-
中文名稱:人GCGR重組蛋白
-
品名簡稱:Recombinant Human GCGR protein, partial (Active)
-
貨號:CSB-MP009316HU1
-
說明書:
-
規格:¥816
-
圖片:
-
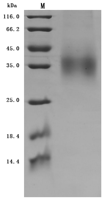
(Tris-Glycine gel) Discontinuous SDS-PAGE (reduced) with 5% enrichment gel and 15% separation gel.
-
Activity
Measured by its binding ability in a functional ELISA. Immobilized human GCGR at 2 μg/ml can bind Anti-GCGR recombinant antibody (CSB-RA009316A1HU), the EC50 is 3.747-6.666 ng/mL. Biological Activity Assay
-
-
促銷:
-
其他:
產品詳情
-
純度:Greater than 95% as determined by SDS-PAGE.
-
內毒素:Less than 1.0 EU/ug as determined by LAL method.
-
生物活性:Measured by its binding ability in a functional ELISA. Immobilized human GCGR at 2 μg/mL can bind Anti-GCGR recombinant antibody (CSB-RA009316A1HU), the EC50 is 3.747-6.666 ng/mL.
-
基因名:
-
Uniprot No.:
-
別名:GCGR; Glucagon receptor; GL-R
-
分子結構:
-
種屬:Homo sapiens (Human)
-
蛋白長度:Partial
-
來源:Mammalian cell
-
分子量:18.1 kDa
-
表達區域:26-136aa
-
氨基酸序列AQVMDFLFEKWKLYGDQCHHNLSLLPPPTELVCNRTFDKYSCWPDTPANTTANISCPWYLPWHHKVQHRFVFKRCGPDGQWVRGPRGQPWRDASQCQMDGEEIEVQKEVAK
-
蛋白標簽:N-terminal 10xHis-tagged and C-terminal Myc-tagged
-
產品提供形式:Lyophilized powder
Note: We will preferentially ship the format that we have in stock, however, if you have any special requirement for the format, please remark your requirement when placing the order, we will prepare according to your demand. -
緩沖液:Lyophilized from a 0.2 μm filtered 20 mM Tris-HCl, 0.5 M NaCl, 6% Trehalose, pH 8.0
-
復溶:We recommend that this vial be briefly centrifuged prior to opening to bring the contents to the bottom. Please reconstitute protein in deionized sterile water to a concentration of 0.1-1.0 mg/mL.We recommend to add 5-50% of glycerol (final concentration) and aliquot for long-term storage at -20°C/-80°C. Our default final concentration of glycerol is 50%. Customers could use it as reference.
-
儲存條件:Store at -20°C/-80°C upon receipt, aliquoting is necessary for mutiple use. Avoid repeated freeze-thaw cycles.
-
保質期:The shelf life is related to many factors, storage state, buffer ingredients, storage temperature and the stability of the protein itself.
Generally, the shelf life of liquid form is 6 months at -20°C/-80°C. The shelf life of lyophilized form is 12 months at -20°C/-80°C. -
貨期:3-7 business days
-
注意事項:Repeated freezing and thawing is not recommended. Store working aliquots at 4°C for up to one week.
-
產品描述:
Mammalian cell-expressed recombinant human GCGR is a partial length protein tagged with a 10xHis motif at the N-terminus and a Myc motif at the C-terminus. Its DNA sequence corresponds to amino acids 26-136 of the human GCGR. This GCGR protein has high purity, greater than 95% determined by SDS-PAGE. It migrated to the molecular weight band of about 32 kDa on the gel. Its endotoxin content is less than 1.0 EU/ug measured by the LAL method. It is also biologically active and its activity has been validated through a functional ELISA by binding to the anti-GCGR antibody. And it is in stock now.
GCGR, a member of class B GPCR, combines with the natural ligand glucagon to regulate blood glucose homeostasis. It is an important drug target for type II diabetes. A series of drugs targeting GCGR have been developed to relieve hyperglycemia in diabetic patients, including GCGR antagonists, antibodies, and antisense oligonucleotides of GCGR.
-
Datasheet & COA:Please contact us to get it.
相關產品
靶點詳情
-
功能:G-protein coupled receptor for glucagon that plays a central role in the regulation of blood glucose levels and glucose homeostasis. Regulates the rate of hepatic glucose production by promoting glycogen hydrolysis and gluconeogenesis. Plays an important role in mediating the responses to fasting. Ligand binding causes a conformation change that triggers signaling via guanine nucleotide-binding proteins (G proteins) and modulates the activity of down-stream effectors, such as adenylate cyclase. Promotes activation of adenylate cyclase. Besides, plays a role in signaling via a phosphatidylinositol-calcium second messenger system.
