ARNT Recombinant Monoclonal Antibody
-
中文名稱:ARNT重組抗體
-
貨號:CSB-RA002121A0HU
-
規格:¥1320
-
圖片:
-
Western Blot
Positive WB detected in: Hela whole cell lysate, MCF-7 whole cell lysate, HepG2 whole cell lysate, K562 whole cell lysate
All lanes: ARNT antibody at 1.83μg/ml
Secondary
Goat polyclonal to rabbit IgG at 1/50000 dilution
Predicted band size: 87, 85, 86 KDa
Observed band size: 87 KDa -
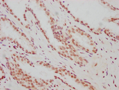
IHC image of CSB-RA002121A0HU diluted at 1:183 and staining in paraffin-embedded human prostate cancer performed on a Leica BondTM system. After dewaxing and hydration, antigen retrieval was mediated by high pressure in a citrate buffer (pH 6.0). Section was blocked with 10% normal goat serum 30min at RT. Then primary antibody (1% BSA) was incubated at 4℃ overnight. The primary is detected by a biotinylated secondary antibody and visualized using an HRP conjugated SP system.
-
Immunoprecipitating HIF-1 beta in Hela whole cell lysate
Lane 1: Rabbit control IgG instead of CSB-RA002121A0HU in Hela whole cell lysate. For western blotting, a HRP-conjugated Protein G antibody was used as the secondary antibody (1/2000)
Lane 2: CSB-RA002121A0HU (3μg) + Hela whole cell lysate (500μg)
Lane 3: Hela whole cell lysate (20μg)
-
-
其他:
產品詳情
-
產品描述:CSB-RA002121A0HU ARNT重組單克隆抗體是針對芳香烴受體核轉位蛋白(ARNT)研發的高特異性科研工具。該靶蛋白作為bHLH-PAS家族核心成員,通過與HIF-1α或AhR形成功能性異源二聚體,在細胞缺氧應激、代謝調控及環境污染物應答中發揮關鍵作用。本產品經多平臺驗證顯示優異性能:Western Blot實驗可識別天然構象的ARNT蛋白并獲得清晰的特異性條帶;免疫組化實驗能準確定位細胞核/胞質內的靶標分布;免疫共沉淀實驗可高效捕獲內源性ARNT及其互作蛋白。推薦稀釋度為WB 1:500-1:5000、IHC 1:50-1:200、IP 1:200-1:1000,適用于探究缺氧信號通路調控機制、代謝相關疾病模型構建、環境毒物細胞應答研究等領域。該抗體具備高批次間一致性,可滿足基因表達調控、蛋白質互作網絡分析等基礎研究需求,為腫瘤微環境研究、代謝綜合征機制探索及毒理學實驗提供可靠檢測工具。
-
Uniprot No.:
-
基因名:
-
別名:arnT antibody; ARNT protein antibody; ARNT_HUMAN antibody; Aryl hydrocarbon receptor nuclear translocator antibody; bHLHe2 antibody; Class E basic helix-loop-helix protein 2 antibody; Dioxin receptor antibody; Dioxin receptor nuclear translocator antibody; Drnt antibody; HIF 1 beta antibody; HIF 1beta antibody; HIF-1-beta antibody; HIF1-beta antibody; HIF1B antibody; HIF1beta antibody; Hypoxia Inducible Factor 1 antibody; Hypoxia inducible factor 1 beta antibody; Hypoxia-inducible factor 1-beta antibody; nuclear translocator antibody; Tango antibody
-
反應種屬:Human
-
免疫原:A synthesized peptide derived from human ARNT
-
免疫原種屬:Homo sapiens (Human)
-
標記方式:Non-conjugated
-
克隆類型:Monoclonal
-
抗體亞型:Rabbit IgG
-
純化方式:Affinity-chromatography
-
克隆號:2F11
-
濃度:It differs from different batches. Please contact us to confirm it.
-
保存緩沖液:Rabbit IgG in 10mM phosphate buffered saline , pH 7.4, 150mM sodium chloride, 0.05% BSA, 0.02% sodium azide and 50% glycerol.
-
產品提供形式:Liquid
-
應用范圍:ELISA, WB, IHC, IP
-
推薦稀釋比:
Application Recommended Dilution WB 1:500-1:5000 IHC 1:50-1:200 IP 1:200-1:1000 -
Protocols:
-
儲存條件:Upon receipt, store at -20°C or -80°C. Avoid repeated freeze.
-
貨期:Basically, we can dispatch the products out in 1-3 working days after receiving your orders. Delivery time maybe differs from different purchasing way or location, please kindly consult your local distributors for specific delivery time.
-
用途:For Research Use Only. Not for use in diagnostic or therapeutic procedures.
