ADGRE2
ADGRE2,即粘附G蛋白偶聯受體E2,別名GPR124和TEM5。它是一種細胞表面受體,屬于粘附G蛋白偶聯受體家族成員,由ADGRE2基因編碼。ADGRE2在多種細胞類型中表達,尤其在腫瘤血管內皮細胞中,通過與細胞外基質分子相互作用,參與細胞黏附和遷移等過程。其作用機制涉及激活G蛋白偶聯的信號通路,進而調節細胞內鈣離子濃度和蛋白激酶活性。ADGRE2在腫瘤治療中的潛在靶點角色,以及與振動性蕁麻疹等免疫相關疾病的關聯。異常的ADGRE2表達可能與腫瘤微環境的調節和腫瘤免疫治療的效果有關,是當前藥物開發和疾病治療研究中的一個關注點。
熱銷產品
ADGRE2 Antibody (CSB-PA887050LA01HU)
驗證數據
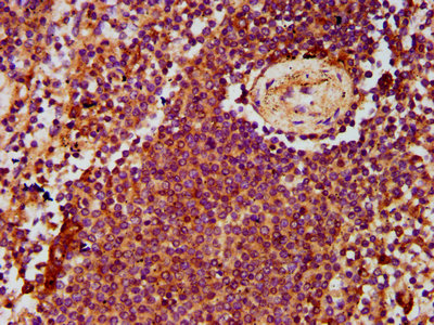
IHC image of CSB-PA887050LA01HU diluted at 1:500 and staining in paraffin-embedded human lymph node tissue performed on a Leica BondTM system. After dewaxing and hydration, antigen retrieval was mediated by high pressure in a citrate buffer (pH 6.0). Section was blocked with 10% normal goat serum 30min at RT. Then primary antibody (1% BSA) was incubated at 4°C overnight. The primary is detected by a biotinylated secondary antibody and visualized using an HRP conjugated SP system.
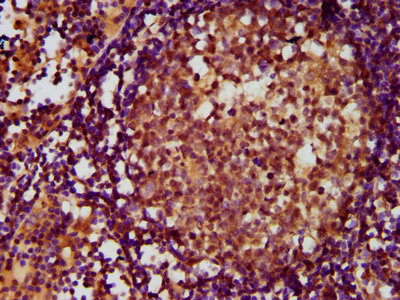
IHC image of CSB-PA887050LA01HU diluted at 1:500 and staining in paraffin-embedded human spleen tissue performed on a Leica BondTM system. After dewaxing and hydration, antigen retrieval was mediated by high pressure in a citrate buffer (pH 6.0). Section was blocked with 10% normal goat serum 30min at RT. Then primary antibody (1% BSA) was incubated at 4°C overnight. The primary is detected by a biotinylated secondary antibody and visualized using an HRP conjugated SP system.
Immunofluorescence staining of Hela cells with CSB-PA887050LA01HU at 1:166, counter-stained with DAPI. The cells were fixed in 4% formaldehyde, permeabilized using 0.2% Triton X-100 and blocked in 10% normal Goat Serum. The cells were then incubated with the antibody overnight at 4°C. The secondary antibody was Alexa Fluor 488-congugated AffiniPure Goat Anti-Rabbit IgG(H+L).
ADGRE2 Antibodies
ADGRE2 for Homo sapiens (Human)
| 產品貨號 | 產品名稱 | 種屬反應性 | 應用類型 |
|---|---|---|---|
| CSB-PA006285 | EMR2 Antibody | Human | WB, ELISA |
| CSB-PA009181 | EMR2 Antibody | Human | WB, IF, ELISA |
| CSB-PA009182 | EMR2 Antibody | Human | WB, IF, ELISA |
| CSB-PA887050LA01HU | ADGRE2 Antibody | Human | ELISA, IHC, IF |
ADGRE2 Proteins
ADGRE2 Proteins for Macaca mulatta (Rhesus macaque)
| 產品貨號 | 產品名稱 | 來源 |
|---|---|---|
| CSB-YP648489MOW CSB-EP648489MOW CSB-BP648489MOW CSB-MP648489MOW CSB-EP648489MOW-B |
Recombinant Macaca mulatta EGF-like module-containing mucin-like hormone receptor-like 2 (EMR2), partial | Yeast E.coli Baculovirus Mammalian cell In Vivo Biotinylation in E.coli |
ADGRE2 Proteins for Canis familiaris (Dog) (Canis lupus familiaris)
| 產品貨號 | 產品名稱 | 來源 |
|---|---|---|
| CSB-YP651621DO CSB-EP651621DO CSB-BP651621DO CSB-MP651621DO CSB-EP651621DO-B |
Recombinant Dog EGF-like module-containing mucin-like hormone receptor-like 2 (EMR2), partial | Yeast E.coli Baculovirus Mammalian cell In Vivo Biotinylation in E.coli |
ADGRE2 Proteins for Homo sapiens (Human)
| 產品貨號 | 產品名稱 | 來源 |
|---|---|---|
| CSB-YP887050HU1 CSB-EP887050HU1 CSB-BP887050HU1 CSB-MP887050HU1 CSB-EP887050HU1-B |
Recombinant Human EGF-like module-containing mucin-like hormone receptor-like 2 (EMR2), partial | Yeast E.coli Baculovirus Mammalian cell In Vivo Biotinylation in E.coli |
| CSB-CF887050HU | Recombinant Human EGF-like module-containing mucin-like hormone receptor-like 2 (EMR2) | in vitro E.coli expression system |






