ADIPOR1
ADIPOR1,全稱為脂聯素受體1,是一種參與調節機體能量代謝的重要蛋白質。它主要與脂聯素結合,發揮多種生理功能。脂聯素受體1在骨骼肌和肝臟中高表達,這兩個器官是糖脂代謝的主要場所。脂聯素受體1能夠促進骨骼肌攝取葡萄糖和分解脂肪酸,同時抑制肝臟產生葡萄糖,從而幫助維持血糖穩定。此外,脂聯素受體1還參與調節炎癥反應和氧化應激,對預防肥胖、胰島素抵抗和2型糖尿病等代謝性疾病具有重要意義。目前,研究人員正在探索激活脂聯素受體1的藥物,以治療代謝性疾病。例如,AdipoRon是一種脂聯素受體1激動劑,能夠改善胰島素敏感性和運動耐力。雖然這些藥物在臨床試驗中顯示出 promising 的效果,但仍需進一步研究以確定其安全性和有效性。
熱銷產品
Recombinant Human Adiponectin receptor protein 1 (ADIPOR1), partial (CSB-CF001367HU2)
驗證數據
(Tris-Glycine gel) Discontinuous SDS-PAGE (reduced) with 5% enrichment gel and 15% separation gel.
ADIPOR1 Antibody (CSB-PA001367LA01HU)
驗證數據
Western Blot
Positive WB detected in: MCF-7 whole cell lysate
All lanes: ADIPOR1 antibody at 2.5µg/ml
Secondary
Goat polyclonal to rabbit IgG at 1/50000 dilution
Predicted band size: 43 kDa
Observed band size: 43 kDa
Western Blot
Positive WB detected in: K562 whole cell lysate, Jurkat whole cell lysate, 293T whole cell lysate
All lanes: ADIPOR1 antibody at 1:2500
Secondary
Goat polyclonal to rabbit IgG at 1/50000 dilution
Predicted band size: 43 kDa
Observed band size: 43 kDa
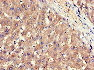
Immunohistochemistry of paraffin-embedded human liver tissue using CSB-PA001367LA01HU at dilution of 1:100
Immunofluorescent analysis of HepG2 cells using CSB-PA001367LA01HU at dilution of 1:100 and Alexa Fluor 488-congugated AffiniPure Goat Anti-Rabbit IgG(H+L)
ADIPOR1 Antibodies
ADIPOR1 for Homo sapiens (Human)
| 產品貨號 | 產品名稱 | 種屬反應性 | 應用類型 |
|---|---|---|---|
| CSB-PA226584 | ADIPOR1 Antibody | Human,Mouse | ELISA,WB |
| CSB-PA562872 | ADIPOR1 Antibody | Human,Mouse | ELISA,WB,IHC |
| CSB-PA001367LA01HU | ADIPOR1 Antibody | Human | ELISA, WB, IHC, IF |
| CSB-PA001367LD01HU | ADIPOR1 Antibody, Biotin conjugated | Human | ELISA |
ADIPOR1 Proteins
ADIPOR1 Proteins for Mus musculus (Mouse)
| 產品貨號 | 產品名稱 | 來源 |
|---|---|---|
| CSB-YP842016MO1 CSB-EP842016MO1 CSB-BP842016MO1 CSB-MP842016MO1 CSB-EP842016MO1-B |
Recombinant Mouse Adiponectin receptor protein 1 (Adipor1), partial | Yeast E.coli Baculovirus Mammalian cell In Vivo Biotinylation in E.coli |
| CSB-CF842016MO | Recombinant Mouse Adiponectin receptor protein 1 (Adipor1) | in vitro E.coli expression system |
ADIPOR1 Proteins for Homo sapiens (Human)
| 產品貨號 | 產品名稱 | 來源 |
|---|---|---|
| CSB-YP001367HU1 CSB-EP001367HU1 CSB-BP001367HU1 CSB-MP001367HU1 CSB-EP001367HU1-B |
Recombinant Human Adiponectin receptor protein 1 (ADIPOR1), partial | Yeast E.coli Baculovirus Mammalian cell In Vivo Biotinylation in E.coli |
| CSB-CF001367HU | Recombinant Human Adiponectin receptor protein 1 (ADIPOR1) | in vitro E.coli expression system |
| CSB-CF001367HU2 | Recombinant Human Adiponectin receptor protein 1 (ADIPOR1), partial | in vitro E.coli expression system |
| CSB-CF001367HU2e1 | Recombinant Human Adiponectin receptor protein 1 (ADIPOR1), partial | in vitro E.coli expression system |
| CSB-MP001367HU | Recombinant Human Adiponectin receptor protein 1 (ADIPOR1)-VLPs | Mammalian cell |






