ATP5B Recombinant Monoclonal Antibody
-
中文名稱:ATP5B重組抗體
-
貨號:CSB-RA216446A0HU
-
規格:¥1320
-
圖片:
-
Western Blot
Positive WB detected in: 293T whole cell lysate, HT29 whole cell lysate, HepG2 whole cell lysate, Jurkat whole cell lysate, 293 whole cell lysate, Rat Heart tissue, Mouse Heart tissue
All lanes: ATP5F1B antibody at 1:2000
Secondary
Goat polyclonal to rabbit IgG at 1/50000 dilution
Predicted band size: 57 kDa
Observed band size: 57 kDa -
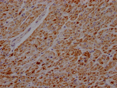
IHC image of CSB-RA216446A0HU diluted at 1:100 and staining in paraffin-embedded human heart tissue performed on a Leica BondTM system. After dewaxing and hydration, antigen retrieval was mediated by high pressure in a citrate buffer (pH 6.0). Section was blocked with 10% normal goat serum 30min at RT. Then primary antibody (1% BSA) was incubated at 4℃ overnight. The primary is detected by a Goat anti-rabbit IgG polymer labeled by HRP and visualized using 0.05% DAB.
-
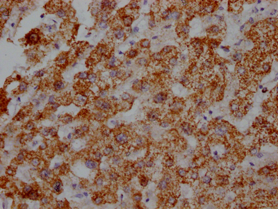
IHC image of CSB-RA216446A0HU diluted at 1:100 and staining in paraffin-embedded human liver tissue performed on a Leica BondTM system. After dewaxing and hydration, antigen retrieval was mediated by high pressure in a citrate buffer (pH 6.0). Section was blocked with 10% normal goat serum 30min at RT. Then primary antibody (1% BSA) was incubated at 4℃ overnight. The primary is detected by a Goat anti-rabbit IgG polymer labeled by HRP and visualized using 0.05% DAB.
-
-
其他:
產品詳情
-
產品描述:ATP5B重組單克隆抗體(CSB-RA216446A0HU)靶向線粒體ATP合成酶的β亞基,該蛋白是線粒體氧化磷酸化復合體的核心組分,負責催化ATP生成,在細胞能量代謝中發揮關鍵作用。本抗體采用重組技術制備,經嚴格的質控驗證,在多種實驗體系中展現出優異的性能:Western Blot(WB)檢測可識別內源性ATP5B蛋白并呈現清晰的特異性條帶,推薦稀釋范圍為1:500-1:5000;免疫組化(IHC)實驗顯示其能精準定位線粒體區域的組織樣本染色,推薦稀釋比為1:50-1:200;同時兼容ELISA平臺,為靶蛋白定量分析提供高靈敏度工具。該抗體適用于研究能量代謝調控機制、線粒體功能障礙相關疾病模型(如神經退行性疾病或代謝綜合征)的分子機制探索,以及細胞呼吸鏈復合體相互作用的分子生物學研究,為細胞生物學、生物能學及疾病病理學領域的科研工作者提供高特異性、高批次一致性的可靠試劑。
-
Uniprot No.:
-
基因名:
-
別名:ATP synthase subunit beta, mitochondrial (EC 3.6.3.14), ATP5B, ATPMB ATPSB
-
反應種屬:Human, Mouse, Rat
-
免疫原:A synthesized peptide derived from human ATPB
-
免疫原種屬:Homo sapiens (Human)
-
標記方式:Non-conjugated
-
克隆類型:Monoclonal
-
抗體亞型:Rabbit IgG
-
純化方式:Affinity-chromatography
-
克隆號:5F10
-
濃度:It differs from different batches. Please contact us to confirm it.
-
保存緩沖液:Rabbit IgG in 10mM phosphate buffered saline , pH 7.4, 150mM sodium chloride, 0.05% BSA, 0.02% sodium azide and 50% glycerol.
-
產品提供形式:Liquid
-
應用范圍:ELISA, WB, IHC
-
推薦稀釋比:
Application Recommended Dilution WB 1:500-1:5000 IHC 1:50-1:200 -
Protocols:
-
儲存條件:Upon receipt, store at -20°C or -80°C. Avoid repeated freeze.
-
貨期:Basically, we can dispatch the products out in 1-3 working days after receiving your orders. Delivery time maybe differs from different purchasing way or location, please kindly consult your local distributors for specific delivery time.
-
用途:For Research Use Only. Not for use in diagnostic or therapeutic procedures.
相關產品
靶點詳情
-
功能:Mitochondrial membrane ATP synthase (F(1)F(0) ATP synthase or Complex V) produces ATP from ADP in the presence of a proton gradient across the membrane which is generated by electron transport complexes of the respiratory chain. F-type ATPases consist of two structural domains, F(1) - containing the extramembraneous catalytic core, and F(0) - containing the membrane proton channel, linked together by a central stalk and a peripheral stalk. During catalysis, ATP synthesis in the catalytic domain of F(1) is coupled via a rotary mechanism of the central stalk subunits to proton translocation. Subunits alpha and beta form the catalytic core in F(1). Rotation of the central stalk against the surrounding alpha(3)beta(3) subunits leads to hydrolysis of ATP in three separate catalytic sites on the beta subunits.
