ALOX5
ALOX5,即花生四烯酸5-脂氧合酶,別名Arachidonate 5-lipoxygenase。它屬于脂氧合酶家族成員,由人體細胞自身編碼產生。ALOX5在多種細胞類型中都有表達,特別是在骨髓衍生的細胞中表達量較高。其作用機制主要是催化花生四烯酸轉化為5(S)-HPETE,進而生成白三烯A4(LTA4),這是白三烯生物合成途徑中的起始和關鍵步驟。白三烯是一類重要的炎癥介質,參與多種炎癥和過敏反應的調控。ALOX5的活性受到多種因素的調控,包括細胞因子、應激反應和細胞內信號分子等。ALOX5在生物學上的意義主要體現在其對炎癥反應的調控作用。它不僅參與了白三烯的合成,影響炎癥和免疫過程,還可能參與脂質過氧化和細胞死亡模式的調控,如凋亡、焦亡和鐵死亡。ALOX5的表達或活性異常與多種疾病的發生發展有關,包括哮喘、動脈粥樣硬化、腫瘤等。此外,ALOX5還可能作為腫瘤免疫微環境中的一個重要因素,影響腫瘤的免疫細胞浸潤和免疫治療的效果,因此,它也是藥物開發和疾病治療中的一個潛在靶點。
熱銷產品
Recombinant Human Arachidonate 5-lipoxygenase-activating protein (ALOX5AP) (CSB-CF001625HU)
驗證數據
(Tris-Glycine gel) Discontinuous SDS-PAGE (reduced) with 5% enrichment gel and 15% separation gel.
ALOX5 Recombinant Monoclonal Antibody (CSB-RA198316A0HU)
驗證數據
IHC image of CSB-RA198316A0HU diluted at 1:100 and staining in paraffin-embedded human lung tissue performed on a Leica BondTM system. After dewaxing and hydration, antigen retrieval was mediated by high pressure in a citrate buffer (pH 6.0). Section was blocked with 10% normal goat serum 30min at RT. Then primary antibody (1% BSA) was incubated at 4℃ overnight. The primary is detected by a Goat anti-rabbit IgG polymer labeled by HRP and visualized using 0.05% DAB.
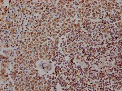
IHC image of CSB-RA198316A0HU diluted at 1:100 and staining in paraffin-embedded human spleen tissue performed on a Leica BondTM system. After dewaxing and hydration, antigen retrieval was mediated by high pressure in a citrate buffer (pH 6.0). Section was blocked with 10% normal goat serum 30min at RT. Then primary antibody (1% BSA) was incubated at 4℃ overnight. The primary is detected by a Goat anti-rabbit IgG polymer labeled by HRP and visualized using 0.05% DAB.
ALOX5 Antibodies
ALOX5 for Homo sapiens (Human)
| 產品貨號 | 產品名稱 | 種屬反應性 | 應用類型 |
|---|---|---|---|
| CSB-PA001624GA01HU | ALOX5 Antibody | Human,Mouse | ELISA,IF |
| CSB-PA555261 | Phospho-ALOX5 (Ser523) Antibody | Human,Rat | ELISA,WB |
| CSB-PA008470 | Phospho-ALOX5 (S523) Antibody | Human,Rat | WB, ELISA |
| CSB-PA008472 | Phospho-ALOX5 (S272) Antibody | Human,Mouse,Rat | WB, IHC, ELISA |
| CSB-PA008474 | ALOX5 Antibody | Human,Mouse,Rat | WB, IHC, ELISA |
| CSB-PA043268 | ALOX5 Antibody | Human,Mouse,Rat | ELISA,IHC |
| CSB-PA787659 | ALOX5 Antibody | Human,Mouse,Rat | ELISA,IHC |
| CSB-PA001624LA01HU | ALOX5 Antibody | Human | ELISA, IHC, IF |
| CSB-PA001624LB01HU | ALOX5 Antibody, HRP conjugated | Human | ELISA |
| CSB-RA198316A0HU | ALOX5 Recombinant Monoclonal Antibody | Human | ELISA, IHC |
ALOX5 Proteins
ALOX5 Proteins for Rattus norvegicus (Rat)
| 產品貨號 | 產品名稱 | 來源 |
|---|---|---|
| CSB-YP001624RA CSB-EP001624RA CSB-BP001624RA CSB-MP001624RA CSB-EP001624RA-B |
Recombinant Rat Arachidonate 5-lipoxygenase (Alox5) | Yeast E.coli Baculovirus Mammalian cell In Vivo Biotinylation in E.coli |
ALOX5 Proteins for Mus musculus (Mouse)
| 產品貨號 | 產品名稱 | 來源 |
|---|---|---|
| CSB-YP001624MO CSB-EP001624MO CSB-BP001624MO CSB-MP001624MO CSB-EP001624MO-B |
Recombinant Mouse Arachidonate 5-lipoxygenase (Alox5) | Yeast E.coli Baculovirus Mammalian cell In Vivo Biotinylation in E.coli |
ALOX5 Proteins for Homo sapiens (Human)
| 產品貨號 | 產品名稱 | 來源 |
|---|---|---|
| CSB-YP001624HU CSB-BP001624HU CSB-MP001624HU CSB-EP001624HU-B |
Recombinant Human Arachidonate 5-lipoxygenase (ALOX5) | Yeast Baculovirus Mammalian cell In Vivo Biotinylation in E.coli |
| CSB-EP001624HU | Recombinant Human Polyunsaturated fatty acid 5-lipoxygenase (ALOX5) | E.coli |
| CSB-EP001624HUd7 | Recombinant Human Polyunsaturated fatty acid 5-lipoxygenase (ALOX5) | E.coli |
ALOX5 Proteins for Mesocricetus auratus (Golden hamster)
| 產品貨號 | 產品名稱 | 來源 |
|---|---|---|
| CSB-YP001624MRG CSB-EP001624MRG CSB-BP001624MRG CSB-MP001624MRG CSB-EP001624MRG-B |
Recombinant Mesocricetus auratus Arachidonate 5-lipoxygenase (ALOX5), partial | Yeast E.coli Baculovirus Mammalian cell In Vivo Biotinylation in E.coli |
ALOX5 ELISA Kit
ALOX5 ELISA Kit for Rattus norvegicus (Rat)
| 產品貨號 | 產品名稱 | 樣本類型 | 靈敏度 |
|---|---|---|---|
| CSB-E16982r | Rat Arachidonate 5-lipoxygenase (Alox5) ELISA kit | serum, plasma, cell culture supernates, tissue homogenates | 0.039 ng/mL |