-
基因功能參考文獻:
- 3.0 A-resolution crystal structure of the full-length human glucagon receptor (GCGR) in complex with a glucagon analogue and partial agonist, NNC1702 PMID: 29300013
- work toward the mapping of interactions between the polypeptide hormone glucagon and the glucagon receptor PMID: 28508109
- 3.0 A crystal structure of full-length GCGR containing both the extracellular domain and transmembrane domain in an inactive conformation PMID: 28514451
- This work suggests that RAMP2 may modify the agonist activity and trafficking of the GCGR, with potential relevance to production of new peptide analogs with selective agonist activities. PMID: 28586439
- Data suggest that GCGR activation proceeds via a mechanism in which transmembrane helix 6 (TM6) is held in an inactive conformation by a conserved polar core and a hydrophobic lock (involving intracellular loop 3, IC3); mutations in the corresponding polar core of GCGR disrupt these inhibitory elements, allow TM6 to swing outward, and induce constitutive G protein signaling. PMID: 28356352
- The activation of the GCGR is characterized by the outward movement of the intracellular side of helix VI. In the active state of the GCGR, the Arg173(2.46)-Ser350(6.41) and Glu245(3.50)-Thr351(6.42) hydrogen bonds break, and the chi1 rotamer of Phe322(5.54) changes from perpendicular to parallel to helix VI. PMID: 27094704
- In the glucagon receptor (GCGR) and glucagon-like peptide-1 receptor (GLP-1R), the extracellular domain is required for signaling even when the hormone is covalently linked to the transmembrane domain. PMID: 27226600
- 2.5 A crystal structure of human GCGR in complex with the antagonist MK-0893, which is found to bind to an allosteric site outside the seven transmembrane helical bundle in a position between TM6 and TM7 extending into the lipid bilayer PMID: 27111510
- Molecular dynamics and disulfide crosslinking studies suggest that apo-GCGR can adopt both an open and closed conformation associated with extensive contacts between the ECD and 7TM domain. Glucagon binds to GCGR by a conformational selection mechanism. PMID: 26227798
- glucagon cell adenomatosis with GCGR germline mutations seems to follow an autosomal-recessive trait. PMID: 25695890
- Using a real-time time-resolved FRET-based internalization assay, we show that GLP-1R, GIPR, and GCGR internalize with differential properties PMID: 25451942
- crystal structure of the seven transmembrane helical domain of human GCGR at 3.4 A resolution, and a hybrid model of glucagon bound to GCGR to understand the molecular recognition of the receptor for its native ligand PMID: 23863937
- Letter/Case Report: nonfunctional glucagon cell adenomatosis with no detectable glucagon receptor mutations. PMID: 23407487
- GRA1 is a potent glucagon receptor antagonist with strong antihyperglycemic efficacy in preclinical models and prominent effects on hepatic gene-expression related to amino acid metabolism PMID: 23185367
- F22, V23, M27, and D15 of GCGR are the most important residues for glucagon binding. PMID: 22893257
- in addition to activation of the classic cAMP/protein kinase A (PKA) pathway, activation of GCGR also induced beta-catenin stabilization and activated beta-catenin-mediated transcription PMID: 22438981
- analysis of glucagon receptor antagonists with reduced molecular weight and lipophilicity PMID: 22119466
- The P86S mutant GCGR shows abnormal receptor internalization & calcium mobilization, & causes apoptosis. It cases Mahvash disease (hyperglucagonemia, hypoglycemia, pancreatic neuroendocrine tumors). PMID: 21680267
- substituted cysteine accessibility method and 3D-molecular modeling to study the N-terminal domain; results showed that Asp(63), Arg(116), and Lys(98) are essential for the receptor structure and/or ligand binding PMID: 20647307
- The [Ca2+] response is induced by glucagon mainly via the coupling of GCGR to the Galphaq/11 and Galphai/o proteins. PMID: 19903011
- The Gly40Ser polymorphism of the GCGR gene is associated with higher risk of hypertension and with enhanced proximal tubular sodium reabsorption. PMID: 11692154
- Gly40Ser mutation in the glucagon receptor gene is not associated with type 2 diabetes in a Brazilian population, but a reduction of insulin secretion was observed in Gly40Ser carriers. PMID: 11961492
- Three distinct epitopes on the extracellular face of the glucagon receptor determine specificity for the glucagon amino terminus PMID: 12724331
- Expression of peroxisome proliferator-activated receptor gamma coactivator 1alpha (PGC-1alpha), known to be upregulated in the liver by fasting, was found to abolish the cAMP-dependent downregulation of glucagon receptor mRNA expression in vitro. PMID: 17374560
顯示更多
收起更多
-
亞細胞定位:Cell membrane; Multi-pass membrane protein.
-
蛋白家族:G-protein coupled receptor 2 family
-
數據庫鏈接:
Most popular with customers
-
Recombinant Human Intestinal-type alkaline phosphatase (ALPI) (Active)
Express system: Mammalian cell
Species: Homo sapiens (Human)
-
Express system: Mammalian cell
Species: Homo sapiens (Human)
-
Recombinant Macaca fascicularis Trophoblast glycoprotein (TPBG), partial (Active)
Express system: Mammalian cell
Species: Macaca fascicularis (Crab-eating macaque) (Cynomolgus monkey)
-
Recombinant Human Claudin-6 (CLDN6)-VLPs, Fluorescent (Active)
Express system: Mammalian cell
Species: Homo sapiens (Human)
-
Recombinant Human C-C chemokine receptor type 8 (CCR8)-VLPs (Active)
Express system: Mammalian cell
Species: Homo sapiens (Human)
-
Recombinant Human CD81 antigen (CD81), partial (Active)
Express system: Mammalian cell
Species: Homo sapiens (Human)
-
Recombinant Human Interleukin-2 (IL2) (Active)
Express system: Mammalian cell
Species: Homo sapiens (Human)
-
Recombinant Human Gastric inhibitory polypeptide receptor(GIPR),partial (Active)
Express system: Mammalian cell
Species: Homo sapiens (Human)





f4-AC1.jpg)