相關產品
靶點詳情
-
功能:Required for activity of the Ah (dioxin) receptor. This protein is required for the ligand-binding subunit to translocate from the cytosol to the nucleus after ligand binding. The complex then initiates transcription of genes involved in the activation of PAH procarcinogens. The heterodimer binds to core DNA sequence 5'-TACGTG-3' within the hypoxia response element (HRE) of target gene promoters and functions as a transcriptional regulator of the adaptive response to hypoxia. The heterodimer ARNT:AHR binds to core DNA sequence 5'-TGCGTG-3' within the dioxin response element (DRE) of target gene promoters and activates their transcription.
-
基因功能參考文獻:
- Genetic variation at the 8q24.21 renal cancer susceptibility locus affects HIF1A and HIF1B binding to a MYC enhancer. PMID: 27774982
- in transcriptionally active heterodimer with AHR, which recognizes the dioxin response element (DRE) in the promoter of downstream genes, right next to the DRE-docking sites is the extensive dimerization surface that is more hydrophobic than other surface areas, indicating that the dimerization interface of the AHR transcription complex is largely dictated by hydrophobic contacts PMID: 28396409
- Here the authors examined the crystal structures of multi-domain NPAS1-ARNT and NPAS3-ARNT-DNA complexes, discovering each to contain four putative ligand-binding pockets. PMID: 27782878
- Findings reveal that certain blood cancers rely on ARNT isoform 1 to potentiate proliferation by antagonizing RelB and p53-dependent cell cycle arrest and apoptosis. PMID: 26909609
- The structure clearly disclosed that AhRR competitively represses AhR binding to ARNT and target DNA and further suggested the existence of an AhRR-ARNT-specific repression mechanism. This study provides a structural basis for understanding the mechanism by which AhRR represses AhR-mediated gene transcription. PMID: 28904176
- Study showed that polymorphism rs2228099 of the ARNT gene could be a novel susceptibility gene to essential hypertension. PMID: 27977510
- The results revealed a HIF-1alpha-dependent mechanism leading to ARNT upregulation in hypoxia. PMID: 27362802
- The protein levels of phosphorylated (p)Akt, Erk1/2, pErk1/2, HIF1alpha and HIF1beta were significantly increased by 5.89, 0.5, 0.59, 1.46 and 0.92fold, respectively, in the patients with PAH, compared with those in the controls group PMID: 27667582
- this study shows that ARNT is upregulated in skin from atopic dermatitis patients in China PMID: 27129092
- Authors report here that not only HIF1alpha but also ARNT regulates VEGF expression in 3D cancer spheroids. Results suggest the utility of the in vitro 3D cancer spheroid model for investigating angiogenesis in cancerous tissues. PMID: 27542820
- The results of this study indicate that ARNT depletion renders tumour cells susceptible to radiation whereas overexpression of this transcription factor confers radioresistance PMID: 26572229
- HIF-1beta might act as a novel cross-link between the HIF and NF-kappaB pathways in suppression of angiogenesis by LDL, while proteasome inhibitors might promote angiogenesis by reactivating this signaling cascade under hyperlipidemia. PMID: 26388611
- ARNT Val189Val polymorphism is not associated with endometriosis in Asians. PMID: 26101050
- HIF1 regulates claudin-1 in intestinal epithelium. This regulation is important for intestinal epithelial tight junction integrity. PMID: 25904334
- Down-regulation of ARNT promotes colorectal cancer metastasis by activating the fibronectin/integrin beta1/FAK axis. PMID: 25839165
- AhR/ARNT activation and overexpression of BCL6 are collectively responsible for differential expression of more than 100 genes in diffuse large B-cell lymphoma cell line. PMID: 25769544
- Data indicate that silencing of hypoxia-inducible factor-1 beta (HIF-1beta) sensitizes tumor cells to hypoxic apoptosis. PMID: 25068796
- ARNT expression in the placental vasculature mediates key angiogenic expression and fetoplacental endothalial cell angiogenesis, and low ARNT expression in FGRadv ECs appears to be a key factor in deficient angiogenesis. PMID: 25343232
- findings suggest that TACC3 could be recruited as a bridge to cooperatively mediate between the HIF-2alpha PAS-B.ARNT PAS-B complex, thereby participating more directly in HIF-dependent gene transcription than previously anticipated PMID: 25627682
- The objective of this review is therefore to highlight and summarize current knowledge regarding the hypoxia-dependent upregulation of ARNT PMID: 24849811
- Arnt suppressed CXCL8, but did not prevent the p65-activation directly. PMID: 25201625
