APC
APC,全稱為腺瘤性息肉病基因蛋白,是一種重要的腫瘤抑制蛋白。它常見于細胞質和細胞核中,參與多種細胞過程。APC蛋白通過調控β-catenin的穩定性,影響Wnt信號通路,進而調控細胞增殖、分化和凋亡。在正常情況下,APC蛋白能夠促進β-catenin的降解,防止其過度積累并進入細胞核,從而抑制靶基因的轉錄。然而,當APC蛋白發生突變或缺失時,β-catenin會大量積累,激活下游靶基因,導致細胞不受控制地增殖,進而引發腫瘤。
APC蛋白與多種疾病密切相關,尤其是結直腸癌。家族性腺瘤性息肉病(FAP)是一種常染色體顯性遺傳病,患者體內APC蛋白存在基因突變,導致其功能喪失,極易發展為結直腸癌。此外,APC蛋白的異常也與乳腺癌、卵巢癌等惡性腫瘤的發生發展有關。針對APC蛋白的藥物研發已取得一定進展,例如,通過抑制β-catenin的活性,可以阻止腫瘤細胞的生長和擴散。此外,一些靶向APC蛋白的單克隆抗體和抑制劑也正在研發中,有望為結直腸癌等惡性腫瘤的治療提供新的策略。
熱銷產品
Recombinant Human Adenomatous polyposis coli protein (APC), partial (CSB-EP001894HU)
驗證數據
(Tris-Glycine gel) Discontinuous SDS-PAGE (reduced) with 5% enrichment gel and 15% separation gel.
APC Recombinant Monoclonal Antibody (CSB-RA951649A0HU)
驗證數據
Western Blot
Positive WB detected in: Hela whole cell lysate, K562 whole cell lysate, SH-SY5Y whole cell lysate, A549 whole cell lysate, Rat Brain whole cell lysate
All lanes: APC antibody at 1:1000
Secondary
Goat polyclonal to rabbit IgG at 1/50000 dilution
Predicted band size: 312, 301, 309 kDa
Observed band size: 160 kDa
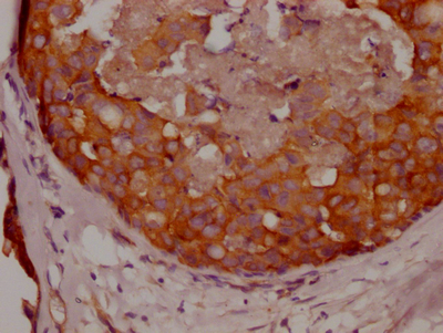
IHC image of CSB-RA951649A0HU diluted at 1:100 and staining in paraffin-embedded human breast cancer performed on a Leica BondTM system. After dewaxing and hydration, antigen retrieval was mediated by high pressure in a citrate buffer (pH 6.0). Section was blocked with 10% normal goat serum 30min at RT. Then primary antibody (1% BSA) was incubated at 4℃ overnight. The primary is detected by a Goat anti-rabbit IgG polymer labeled by HRP and visualized using 0.05% DAB.
APC Antibodies
APC for Homo sapiens (Human)
| 產品貨號 | 產品名稱 | 種屬反應性 | 應用類型 |
|---|---|---|---|
| CSB-PA000897 | APC Antibody | Human,Mouse,Rat | WB, IHC, IF, ELISA |
| CSB-PA009252 | Phospho-APC (S2054) Antibody | Human | WB, IHC, ELISA |
| CSB-PA009253 | APC Antibody | Human | IHC, ELISA |
| CSB-PA010692 | APC Antibody | Human,Mouse,Rat | ELISA,IHC |
| CSB-PA589353 | APC Antibody | Human,Mouse,Rat | ELISA,IHC |
| CSB-RA951649A0HU | APC Recombinant Monoclonal Antibody | Human, Rat | ELISA, WB, IHC |
APC Proteins
APC Proteins for Rattus norvegicus (Rat)
| 產品貨號 | 產品名稱 | 來源 |
|---|---|---|
| CSB-YP001894RA CSB-EP001894RA CSB-BP001894RA CSB-MP001894RA CSB-EP001894RA-B |
Recombinant Rat Adenomatous polyposis coli protein (Apc), partial | Yeast E.coli Baculovirus Mammalian cell In Vivo Biotinylation in E.coli |
APC Proteins for Homo sapiens (Human)
| 產品貨號 | 產品名稱 | 來源 |
|---|---|---|
| CSB-YP001894HU CSB-BP001894HU CSB-MP001894HU CSB-EP001894HU-B |
Recombinant Human Adenomatous polyposis coli protein (APC), partial | Yeast Baculovirus Mammalian cell In Vivo Biotinylation in E.coli |
| CSB-EP001894HU | Recombinant Human Adenomatous polyposis coli protein (APC), partial | E.coli |
APC Proteins for Mus musculus (Mouse)
| 產品貨號 | 產品名稱 | 來源 |
|---|---|---|
| CSB-YP726744MO CSB-BP726744MO CSB-MP726744MO CSB-EP726744MO-B |
Recombinant Mouse Adenomatous polyposis coli protein (Apc), partial | Yeast Baculovirus Mammalian cell In Vivo Biotinylation in E.coli |






