MDK Recombinant Monoclonal Antibody
-
中文名稱:MDK重組抗體
-
貨號:CSB-RA276759A0HU
-
規格:¥1320
-
圖片:
-
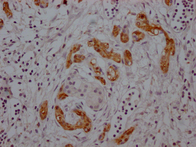
IHC image of CSB-RA276759A0HU diluted at 1:100 and staining in paraffin-embedded human pancreatic cancer performed on a Leica BondTM system. After dewaxing and hydration, antigen retrieval was mediated by high pressure in a citrate buffer (pH 6.0). Section was blocked with 10% normal goat serum 30min at RT. Then primary antibody (1% BSA) was incubated at 4℃ overnight. The primary is detected by a Goat anti-rabbit IgG polymer labeled by HRP and visualized using 0.05% DAB.
-
-
其他:
產品詳情
-
產品描述:CSB-RA276759A0HU MDK重組單克隆抗體是一款經多種實驗平臺嚴格驗證的高特異性科研工具,靶向人類中期因子(Midkine,MDK)。MDK是一種多功能肝素結合生長因子,廣泛參與胚胎發育、組織修復及腫瘤發生等生物學過程,尤其在神經母細胞瘤、膠質瘤等惡性腫瘤的增殖侵襲中發揮關鍵作用,同時與慢性炎癥、阿爾茨海默病等病理機制密切相關。本抗體通過ELISA和免疫組化(IHC)驗證,在IHC應用中推薦使用1:50-1:200稀釋比例,可清晰顯示石蠟包埋組織切片中MDK蛋白的定位與表達水平,其高親和力與低交叉反應性確保實驗結果的可靠性。該產品適用于腫瘤微環境解析、疾病分子機制探索等基礎研究,支持癌癥生物標志物篩選、病理模型驗證及藥物靶點鑒定等方向,為研究MDK在細胞信號傳導、血管生成及疾病進展中的功能提供精準檢測方案,助力于分子病理學和轉化醫學領域的科研突破。
-
Uniprot No.:
-
基因名:
-
別名:Midkine (MK) (Amphiregulin-associated protein) (ARAP) (Midgestation and kidney protein) (Neurite outgrowth-promoting factor 2) (Neurite outgrowth-promoting protein), MDK, MK1 NEGF2
-
反應種屬:Human
-
免疫原:A synthesized peptide derived from human Midkine
-
免疫原種屬:Homo sapiens (Human)
-
標記方式:Non-conjugated
-
克隆類型:Monoclonal
-
抗體亞型:Rabbit IgG
-
純化方式:Affinity-chromatography
-
克隆號:2G3
-
濃度:It differs from different batches. Please contact us to confirm it.
-
保存緩沖液:Rabbit IgG in 10mM phosphate buffered saline , pH 7.4, 150mM sodium chloride, 0.05% BSA, 0.02% sodium azide and 50% glycerol.
-
產品提供形式:Liquid
-
應用范圍:ELISA, IHC
-
推薦稀釋比:
Application Recommended Dilution IHC 1:50-1:200 -
Protocols:
-
儲存條件:Upon receipt, store at -20°C or -80°C. Avoid repeated freeze.
-
貨期:Basically, we can dispatch the products out in 1-3 working days after receiving your orders. Delivery time maybe differs from different purchasing way or location, please kindly consult your local distributors for specific delivery time.
-
用途:For Research Use Only. Not for use in diagnostic or therapeutic procedures.
相關產品
靶點詳情
-
功能:Secreted protein that functions as cytokine and growth factor and mediates its signal through cell-surface proteoglycan and non-proteoglycan receptors. Binds cell-surface proteoglycan receptors via their chondroitin sulfate (CS) groups. Thereby regulates many processes like inflammatory response, cell proliferation, cell adhesion, cell growth, cell survival, tissue regeneration, cell differentiation and cell migration. Participates in inflammatory processes by exerting two different activities. Firstly, mediates neutrophils and macrophages recruitment to the sites of inflammation both by direct action by cooperating namely with ITGB2 via LRP1 and by inducing chemokine expression. This inflammation can be accompanied by epithelial cell survival and smooth muscle cell migration after renal and vessel damage, respectively. Secondly, suppresses the development of tolerogenic dendric cells thereby inhibiting the differentiation of regulatory T cells and also promote T cell expansion through NFAT signaling and Th1 cell differentiation. Promotes tissue regeneration after injury or trauma. After heart damage negatively regulates the recruitment of inflammatory cells and mediates cell survival through activation of anti-apoptotic signaling pathways via MAPKs and AKT pathways through the activation of angiogenesis. Also facilitates liver regeneration as well as bone repair by recruiting macrophage at trauma site and by promoting cartilage development by facilitating chondrocyte differentiation. Plays a role in brain by promoting neural precursor cells survival and growth through interaction with heparan sulfate proteoglycans. Binds PTPRZ1 and promotes neuronal migration and embryonic neurons survival. Binds SDC3 or GPC2 and mediates neurite outgrowth and cell adhesion. Binds chondroitin sulfate E and heparin leading to inhibition of neuronal cell adhesion induced by binding with GPC2. Binds CSPG5 and promotes elongation of oligodendroglial precursor-like cells. Also binds ITGA6:ITGB1 complex; this interaction mediates MDK-induced neurite outgrowth. Binds LRP1; promotes neuronal survival. Binds ITGA4:ITGB1 complex; this interaction mediates MDK-induced osteoblast cells migration through PXN phosphorylation. Binds anaplastic lymphoma kinase (ALK) which induces ALK activation and subsequent phosphorylation of the insulin receptor substrate (IRS1), followed by the activation of mitogen-activated protein kinase (MAPK) and PI3-kinase, and the induction of cell proliferation. Promotes epithelial to mesenchymal transition through interaction with NOTCH2. During arteriogenesis, plays a role in vascular endothelial cell proliferation by inducing VEGFA expression and release which in turn induces nitric oxide synthase expression. Moreover activates vasodilation through nitric oxide synthase activation. Negatively regulates bone formation in response to mechanical load by inhibiting Wnt/beta-catenin signaling in osteoblasts. In addition plays a role in hippocampal development, working memory, auditory response, early fetal adrenal gland development and the female reproductive system.