- knockdown of ARNT in cancer cells reduced the proliferation rate and the transformation ability of those cells. PMID: 24921657
- Myeloid ARNT is important for innate immune function and wound healing. PMID: 24990649
- We demonstrate that Arnt is an interaction partner for Miz-1, and that Arnt has a functional role in the regulation of CDKN2B PMID: 24618291
- Here we discuss recent findings from our lab and others that define roles of the HIF-VEGF axis in the retina. PMID: 24664708
- ARNT gene deletion is associated with chronic lymphocytic leukemia. PMID: 24249660
- These findings highlight the importance of the hypoxia-sensing pathway and HIFs in clinical hematology. PMID: 24371328
- Understanding the DNA binding-independent functions of ARNT may identify novel therapeutic options for the treatment of a large spectrum of disease states. PMID: 23116263
- ARNT may modulate reactive oxygen species signaling and drug response in acute myeloid leukemia. PMID: 24220583
- ARNT was found to be responsible for establishing the drug-resistant properties of cancer cells by upregulation of MDR1. PMID: 23907215
- results suggest that polymorphism located in the promoter of the AHR gene is associated with a protective effect on vitiligo in Han Chinese populations PMID: 22211302
- In loco synthesis of these highly potent AhR inducers by Malassezia yeasts could have a significant impact on skin homeostatic mechanisms and disease development. PMID: 23448877
- results show that ER-beta suppresses HIF-1alpha-mediated transcription via aryl hydrocarbon receptor nuclear translocator (ARNT) downregulation, which may account for the tumour suppressive function of ER-beta PMID: 21435239
- Among a panel of five different cell lines, in 518A2 cells exposed to hypoxia-mimetic cobalt chloride, HIF-1beta is rapidly elevated on protein level. PMID: 23541582
- ARNT controls AREG expression and the downstream EGFR-ERK pathway in keratinocytes, at least in part, by modulating HDAC activity. PMID: 22505606
- Binding of the ERalpha and ARNT1 AF2 domains to exon 21 of the SRC1 isoform SRC1e is essential for estrogen- and dioxin-transcription. PMID: 22328528
- Ainp1 reduces the interaction between ARNT and HIF-1alpha, suppresses the formation of the HIF-1 gel shift complex, and suppresses the ARNT recruitment to the vegf promoter. PMID: 22306343
- miR-24 negatively regulates ARNT expression in human liver, affecting the expression of its downstream genes. miR-24 would be one of the factors underlying the mechanisms by which ARNT protein is decreased by reactive oxygen species PMID: 22387692
- Data show that ARNT is an important regulator of hepatocellular carcinoma (HCC) growth and metastasis and could be a promising prognostic candidate in HCC patients. PMID: 21544813
- The presence of five unique SNPs at the ARNT locus are shown. PMID: 21828933
- ARNT may regulate many processes relevant to the biology of age related macular degeneration. PMID: 22183315
- mutations on ARNT PAS-B modulate coactivator selectivity and target gene induction by HIF in vivo, demonstrating a bifunctional role for transcriptional regulation by PAS domains within bHLH-PAS transcription factors PMID: 21512126
- NF-kB controls the levels of HIF-1a and HIF-1b genes by direct regulation. PMID: 21298084
- Cloning and functional analysis of the HIF-1beta promoter identifies a prominent region for interferon (IFN)-gamma-dependent repression. PMID: 21199896
- These results reveal a novel mechanism by which ARNT acts as a modulator to bridge the c-Jun/Sp1 interaction and plays a role in EGF-mediated gene expression under normoxic conditions. PMID: 20508969
- Reverse transcriptase-polymerase chain reaction analysis disclosed the existence of a ETV6-ARNT fusion gene in a patient with childhood T lymphoblastic leukemia. PMID: 20804916
- the expression of miR-101 is also modulated at different physiological conditions, such as androgen stimulation and HIF-1alpha/HIF-1beta induction. PMID: 20478051
- the expression of ARNT protein is significantly reduced in aryl hydrocarbon receptor interacting protein mutation+ tumors PMID: 19850893
- SRC-1, NCoA-2, and p/CIP are capable of independently enhancing TCDD-dependent induction of a luciferase reporter gene by the AHR/ARNT dimer PMID: 12024042
- modification by SUMO-1 chiefly at Lys(245) within the PAS domain of this protein, both in vivo and in vitro PMID: 12354770
顯示更多
收起更多
-
亞細胞定位:Nucleus.
-
數據庫鏈接:
Most popular with customers
-
-
Phospho-YAP1 (S127) Recombinant Monoclonal Antibody
Applications: ELISA, WB, IHC
Species Reactivity: Human
-
-
-
-
-
-















