ACHE
ACHE,即乙酰膽堿酯酶,別名AChE,是生物神經傳導中的一種關鍵性酶。它主要來源于生物體內,特別是在膽堿能突觸間隙中發揮作用。ACHE的作用機制是通過降解乙酰膽堿(ACh),從而終止神經遞質對突觸后膜的興奮作用,保證神經信號在生物體內的正常傳遞。此外,ACHE還參與細胞的發育和成熟,促進神經元發育和神經再生。ACHE與多種疾病如阿爾茲海默病、肝癌等密切相關。例如,在阿爾茲海默病中,抑制ACHE可以增加ACh的累積,從而緩解認知障礙。而在肝癌中,ACHE的低表達與肝癌細胞的生長和體內成瘤能力有關,提示其作為肝癌預后因子的潛力。
熱銷產品
Recombinant Human Acetylcholinesterase (ACHE) (CSB-MP001154HU)
驗證數據
(Tris-Glycine gel) Discontinuous SDS-PAGE (reduced) with 5% enrichment gel and 15% separation gel.
ACHE Antibody (CSB-PA5619A0Rb)
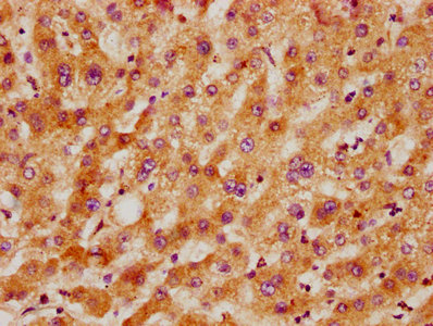
驗證數據
IHC image of CSB-PA5619A0Rb diluted at 1:300 and staining in paraffin-embedded human liver tissue performed on a Leica BondTM system. After dewaxing and hydration, antigen retrieval was mediated by high pressure in a citrate buffer (pH 6.0). Section was blocked with 10% normal goat serum 30min at RT. Then primary antibody (1% BSA) was incubated at 4°C overnight. The primary is detected by a biotinylated secondary antibody and visualized using an HRP conjugated SP system.
Immunofluorescence staining of MCF-7 cells with CSB-PA5619A0Rb at 1:100, counter-stained with DAPI. The cells were fixed in 4% formaldehyde, permeabilized using 0.2% Triton X-100 and blocked in 10% normal Goat Serum. The cells were then incubated with the antibody overnight at 4°C. The secondary antibody was Alexa Fluor 488-congugated AffiniPure Goat Anti-Rabbit IgG(H+L).
ACHE Antibodies
ACHE for Homo sapiens (Human)
| 產品貨號 | 產品名稱 | 種屬反應性 | 應用類型 |
|---|---|---|---|
| CSB-PA001154GA01HU | ACHE Antibody | Human,Mouse,Rat | ELISA,WB |
| CSB-PA547258 | ACHE Antibody | Human | ELISA,WB |
| CSB-PA010202 | ACHE Antibody | Human,Mouse,Rat | WB, IHC, ELISA |
| CSB-PA010203 | ACHE Antibody | Human,Mouse,Rat | WB, ELISA |
| CSB-PA904467 | ACHE Antibody | Human,Mouse,Rat | ELISA,WB |
| CSB-PA114463 | ACHE Antibody | Human,Mouse,Rat | ELISA,WB,IHC |
| CSB-PA5619A0Rb | ACHE Antibody | Human | ELISA, IHC, IF |
| CSB-PA5619B0Rb | ACHE Antibody, HRP conjugated | Human | ELISA |
| CSB-PA5619C0Rb | ACHE Antibody, FITC conjugated | Human |
ACHE Proteins
ACHE Proteins for Homo sapiens (Human)
| 產品貨號 | 產品名稱 | 來源 |
|---|---|---|
| CSB-YP001154HU CSB-BP001154HU CSB-EP001154HU-B |
Recombinant Human Acetylcholinesterase (ACHE) | Yeast Baculovirus In Vivo Biotinylation in E.coli |
| CSB-MP001154HU | Recombinant Human Acetylcholinesterase (ACHE) | Mammalian cell |
| CSB-MP001154HUd9 | Recombinant Human Acetylcholinesterase(ACHE) | Mammalian cell |
| CSB-EP001154HU | Recombinant Human Acetylcholinesterase (ACHE) | E.coli |
ACHE ELISA Kit
ACHE ELISA Kit for Homo sapiens (Human)
| 產品貨號 | 產品名稱 | 樣本類型 | 靈敏度 |
|---|---|---|---|
| CSB-E09670h | Human Acetylcholinesterase,AChE ELISA Kit | serum, plasma, tissue homogenates | 0.23 mU/mL |