-
基因功能參考文獻:
- Studied levels of mucin 16 (CA125), adenosine deaminase and midkine as tumor markers in nonsmall cell lung cancer-associated malignant pleural effusion. PMID: 29797475
- we show that MK can potentially be used as a surrogate biomarker for predicting DTC metastases when Tg is not suitable due to TgAb positivity. PMID: 28240744
- Midkine expression is not significantly linked to metastatic disease in pancreatic ductal adenocarcinoma. PMID: 29355490
- High midkine expression is associated with invasion and metastasis in Hepatocellular Carcinoma. PMID: 29936723
- This study has demonstrated an important association between increased serum MK (midkine)levels and risk factors of atherosclerosis such as HT(Hypertension),increased total and LDL cholesterol. PMID: 29984722
- Midkine can be considered as both a differentiating factor and a molecular-targeted therapy in odontogenic lesions PMID: 29383694
- Positive expression of MK predicts poor prognosis in patients with resectable combined hepatocellular cholangiocarcinoma. PMID: 29486735
- The data of this study showed that the serum MK concentration in ASD patients is significantly higher than healthy controls. PMID: 29164967
- MDK promoted gemcitabine resistance of biliary tract cancer through inducing epithelial to mesenchymal transition via upregulating Notch1. PMID: 29344648
- These results demonstrate that analysis of IHC expression patterns of MK and NANOG in pretreatment biopsy specimens during the work-up period can provide a more definitive prognosis prediction for each oral squamous cell carcinoma (OSCC) patient that can help clinicians to develop a more precise individual treatment modality. PMID: 29113102
- Elevated plasma midkine and pleiotrophin levels in systemic lupus erythematosus (SLE) patients suggest their involvement in this disease. PMID: 27903979
- Urinary midkine may be an effective biological marker for early diagnosis of acute kidney injury. PMID: 27530994
- suppression of midkine gene promoted the antitumoral effect of cisplatin on human gastric cell line AGS in vitro and in vivo via Notch signaling pathway. PMID: 28656262
- Results revealed that ectopic overexpression of midkine in HCC cell lines with IGF-1R inhibition markedly rescued inhibition of HCC cell proliferation, migration, and invasion. These data imply that inhibition of IGF-1R suppresses HCC growth and invasion via down-regulating midkine expression. PMID: 27813495
- Midkine is involved in bowel inflammation in UC and lymph node metastasis in CRC, rendering midkine an attractive target for their treatment. PMID: 27692729
- According to our results, serum MK has greater diagnostic value in diagnosing cancer, however, more reliable studies in larger cohort should be conducted to evaluate the diagnostic accuracy of serum MK. PMID: 28686647
- Data suggest that mature KLK9 (kallikrein 9) is a glycosylated chymotrypsin-like enzyme with strong preference for tyrosine over phenylalanine at P1 cleavage position; substrate specificity of KLK9 appears to extend to KLK10 and midkine; enzyme activity is enhanced by Mg2+ and Ca2+, but is reversibly attenuated by Zn2+; KLK9 is inhibited in vitro by many naturally occurring or synthetic protease inhibitors. PMID: 28559305
- this paper shows that measurement of serum levels of MK is helpful in confirming the diagnosis of Henoch-Schonlein purpura and predicting related nephritis in Chinese children PMID: 27497193
- midkine may be a good inflammatory marker in renal transplant recipients as in other inflammatory diseases. Moreover, it seems that it is not affected by factors other than inflammation during the post-transplantation period. PMID: 27470002
- MK high expression is an independent adverse prognostic factor in childhood ALL. Its level may be incorporated into an improved risk classification system for ALL and suggest the need of alternative regimens. PMID: 26352402
- Study shows that overexpression of serum MK levels in patients with head and neck squamous cell carcinoma are associated with poor prognosis. PMID: 26798989
- MK was significantly elevated in vitamin D deficiency and associated with anti-Saccharomyces cerevisiae antibodies positivity which was significantly increased in vitamin D deficiency PMID: 26566633
- MDK plays an important role in non-small cell lung cancer progression and prognosis and may act as a convincing prognostic indicator for non-small cell lung cancer patients. PMID: 26656665
- The concentration of MDK in amniotic fluid declined with gestational age.MDK concentrations in amniotic fluid were far higher than in maternal plasma. PMID: 27089523
- The Circulating Levels of Selenium, Zinc, Midkine, Some Inflammatory Cytokines, and Angiogenic Factors in Mitral Chordae Tendineae Rupture. PMID: 25787827