-
基因功能參考文獻:
- The results revealed that ATP5B expression is associated with the process of keratinocyte differentiation which may be related to intracellular ATP synthesis. PMID: 28209970
- findings show the T163S mutation affects the catalytic activity with a decrease in Ca2+-dependent and an increase in Mg2+-dependent ATP hydrolysis and desensitizes the permeability transition pore to Ca2+, resulting in increased resistance to Ca2+-dependent mitochondrial depolarization and to cell death PMID: 28507163
- experiments implicate circulating NEFA in obesity in suppressing muscle protein metabolism, and establish impaired beta-F1-ATPase translation as an important consequence of obesity PMID: 27532680
- ATP5B, as a binding partner of a metastasis-related short peptide (B04) on prostate cancer cells, is involved in promoting prostate cancer metastasis. PMID: 28259978
- Results show that the relationship between ATPsyn-beta and insulin secretion deficiency suggests that ATPsyn-beta potentially could serve as a marker for type 2 diabetes mellitus disease risk in women with polycystic ovary syndrome. PMID: 28397049
- These results suggested that increasing levels of ATP5B and ETFB were associated with worsening renal injury. PMID: 27840937
- In this instance, the ATP5B/CALR/HSP90B1/HSPB1/HSPD1-signaling network was revealed as the predominant target which was associated with the majority of the observed protein-protein interactions. As a result, the identified targets may be useful in explaining the anticancer mechanisms of ursolic acid and as potential targets for colorectal cancer therapy. PMID: 28347227
- High mRNA levels of ATP5B are associated with glioblastoma. PMID: 26526033
- Hypermethylation of ATPsyn-beta gene promoter is associated with a down-regulated mRNA expression and chemoresistance in AML patients. PMID: 26835708
- PKA phosphorylates the ATPase inhibitory factor 1 and inactivates its capacity to bind and inhibit the mitochondrial H(+)-ATP synthase. PMID: 26387949
- Our study suggested that positive beta2M expression or loss of ATP5B expression in tumor tissues is closely related to the metastasis, invasion, and poor-prognosis of gallbladder cancer. PMID: 25311765
- Mitochondrial ATPsyn-beta expression and ATP synthase activity in relapsed/refractory acute myeloid leukemia patients were downregulated. This downregulated expression exhibited a positive correlation with the response to adriamycin of primary cells. PMID: 24391795
- ATP5B gene expressions were detected significantly higher in colorectal cancer samples. PMID: 24583174
- H2O2 may induce melanogenesis via the upregulation of PAH and activation of cAMP/p-CREB/MITF signaling by increasing intracellular cAMP levels through the induction of ATP5B. PMID: 23523934
- Identification of ATP synthase as a lipid peroxide protein adduct in pancreatic islets from humans with and without type 2 diabetes mellitus. PMID: 23463654
- miR-127-5p targets the 3'UTR of beta-F1-ATPase mRNA (beta-mRNA) significantly reducing its translational efficiency. PMID: 22433606
- Ectopic ATP synthase could be an accessible molecular target for inhibiting HIV-1 proliferation in vivo. PMID: 22753871
- Immunohistochemical analysis on a malignant mesothelioma tissue microarray showed cytoplasmic staining in 28 of 33 samples for vimentin and strong cytoplasmic staining in14 and weak in 16 samples for ss-F1-ATPase. PMID: 22022619
- Disturbed flow and hypercholesterolemia synergistically promote gamma/delta T-lymphocyte activation by the membrane translocation of ATPSbeta in endothelial cells. PMID: 21193741
- Results suggested that the ectopic expression of ATP synthase is a consequence of translocation from the mitochondria. PMID: 20705594
- Molecular and functional studies indicate that the interaction of G3BP1 with beta-F1 mRNA inhibits its translation at the initiation level, supporting a role for G3BP1 in the glycolytic switch that occurs in cancer. PMID: 20663914
- ATP synthase beta is phosphorylated at multiple sites and shows abnormal phosphorylation at specific sites in insulin-resistant muscle PMID: 20012595
- Findings of the present study support the hypothesis that down-regulation of the bioenergetic activity of mitochondria in human tumours is exerted by translation silencing of beta-F1-ATPase mRNA. PMID: 20028336
- Co-immunoprecipitation experiments in the presence of alpha-methyl mannose verified the binding of Escherichia coli FimH to ATP synthase beta-subunit of human brain microvascular endothelial cells. PMID: 20067530
- Ectopic beta-chain of ATP synthase is an apolipoprotein A-I receptor in hepatic HDL endocytosis PMID: 12511957
- Membrane-bound ATP synthase functions as a receptor for CF6 and may have a previously unsuspected role in the genesis of hypertension by modulating the concentration of intracellular hydrogen. PMID: 16230521
- adenosine/uridine (AU)-rich element-binding proteins TIA-1 (T-cell intracellular antigen-1), TIAR (TIA-1-related protein), and HuR (Hu antigen R) interact with the beta-F1-ATPase mRNA through an AU-rich sequence located to the 3'-UTR. PMID: 16890199
- This short review summarizes demonstrations of ATP5B (complex 5 of oxidative phosphorylation) subunit that show its movement under stereochemical alterations known to be induced during the binding of ADP and synthesis of ATP. PMID: 16927672
- cholesterol exposure increased the level of ATPS-beta, along with Cav-1 and cholesterol in caveolae. the ectopic localization of ATPS-beta may participate in the energy balance of cells in response to the change in intracellular cholesterol levels. PMID: 16996794
- conclude that ATP synthase beta-subunit may have an important role in the glucolipotoxicity of islet cells PMID: 18284036
- Low levels of beta-F1-ATPase are sensitive to combined platinum and 2-deoxy-D-glucose treatment in ovarian carcinoma. PMID: 19567816
顯示更多
收起更多
-
亞細胞定位:Mitochondrion inner membrane; Peripheral membrane protein; Matrix side.
-
蛋白家族:ATPase alpha/beta chains family
-
數據庫鏈接:
Most popular with customers
-
-
Phospho-YAP1 (S127) Recombinant Monoclonal Antibody
Applications: ELISA, WB, IHC
Species Reactivity: Human
-
-
-
-
-
-















