA002006ESR2HU | ARG2 Antibody | Human, Mouse | ELISA, WB, IHC, IP |
| CSB-PA093417 | ARG2 Antibody | Human | ELISA,WB |
| CSB-PA000920 | ARG2 Antibody | Human | WB, ELISA |
| CSB-RA216908A0HU | ARG2 Recombinant Monoclonal Antibody | Human | ELISA, IHC, IF, FC |
ARG2 Proteins
ARG2 Proteins for Homo sapiens (Human)
| 產品貨號 | 產品名稱 | 來源 |
|---|---|---|
| CSB-YP002006HU CSB-BP002006HU CSB-MP002006HU CSB-EP002006HU-B |
Recombinant Human Arginase-2, mitochondrial (ARG2) | Yeast Baculovirus Mammalian cell In Vivo Biotinylation in E.coli |
| CSB-EP002006HU | Recombinant Human Arginase-2, mitochondrial (ARG2) | E.coli |
ARG2 ELISA Kit
ARG2 ELISA Kit for Homo sapiens (Human)
| 產品貨號 | 產品名稱 | 樣本類型 | 靈敏度 |
|---|---|---|---|
| CSB-E14913h | Human Arginase 2(ARG2) ELISA Kit | serum, plasma, cell culture supernates, urine, cerebrospinal fluid (CSF) | 0.12 mU/mL |