- overexpression of midkine protein serves as an unfavorable prognostic biomarker in breast cancer patients PMID: 26159850
- our results suggest that midkine expression could be a clinically useful marker in predicting the presence of multiple lymph node metastases in BRAFV600E papillary thyroid carcinoma. PMID: 26297257
- PLSCR1 positively regulates hepatic carcinoma cell proliferation and migration through interacting with midkine PMID: 26642712
- Use hybrid-type modified chitosan derivative nanoparticles to deliver midkine-siRNA to HepG2 cells. PMID: 25655295
- Data shows the possibility that Staphylococcus aureus modulates and corrupts host airway defense lines such as MK by fragmentation in both immuno-competent and -suppressed patient groups. PMID: 24043271
- SP1 directly up-regulated the expression of midkine (MDK), and the SP1-MDK axis cooperated in glioma tumorigenesis. PMID: 25428991
- Results from targeted sequencing in patients with acute lymphoblastic leukemia identified KMT2D and KIF1B as novel putative driver genes and a putative regulatory non-coding variant that coincided with overexpression of the growth factor MDK. PMID: 25355294
- MK expression in glioma was higher than in paratumor tissues. Overexpression was associated with the WHO grade, low Karnofsky score, time to recurrence, and poor survival. Co-expression of pleiotrophin and MK had a worse prognosis than either alone. PMID: 25001988
- midkine is as good as or even better than thyroglobulin to screen patients with thyroid nodules for differentiated thyroid cancer before surgery, and to predict whether metastases exist PMID: 25817231
- MK was expressed in adipocytes and regulated by inflammatory modulators. a significant increase in MK levels was observed in adipose tissue of obese ob/ob mice as well as in serum of overweight/obese subjects when compared with their respective controls. PMID: 24516630
- High expression levels of Midkine in gastric cardiac adenocarcinoma tissues may indicate a differentiation stage that is characteristic of malignancy, a late clinical stage and a poor prognosis. PMID: 25017879
- Midkine protein level is significantly higher in the papillary thyroid cancer than in the multi-nodular goiter patients. PMID: 25283079
- High levels of midkine in severe peripheral artery disease patients introduce this cytokine as a possible novel effector in the advanced atherosclerotic process. PMID: 25056169
- frequently expressed in pancreatic cancer and associated with perineural invasion PMID: 24659893
- Study presents novel MK functions and new upstream signaling effectors that induce its expression to promote PDAC. PMID: 24567526
- Midkine is specifically expressed in papillary thyroid cancer tissues and is associated with clinicopathological features and BRAF mutation. PMID: 24272599
- MK might play an important role in the progression of HNSCC and may be a useful prognostic factor PMID: 24164595
- PKCdelta/midkine axis mediates hypoxic proliferation and differentiation of lung epithelial cells. PMID: 24500281
- Circulating Midkine is significantly higher in malignant and non-malignant colorectal diseases than in apparently healthy individuals with more pronounced elevation in colorectal cancer than in non-malignant conditions. PMID: 23899719
- serum MDK level was significantly decreased in patients with hepatocellular carcinomas after curative resection and re-elevated when tumor relapse occurred. PMID: 23719264
- High MK expression was found in cystic fibrosis lung tissue compared with control samples, involving epithelia of the large and small airways, alveoli, and cells of the submucosa (i.e., neutrophils and mast cells). PMID: 23815177
- This study shows that airway epithelial cells of large airways and alveoli have a constitutive production of MK that is part of the bactericidal activity present in the air surface liquid, at least in vitro, and may thus be an important part of this arm of airway host defense. PMID: 23391998
- The MDK signal peptide contains both subdominant and cryptic CD4+ T cell epitopes. PMID: 23553629
- Midkine is differently expressed in tumors arising from colonic and rectal mucosa, where it may play diverse roles in carcinogenesis. PMID: 22562257
- MDK upregulation in castration resistant prostate cancer is associated with neuroendicrine differentiation (shown by its relation to CGA and TUBB3). PMID: 23129424
顯示更多
收起更多
-
亞細胞定位:Secreted.
-
蛋白家族:Pleiotrophin family
-
組織特異性:Expressed in various tumor cell lines. In insulinoma tissue predominantly expressed in precancerous lesions.
-
數據庫鏈接:
Most popular with customers
-
-
Phospho-YAP1 (S127) Recombinant Monoclonal Antibody
Applications: ELISA, WB, IHC
Species Reactivity: Human
-
-
-
-
-
-















